BHLHE40 Antibody
-
中文名稱:BHLHE40兔多克隆抗體
-
貨號:CSB-PA002691LA01HU
-
規格:¥440
-
圖片:
-
Immunohistochemistry of paraffin-embedded human breast cancer using CSB-PA002691LA01HU at dilution of 1:100
-
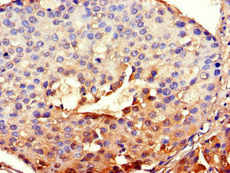
Immunohistochemistry of paraffin-embedded human placenta tissue using CSB-PA002691LA01HU at dilution of 1:100
-
Immunofluorescent analysis of HepG2 cells using CSB-PA002691LA01HU at dilution of 1:100 and Alexa Fluor 488-congugated AffiniPure Goat Anti-Rabbit IgG(H+L)
-
-
其他:
產品詳情
-
產品名稱:Rabbit anti-Homo sapiens (Human) BHLHE40 Polyclonal antibody
-
Uniprot No.:
-
基因名:BHLHE40
-
別名:BHE40_HUMAN antibody; bHLHB2 antibody; bHLHe40 antibody; Class B Basic Helix Loop Helix Protein 2 antibody; Class B basic helix-loop-helix protein 2 antibody; Class E basic helix loop helix protein 40 antibody; Class E basic helix-loop-helix protein 40 antibody; Clast5 antibody; DEC1 antibody; Differentially expressed in chondrocytes protein 1 antibody; E47 interaction protein 1 antibody; EIP1 antibody; Enhancer of split and hairy related protein 2 antibody; Enhancer-of-split and hairy-related protein 2 antibody; SHARP 2 antibody; SHARP-2 antibody; Stimulated by retinoic acid gene 13 protein antibody; STRA13 antibody
-
宿主:Rabbit
-
反應種屬:Human
-
免疫原:Recombinant Human Class E basic helix-loop-helix protein 40 protein (184-302AA)
-
免疫原種屬:Homo sapiens (Human)
-
標記方式:Non-conjugated
本頁面中的產品,BHLHE40 Antibody (CSB-PA002691LA01HU),的標記方式是Non-conjugated。對于BHLHE40 Antibody,我們還提供其他標記。見下表:
-
克隆類型:Polyclonal
-
抗體亞型:IgG
-
純化方式:>95%, Protein G purified
-
濃度:It differs from different batches. Please contact us to confirm it.
-
保存緩沖液:Preservative: 0.03% Proclin 300
Constituents: 50% Glycerol, 0.01M PBS, PH 7.4 -
產品提供形式:Liquid
-
應用范圍:ELISA, IHC, IF
-
推薦稀釋比:
Application Recommended Dilution IHC 1:20-1:200 IF 1:50-1:200 -
Protocols:
-
儲存條件:Upon receipt, store at -20°C or -80°C. Avoid repeated freeze.
-
貨期:Basically, we can dispatch the products out in 1-3 working days after receiving your orders. Delivery time maybe differs from different purchasing way or location, please kindly consult your local distributors for specific delivery time.
-
用途:For Research Use Only. Not for use in diagnostic or therapeutic procedures.
相關產品
靶點詳情
-
功能:Transcriptional repressor involved in the regulation of the circadian rhythm by negatively regulating the activity of the clock genes and clock-controlled genes. Acts as the negative limb of a novel autoregulatory feedback loop (DEC loop) which differs from the one formed by the PER and CRY transcriptional repressors (PER/CRY loop). Both these loops are interlocked as it represses the expression of PER1/2 and in turn is repressed by PER1/2 and CRY1/2. Represses the activity of the circadian transcriptional activator: CLOCK-ARNTL/BMAL1|ARNTL2/BMAL2 heterodimer by competing for the binding to E-box elements (5'-CACGTG-3') found within the promoters of its target genes. Negatively regulates its own expression and the expression of DBP and BHLHE41/DEC2. Acts as a corepressor of RXR and the RXR-LXR heterodimers and represses the ligand-induced RXRA and NR1H3/LXRA transactivation activity. May be involved in the regulation of chondrocyte differentiation via the cAMP pathway. Represses the transcription of NR0B2 and attentuates the transactivation of NR0B2 by the CLOCK-ARNTL/BMAL1 complex. Drives the circadian rhythm of blood pressure through transcriptional repression of ATP1B1 in the cardiovascular system.
-
基因功能參考文獻:
- DEC1 is involved in hypoxia-induced EMT processes via negatively regulating E-cadherin expression in HepG2 cells. PMID: 28794399
- Dec1 is a prognostic factor for the clinical outcome and a predictive factor for the response to TMZ chemotherapy in patients with glioma PMID: 27840944
- decreases of CES and CYP3A4 expression and enzymatic activities induced by Fluoxetine are through decreasing PXR and increasing DEC1 in HepG2 cells PMID: 26340669
- Cisplatin-induced synthetic lethality to arginine-starvation therapy by transcriptional suppression of ASS1 is regulated by DEC1, HIF-1alpha, and c-Myc transcription network and is independent of ASS1 promoter DNA methylation. PMID: 27765932
- High BHLHE40 expression is associated with glioblastomas. PMID: 27591677
- STRA13 may be essential for the progression of atopic dermatitis by interacting with hsa-miR-148b and hsamiR- 152. PMID: 26967585
- BHLHE40 was identified as a viable candidate for which a droplet digital PCR assay for demethylation was developed. The assay revealed high demethylation in activated NK cells and low demethylation in naive NK, T- and B-cells. We conclude the NK cell methylome is plastic with potential for remodeling. PMID: 26967308
- findings suggested that posttranslational modification of DEC1 in the form of SUMOylation may serve as a key factor that regulates the function of DEC1 in vivo PMID: 21829689
- Study conclude that DeltaNp63 is a novel target of DEC1 and HDAC2 and modulates the efficacy of HDAC inhibitors in growth suppression and keratinocyte differentiation. PMID: 21317427
- DEC1 expression is correlated with HIF-1alpha protein in gastric cancer cell line. PMID: 21779800
- The hypoxia-regulated transcription factor DEC1 and its expression in gastric cancer are reported. PMID: 19624270
- IL-1beta can induce DEC1 and HIF-1alpha protein levels in gingival epithelial cells. We also demonstrate that the increase in DEC1 protein subsequently is followed by Akt phosphorylation. PMID: 22644784
- DEC1 controls the response of p53-dependent cell survival vs. cell death to a stress signal through MIC-1 PMID: 22723347
- findings suggest that the repression of CYP3A4 by IL-6 is achieved through increasing the DEC1 expression in human hepatocytes, the increased DEC1 binds to the CCCTGC sequence in the promoter of CYP3A4 to form CCCTGC-DEC1 complex PMID: 22728071
- DEC1 overexpression in precursor lesions of esophageal squamous cell carcinoma is a protective mechanism PMID: 22844531
- Sunitinib treatment performance could be attributable to TIS, depending on p53/Dec1 activation. PMID: 23578198
- The expression of DEC1 was associated with the incidence of oral squamous cell carcinoma (OSCC) and there was a negative correlation between the expression of DEC1 and the prognosis of OSCC. PMID: 24758579
- The efficacy of inhibiting HIF-1alpha and DEC1 expression as a possible treatment for HCC should be assessed in clinical trials. PMID: 24100543
- DEC1 coordinates with HDAC8 to differentially regulate TAp73 and DeltaNp73 expression. PMID: 24404147
- USP17 binds and deubiquitylates DEC1, markedly extending its half-life. Subsequently, during checkpoint recovery, DEC1 proteolysis is reestablished through betaTrCP-dependent ubiquitylation. PMID: 25202122
- DEC1 has a pro-apoptotic effect on human esophageal cancer TE 10 cells of well-differentiated type. PMID: 25876658
- Loss of DEC1 may promote tumor progression in non-small-cell lung cancer through upregulation of cyclin D1 PMID: 23423709
- These findings suggest that DEC1 plays an important role in the regulation of these EMT-related factors in pancreatic cancer. PMID: 22825629
- BHLHE40/41 are promising markers to predict the aggressiveness of each Endometrial Neoplasm case and that molecular targeting strategies involving BHLHE40/41 and SP1 may effectively regulate Endometrial Neoplasm progression. PMID: 26391953
- Study demonstrates that DEC1 is involved in osteogenesis. PMID: 24397494
- Studied DEC1 & claudin-1 in invasive breast ductal carcinomas;found DEC1 elevated in invasive breast ductal carcinoma. DEC1 knockdown led to the enhanced expression of claudin-1 at both the mRNA and protein levels in breast cancer cell lines. PMID: 23426649
- Staircase-style fluctuations in the BHLHE40 mRNA accumulation relate to the short half-life of the gene's mRNA of 0.9h. PMID: 23220548
- DEC1 level was positively correlated with HIF-1alpha and Ki67 expression in gastric cancer. PMID: 23445622
- Marginal zone B cells activated by hepatitis C virus undergo functional exhaustion associated with BCR signaling defects and overexpression of a key antiproliferative gene, and may subsequently become terminally spent CD21(low) B cells. PMID: 22678901
- STRA13 interacts with the cell cycle-associated transcription factor MSP58. PMID: 15719173
- STRA13 was expressed in epithelial cells of normal and neoplastic tissues mostly in the nucleus. Intense cytoplasmic STRA13 immunoreactivity was characteristic of myoepithelial and differentiated squamous epithelial cells and their neoplastic counterparts PMID: 15994878
- Expression of BHLHB2 is inhibited by PML-RARalpha through binding to its promoter in acute promyeloid leukemia. PMID: 21867633
- DEC1 has pro-apoptotic effects on the paclitaxel-induced apoptosis in human breast cancer MCF-7 cells. PMID: 21327324
- DEC1 is expressed in the cytoplasm of hepatocytes and because nuclear DEC1 expression is decreased with decreasing differentiation status ofhepatocellular carcinoma (HCC), nuclear DEC1 might be a marker of HCC differentiation PMID: 21528084
- Hypoxia-inducible BHLHB2 expression is a novel independent prognostic marker in pancreatic cancer patients and indicates increased chemosensitivity towards gemcitabine. PMID: 20863812
- hypoxia-induced gene in pancreatic cancer cell lines PMID: 11688991
- DEC1-mediated anti-apoptosis is achieved by blocking apoptotic pathways initiated via the mitochondria. The results functionally distinguish DEC1 from other bHLH proteins and directly link this factor to oncogenesis. PMID: 12119049
- DEC1 and DEC2 may play a crucial role in the adaptation to hypoxia PMID: 12354771
- DEC1 is the first transcription factor that can promote both chondrogenic differentiation and terminal differentiation PMID: 12384505
- Dec1 and Dec2 are regulators of the mammalian molecular clock, and form a fifth clock-gene family. PMID: 12397359
- DEC1-mediated repression on the expression of DEC2 provides an important mechanism that these transcription factors regulate the cellular function of members within the same class PMID: 12624110
- Findings suggest that the basic region of DEC1 participates in the transcriptional regulation through a protein-protein interaction with BMAL1 and DNA binding to the E-box. PMID: 15560782
- DEC1 expression is found in the majority of 1p-aberrant oligodendroglial neoplasms; its immunohistochemical detection does not correlate with tisue hypoxia in this type of primary brain tumor. PMID: 16136500
- DEC1 selectively increases the expression of survivin among antiapoptotic proteins. PMID: 16462771
- These findings suggest that Dec1 modulates osteogenic differentiation of mesenchymal stem cells by inducing the expression of several, but not all, bone-related genes. PMID: 16487626
- link between HIF-1 and STAT1 reveals a previously unknown role of STRA13 in hypoxia and carcinogenesis PMID: 16878149
- differentiated embryo-chondrocyte expressed gene 1 downregulates hypoxia-inducible factor 1alpha at both mRNA and protein levels at hypoxia in lung adenocarcinoma cells PMID: 17376295
- DEC1 is induced by the p53 family and DNA damage in a p53-dependent manner. p53 family proteins bind to, and activate, the promoter of the DEC1 gene. PMID: 18025081
- A multi-locus interaction between rs6442925 in the 5' upstream of BHLHB2, rs1534891 in CSNK1E, and rs534654 near the 3' end of the CLOCK gene, however, is significantly associated with bipolar disorder PMID: 18228528
- MLH1 is transcriptionally repressed by the hypoxia-inducible transcription factors, DEC1 and DEC2. PMID: 18345027
顯示更多
收起更多
-
亞細胞定位:Cytoplasm. Nucleus.
-
組織特異性:Expressed in cartilage, spleen, intestine, lung, and to a lesser extent in heart, brain, liver, muscle and stomach.
-
數據庫鏈接:
Most popular with customers
-
-
YWHAB Recombinant Monoclonal Antibody
Applications: ELISA, WB, IHC, IF, FC
Species Reactivity: Human, Mouse, Rat
-
Phospho-YAP1 (S127) Recombinant Monoclonal Antibody
Applications: ELISA, WB, IHC
Species Reactivity: Human
-
-
-
-
-















