BHLHA15 Antibody
-
中文名稱:BHLHA15兔多克隆抗體
-
貨號:CSB-PA755911LA01HU
-
規格:¥440
-
圖片:
-
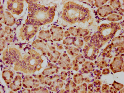
IHC image of CSB-PA755911LA01HU diluted at 1:150 and staining in paraffin-embedded human pancreatic tissue performed on a Leica BondTM system. After dewaxing and hydration, antigen retrieval was mediated by high pressure in a citrate buffer (pH 6.0). Section was blocked with 10% normal goat serum 30min at RT. Then primary antibody (1% BSA) was incubated at 4°C overnight. The primary is detected by a biotinylated secondary antibody and visualized using an HRP conjugated SP system.
-
-
其他:
產品詳情
-
產品名稱:Rabbit anti-Homo sapiens (Human) BHLHA15 Polyclonal antibody
-
Uniprot No.:
-
基因名:BHLHA15
-
別名:Basic helix loop helix domain containing class B 8 antibody; Basic helix loop helix family member a15 antibody; BHA15_HUMAN antibody; Bhlha15 antibody; bHLHB8 antibody; Class A basic helix-loop-helix protein 15 antibody; Class B basic helix-loop-helix protein 8 antibody; Class II bHLH protein MIST1 antibody; intestine and stomach expression 1 antibody; MIST 1 antibody; MIST-1 antibody; MIST1 antibody; Muscle antibody; Muscle intestine and stomach expression 1 antibody; protein MIST1 antibody
-
宿主:Rabbit
-
反應種屬:Human
-
免疫原:Recombinant Human Class A basic helix-loop-helix protein 15 protein (2-72AA)
-
免疫原種屬:Homo sapiens (Human)
-
標記方式:Non-conjugated
本頁面中的產品,BHLHA15 Antibody (CSB-PA755911LA01HU),的標記方式是Non-conjugated。對于BHLHA15 Antibody,我們還提供其他標記。見下表:
-
克隆類型:Polyclonal
-
抗體亞型:IgG
-
純化方式:>95%, Protein G purified
-
濃度:It differs from different batches. Please contact us to confirm it.
-
保存緩沖液:Preservative: 0.03% Proclin 300
Constituents: 50% Glycerol, 0.01M PBS, pH 7.4 -
產品提供形式:Liquid
-
應用范圍:ELISA, IHC
-
推薦稀釋比:
Application Recommended Dilution IHC 1:20-1:200 -
Protocols:
-
儲存條件:Upon receipt, store at -20°C or -80°C. Avoid repeated freeze.
-
貨期:Basically, we can dispatch the products out in 1-3 working days after receiving your orders. Delivery time maybe differs from different purchasing way or location, please kindly consult your local distributors for specific delivery time.
-
用途:For Research Use Only. Not for use in diagnostic or therapeutic procedures.
相關產品
靶點詳情
-
功能:Plays a role in controlling the transcriptional activity of MYOD1, ensuring that expanding myoblast populations remain undifferentiated. Repression may occur through muscle-specific E-box occupancy by homodimers. May also negatively regulate bHLH-mediated transcription through an N-terminal repressor domain. Serves as a key regulator of acinar cell function, stability, and identity. Also required for normal organelle localization in exocrine cells and for mitochondrial calcium ion transport. May function as a unique regulator of gene expression in several different embryonic and postnatal cell lineages. Binds to the E-box consensus sequence 5'-CANNTG-3'.
-
基因功能參考文獻:
- noted a higher mean value of microvascular density in CK5/6 and Ep-CAM-immunopositive tumors, carcinomas with aberrant CK8/18 expression, and carcinomas with no or strong expression of MMP-2 in stromal fibroblast-like cells PMID: 22495370
- Activation of protein kinase Cdelta leads to increased pancreatic acinar cell dedifferentiation in the absence of MIST1. PMID: 22374815
- Chief cells emerge from the Mist. PMID: 21907708
- MIST1 is enriched upon plasma cell differentiation. PMID: 21098683
- Our findings implicate MIST1 as a reliable marker of mature, healthy chief cells, and we provide the first evidence that metaplasia in humans arises at least in part from the chief cell lineage. PMID: 20709804
- MIST1 binds to highly conserved CATATG E-boxes to directly activate transcription of 6 genes, including those encoding the small GTPases RAB26 and RAB3D. PMID: 20038531
- Mist1 within the hierarchy of known helix-loop-helix/basic helix-loop-helix proteins that control mammary epithelial cell development PMID: 16645041
顯示更多
收起更多
-
亞細胞定位:Nucleus.
-
組織特異性:Expressed in brain, liver, spleen and skeletal muscle.
-
數據庫鏈接:
Most popular with customers
-
-
YWHAB Recombinant Monoclonal Antibody
Applications: ELISA, WB, IHC, IF, FC
Species Reactivity: Human, Mouse, Rat
-
-
-
-
-
-















