BHMT2 Antibody
-
中文名稱:BHMT2兔多克隆抗體
-
貨號:CSB-PA11829A0Rb
-
規格:¥440
-
圖片:
-
Western Blot
Positive WB detected in: Mouse liver tissue, Raji whole cell lysate
All lanes: BHMT2 antibody at 3µg/ml
Secondary
Goat polyclonal to rabbit IgG at 1/50000 dilution
Predicted band size: 41, 34 kDa
Observed band size: 41, 34 kDa -
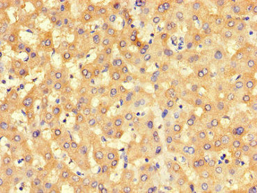
Immunohistochemistry of paraffin-embedded human liver tissue using CSB-PA11829A0Rb at dilution of 1:100
-
Immunofluorescent analysis of Hela cells using CSB-PA11829A0Rb at dilution of 1:100 and Alexa Fluor 488-congugated AffiniPure Goat Anti-Rabbit IgG(H+L)
-
-
其他:
產品詳情
-
產品名稱:Rabbit anti-Homo sapiens (Human) BHMT2 Polyclonal antibody
-
Uniprot No.:
-
基因名:BHMT2
-
別名:BHMT2 antibody; S-methylmethionine--homocysteine S-methyltransferase BHMT2 antibody; SMM-hcy methyltransferase antibody; EC 2.1.1.10 antibody; Betaine--homocysteine S-methyltransferase 2 antibody
-
宿主:Rabbit
-
反應種屬:Human, Mouse
-
免疫原:Recombinant Human S-methylmethionine--homocysteine S-methyltransferase BHMT2 protein (1-200AA)
-
免疫原種屬:Homo sapiens (Human)
-
標記方式:Non-conjugated
本頁面中的產品,BHMT2 Antibody (CSB-PA11829A0Rb),的標記方式是Non-conjugated。對于BHMT2 Antibody,我們還提供其他標記。見下表:
-
克隆類型:Polyclonal
-
抗體亞型:IgG
-
純化方式:>95%, Protein G purified
-
濃度:It differs from different batches. Please contact us to confirm it.
-
保存緩沖液:Preservative: 0.03% Proclin 300
Constituents: 50% Glycerol, 0.01M PBS, PH 7.4 -
產品提供形式:Liquid
-
應用范圍:ELISA, WB, IHC, IF
-
推薦稀釋比:
Application Recommended Dilution WB 1:1000-1:5000 IHC 1:20-1:200 IF 1:50-1:200 -
Protocols:
-
儲存條件:Upon receipt, store at -20°C or -80°C. Avoid repeated freeze.
-
貨期:Basically, we can dispatch the products out in 1-3 working days after receiving your orders. Delivery time maybe differs from different purchasing way or location, please kindly consult your local distributors for specific delivery time.
-
用途:For Research Use Only. Not for use in diagnostic or therapeutic procedures.
相關產品
靶點詳情
-
功能:Involved in the regulation of homocysteine metabolism. Converts homocysteine to methionine using S-methylmethionine (SMM) as a methyl donor.
-
基因功能參考文獻:
- Our study suggested markers in BHMT/BHMT2 and DMGDH might affect the risk of NSCL/P through pairwise interaction. PMID: 29356306
- A three-way interaction among maternal and fetal variants in BHMT2, GSTP1 and GPX3 contribute to congenital heart defects PMID: 26612412
- The faster evolutionary rate of BHMT2 overall suggests that selective constraints were reduced relative to BHMT. PMID: 26213999
- Multiple SNPs in BHMT and BHMT2 were identified to be associated with the occurrence of infant obstructive heart defects and interaction effects with maternal use of folic acid supplements. PMID: 25846410
- No significant level of association was found with cleft lip with or without cleft palate and BHMT2 variants. PMID: 21564312
- gene-gene interaction analysis revealed a significant epistatic interaction of BHMT2 (rs673752), PEMT (rs12325817), and PCYT1A (rs712012) with maternal NCL/P susceptibility. PMID: 20662904
- Hyperhomocysteinemia, a risk factor for coronary diseases, can be caused by genetic mutations in BHMT2 metabolism. PMID: 12818402
- Betaine-homocysteine S-methyltransferase-2 is an S-methylmethionine-homocysteine methyltransferase. PMID: 18230605
- Common genetic variation in BHMT and BHMT2 and functionally characterized BHMT SNPs. PMID: 18457970
顯示更多
收起更多
-
組織特異性:Expressed in liver and kidney and at reduced levels in the brain, heart, and skeletal muscle.
-
數據庫鏈接:
Most popular with customers
-
-
YWHAB Recombinant Monoclonal Antibody
Applications: ELISA, WB, IHC, IF, FC
Species Reactivity: Human, Mouse, Rat
-
Phospho-YAP1 (S127) Recombinant Monoclonal Antibody
Applications: ELISA, WB, IHC
Species Reactivity: Human
-
-
-
-
-















