BDKRB2 Antibody
-
中文名稱:BDKRB2兔多克隆抗體
-
貨號:CSB-PA031026
-
規格:¥1100
-
圖片:
-
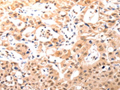
The image on the left is immunohistochemistry of paraffin-embedded Human colon cancer tissue using CSB-PA031026(BDKRB2 Antibody) at dilution 1/50, on the right is treated with synthetic peptide. (Original magnification: ×200)
-
The image on the left is immunohistochemistry of paraffin-embedded Human lung cancer tissue using CSB-PA031026(BDKRB2 Antibody) at dilution 1/50, on the right is treated with synthetic peptide. (Original magnification: ×200)
-
Gel: 10%SDS-PAGE, Lysate: 50 μg, Lane: Jurkat cells, Primary antibody: CSB-PA031026(BDKRB2 Antibody) at dilution 1/800, Secondary antibody: Goat anti rabbit IgG at 1/8000 dilution, Exposure time: 1 minute
-
-
其他:
產品詳情
-
Uniprot No.:
-
基因名:
-
別名:BDKRB2; BKR2; B2 bradykinin receptor; B2R; BK-2 receptor
-
宿主:Rabbit
-
反應種屬:Human,Mouse,Rat
-
免疫原:Synthetic peptide of Human BDKRB2
-
免疫原種屬:Homo sapiens (Human)
-
標記方式:Non-conjugated
-
抗體亞型:IgG
-
純化方式:Antigen affinity purification
-
濃度:It differs from different batches. Please contact us to confirm it.
-
保存緩沖液:-20°C, pH7.4 PBS, 0.05% NaN3, 40% Glycerol
-
產品提供形式:Liquid
-
應用范圍:ELISA,WB,IHC
-
推薦稀釋比:
Application Recommended Dilution ELISA 1:2000-1:5000 WB 1:500-1:2000 IHC 1:50-1:200 -
Protocols:
-
儲存條件:Upon receipt, store at -20°C or -80°C. Avoid repeated freeze.
-
貨期:Basically, we can dispatch the products out in 1-3 working days after receiving your orders. Delivery time maybe differs from different purchasing way or location, please kindly consult your local distributors for specific delivery time.
-
用途:For Research Use Only. Not for use in diagnostic or therapeutic procedures.
相關產品
靶點詳情
-
功能:Receptor for bradykinin. It is associated with G proteins that activate a phosphatidylinositol-calcium second messenger system.
-
基因功能參考文獻:
- Study results indicated that the bradykinin B2 receptor-mediated pathway is involved in the cPLA2-related inflammatory response from the PKC pathway in traumatic brain injury. PMID: 29894755
- The most characteristic signaling pathways for B2R and D2R, dependent on intracellular Ca(2+) and cAMP concentration, respectively, were analyzed in cells presenting similar endogenous expression of B2R and D2R.The evidence of B2R-D2R dimerization may open new perspectives in the modulation of diverse cellular functions which depend on their activation. PMID: 28757212
- These results indicate that KOR can form a heterodimer with B2R and this leads to increased protein kinase A activity by the CREB signaling pathway, leading to a significant increase in cell proliferation. PMID: 28069442
- Study demonstrated the ability of long-chain polyunsaturated fatty acids to act as agonist to the B2R at nanomolar concentrations and to induce receptor conformational changes. PMID: 23826374
- Data suggest that N-myc (and STAT) interactor (NMI) could improve its downstream target bradykinin B2 receptor (BDKRB2) expression to induce extracellular signal-regulated kinases (ERK) 1/2 activation, and thereby further evoke malignant progression of hepatocellular carcinoma (HCC). PMID: 28077802
- BDKRB2 +9/-9 bp polymorphisms affected the gene expression and nitric oxide production, which were associated with radiographic severity of osteoarthritis, suggesting that the BDKRB2 +9/ -9 bp polymorphisms may act as a genetic modulator of osteoarthritis, and play an essential role in inflammatory process in osteoarthritis. PMID: 26764266
- Review/Meta-analysis: suggest bradykinin B2 receptor -58C allele and -58CC genotype increase the risk of hypertension in Asians and African-Americans. Inversely, -58TT genotype decreases the risk of hypertension in Asians and African-Americans. PMID: 27007662
- authors found significant interactions among PRKCA, NOS3 and BDKRB2 genotypes associated with enalapril responses. PMID: 27696692
- Bronchial B2R expression is constitutively elevated in allergic asthma and is further increased after allergen exposure together with NF-kB expression. PMID: 26588817
- Report the presence of nuclear B2R in the utero-placental unit and reduced abundance of nuclear B2R in extravillous trophoblast in preeclampsia. PMID: 26955769
- Data provide evidence that the BDKRB2 +9/-9 polymorphisms influence pro-inflammatory cytokine levels in knee osteoarthritis by altering TLR-2 expression. PMID: 26982743
- These results suggest that the response to long-term exercise training could be modulated by the BDKRB2 gene -9/+9 polymorphism in male athletes. In well-trained swimmers, BDKRB2 gene variation was not found to be an independent determinant of swimming performance. PMID: 26907838
- Significant association between the -58T/C polymorphism and the increased risk of Hypertension was found in Northern Han Chinese population. PMID: 26362411
- Bradykinin inhibits oxidative stress-induced senescence of endothelial progenitor cells through the B2R/AKT/RB and B2R/EGFR/RB signal pathways. PMID: 26360782
- Bradykinin receptor B2 (B2R) genetic variation may affect thirst because of effects bradykinin activity. PMID: 25641172
- These results indicate that B2R couples with P2Y2R and that these G-protein-coupled receptors act together to fine-tune cellular responsiveness. PMID: 25713410
- The nasal mucosa specimens from chronic rhinosinusitis patients expressed relatively higher B2R and slightly higher kininogen (KNG)/BK and B1R. PMID: 25970620
- A cross-talk was found between bradykinin B2 receptor and cytokines in retinal pigment epithelium. PMID: 26235941
- no association between the -9/+9 polymorphism and elite athletic status PMID: 25078958
- Genetic variation was observed in obese patients with hypertension, obese patients' total cholesterol levels varied by genotype, and waist circumference and blood pressure were elevated in the non-obese having a C/C genotype compared to T/C and T/T. PMID: 25529519
- Bradykinin receptor B2-VNTR length polymorphism was not associated with angina pectoris and myocardial infarction in Russian men. PMID: 25842860
- Bradykinin increases IL-6 production via B2R and the ERK pathway, thereby contributing to the invasion and migration of colorectal cancer cells. PMID: 25109623
- B2 receptor-mediated relaxation reduced in myometrial vessels in pre-eclampsia PMID: 24304135
- We propose that heterodimerization of bradykinin B2 receptor with lamin C is essential to nuclear localization of bradykinin B2 receptor and plays an important role in cell signaling and function. PMID: 24211782
- Bradykinin activates multiple signal transduction pathways in human trabecular meshwork cells via B2-receptors that also mediate intraocular pressure reduction PMID: 24236827
- These results suggest that reflex muscle vasodilation and ACE activity in response to exercise training are modulated by BDKRB gene +9/-9 polymorphism in healthy individuals. PMID: 23613132
- Bradykinin induces ATP release from human subcutaneous fibroblasts via connexin and pannexin-1-containing hemichannels leading to [Ca2+]i mobilization through the cooperation of B2 and P2Y12 receptors PMID: 24047499
- Bradykinin induced asthmatic fibroblast/myofibroblast activities via bradykinin B2 receptor and different MAPK pathways. PMID: 23588115
- Our data suggest that the B -9 allele and reduced ACE activity are associated with both ACE-AE and ACE-cough. PMID: 23730990
- Dominant negative (GDP-locked)-Rab5 and -Rab11 reproduced the effects of inhibitors of tubulin and actin, respectively, on the cycling of bradykinin B receptor. PMID: 23454239
- These studies have provided evidence of a functional endogenously expressed B-receptor system in the ciliary muscle that appears to be involved in modulating intraocular pressure. PMID: 23805043
- there is a higher frequency of the D allele (high plasma ACE activity) and +9 allele (lower B2R expression) in transplant patients compared with control individuals PMID: 23362199
- Triceps brachii morphological response to targeted strength training--hypertrophy--is related to bradykinin type (BK)2 receptor polymorphisms. PMID: 23127247
- Our findings suggest that both eNOS and bradykinin B2 receptor genotypes may affect the antihypertensive responses to enalapril. PMID: 22706620
- In coronary artery disease patients, bradykinin-B2-receptor downregulation on endothelial repair-promoting circulating mononuclear cells substantially impairs bradykinin-dependent endothelial repair. PMID: 23275384
- results suggest that the co-existence of ACE (D/D), BDKRB2 (+9/-9) or LEP (G/A) genotypes in female athletes might be correlated with a superior level of physical performance PMID: 23176367
- Suggest that the BDKRB2 +9/-9 polymorphism may act as a genetic modulator of glucose homeostasis and increase susceptibility to diabetes. PMID: 23243416
- Bradykinin up-regulates B(2) receptor expression (P<0.05) and stimulate IL-8 release (P<0.001) in BEAS-2B cells. PMID: 22935637
- Kinin-B2 receptor activity determines the differentiation fate of neural stem cells. PMID: 23132855
- The BDKRB2-58T/C gene polymorphism is associated with increased EH risk. The results of this study suggest that carriers of the -58C allele are susceptible to EH. PMID: 22900090
- Bradykinin enhances cell migration in human prostate cancer cells through B2 receptor/PKCdelta/c-Src dependent signaling pathway. PMID: 22653778
- The +9/-9 bp polymorphisms of BDKRB2 gene may be used as a genetic marker for the susceptibility and severity of OA. PMID: 23093849
- expression showed a growing trend with grade of endometrial cancer, reaching the peak in grade 2, whereas grade 3 was characterized by a decrease in transcriptional activity PMID: 22706224
- Maximakinin is an agonist of the human and rabbit B(2)R with a 8-12 fold lesser potency. PMID: 22108573
- While -58C>T polymorphism did not reveal any association with essential hypertension, +/-9 bp polymorphism showed a significant association with high risk for heterozygotes (+9/-9) when tested against the pooled frequencies of homozygotes. PMID: 22468762
- Capillary electrophoresis is a rapid, accurate and sensitive method for genotyping the 9-bp exon 1 insertion/deletion polymorphism in BDKRB2. PMID: 22304584
- Tested the influence of the interaction between the BDKRB2 -9/+9 and the GNB3 C825T (rs5443) genotypes in relation to endurance performance. There was no interaction between BDKRB2 -9/+9 and GNB3 C825T polymorphisms in relation to endurance. PMID: 21210858
- Results demonstrate that helix 8 of the B(2)R plays a crucial role not only in efficient trafficking to the plasma membrane or the activation of G proteins but also for the interaction of the B(2)R with GRK2/3 and beta-arrestins. PMID: 22016392
- Aging cardiac endothelial cells gradually lose their capacity to express BK-2Rs. PMID: 21986469
- High molecular weight kininogen activates B2 receptor signaling pathway in human vascular endothelial cells. PMID: 21586566
顯示更多
收起更多
-
亞細胞定位:Cell membrane; Multi-pass membrane protein.
-
蛋白家族:G-protein coupled receptor 1 family, Bradykinin receptor subfamily, BDKRB2 sub-subfamily
-
組織特異性:Ubiquitous. Widespread in normal smooth muscle tissue and neurons.
-
數據庫鏈接:
Most popular with customers
-
-
YWHAB Recombinant Monoclonal Antibody
Applications: ELISA, WB, IHC, IF, FC
Species Reactivity: Human, Mouse, Rat
-
Phospho-YAP1 (S127) Recombinant Monoclonal Antibody
Applications: ELISA, WB, IHC
Species Reactivity: Human
-
-
-
-
-















