-
中文名稱:BDH1兔多克隆抗體
-
貨號:CSB-PA002648LA01HU
-
規格:¥3,900
-
圖片:
-
Western Blot
Positive WB detected in:Mouse Heart tissue lysate, Mouse Liver tissue lysate, Mouse Brain tissue lysate, Rat Heart tissue lysate, Rat Livert tissue lysate, Rat Brain tissue lysate, MCF7 whole cell lysate
All lanes: BDH1 antibody at 1:1000
Secondary
Goat polyclonal to rabbit IgG at 1/50000 dilution
Predicted band size: 39 kDa
Observed band size: 31 kDa -
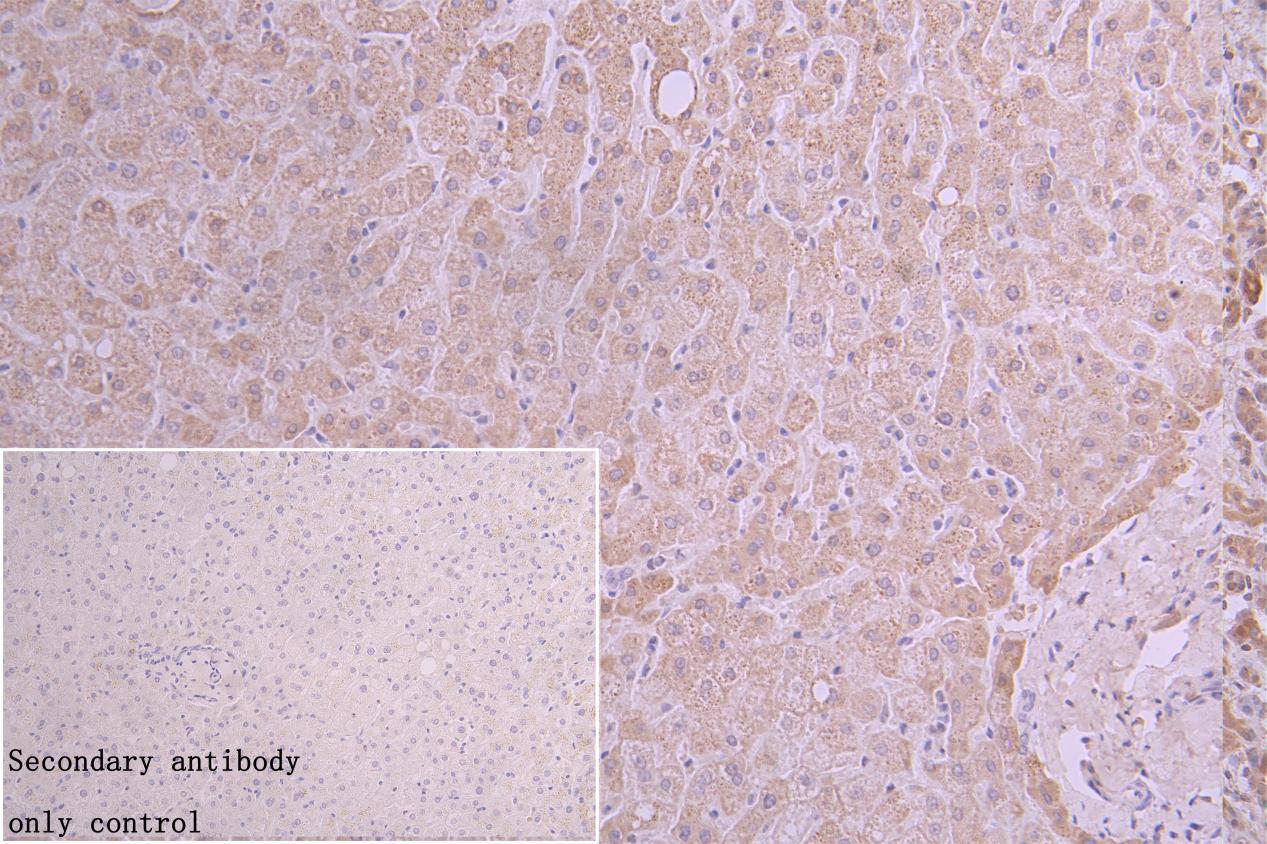
IHC image of CSB-PA002648LA01HU diluted at 1:150 and staining in paraffin-embedded human liver tissue performed on a Leica BondTM system. After dewaxing and hydration, antigen retrieval was mediated by high pressure in a citrate buffer (pH 6.0). Section was blocked with 10% normal goat serum 30min at RT. Then primary antibody (1% BSA) was incubated at 4°C overnight. The primary is detected by a Goat anti-rabbit polymer IgG labeled by HRP and visualized using 0.05% DAB. Secondary antibody only control: uses 1% BSA instead of primary antibody
-
IHC image of CSB-PA002648LA01HU diluted at 1:150 and staining in paraffin-embedded mouse liver tissue performed on a Leica BondTM system. After dewaxing and hydration, antigen retrieval was mediated by high pressure in a citrate buffer (pH 6.0). Section was blocked with 10% normal goat serum 30min at RT. Then primary antibody (1% BSA) was incubated at 4°C overnight. The primary is detected by a Goat anti-rabbit polymer IgG labeled by HRP and visualized using 0.05% DAB. Secondary antibody only control: uses 1% BSA instead of primary antibody
-
Immunofluorescence staining of MCF-7 cell with CSB-PA002648LA01HU at 1:20, counter-stained with DAPI. The cells were fixed in 4% formaldehyde and blocked in 10% normal Goat Serum. The cells were then incubated with the antibody overnight at 4C. The secondary antibody was Alexa Fluor 488-congugated AffiniPure Goat Anti-Rabbit IgG(H+L).
-
Immunofluorescence staining of MCF-7 cell with 5% goat serum, counter-stained with DAPI. The cells were fixed in 4% formaldehyde and blocked in 10% normal Goat Serum. The cells were then incubated with the antibody overnight at 4C. The secondary antibody was Alexa Fluor 488-congugated AffiniPure Goat Anti-Rabbit IgG(H+L).
-
Immunofluorescence staining of U251 cell with CSB-PA002648LA01HU at 1:20, counter-stained with DAPI. The cells were fixed in 4% formaldehyde and blocked in 10% normal Goat Serum. The cells were then incubated with the antibody overnight at 4C. The secondary antibody was Alexa Fluor 488-congugated AffiniPure Goat Anti-Rabbit IgG(H+L).
-
Immunofluorescence staining of U251 cell with 5% goat serum, counter-stained with DAPI. The cells were fixed in 4% formaldehyde and blocked in 10% normal Goat Serum. The cells were then incubated with the antibody overnight at 4C. The secondary antibody was Alexa Fluor 488-congugated AffiniPure Goat Anti-Rabbit IgG(H+L).
-
-
其他:
產品詳情
-
產品描述:
The BDH1 polyclonal antibody is a type of antibody generated in rabbits using recombinant human D-beta-hydroxybutyrate dehydrogenase, mitochondrial protein (47-343aa) as an immunogen. This antibody has been purified using Protein G, resulting in a purity level greater than 95%. This ensures that the antibody is of high quality and free from impurities that may interfere with experimental results.
The BDH1 polyclonal antibody can recognize BDH1 protein in both human and mouse samples. The BDH1 polyclonal antibody has been tested in a range of applications, including ELISA, WB, and IHC, for the quantitative or qualitative detection, determination of the presence and size, detection of the localization and expression levels of BDH1 protein.
-
產品名稱:Rabbit anti-Homo sapiens (Human) BDH1 Polyclonal antibody
-
Uniprot No.:
-
基因名:BDH1
-
別名:3 hydroxybutyrate dehydrogenase (heart; mitochondrial) antibody; 3-hydroxybutyrate dehydrogenase antibody; BDH antibody; BDH_HUMAN antibody; BDH1 antibody; D beta hydroxybutyrate dehydrogenase; mitochondrial antibody; D-beta-hydroxybutyrate dehydrogenase antibody; mitochondrial antibody
-
宿主:Rabbit
-
反應種屬:Human, Mouse,Rat
-
免疫原:Recombinant Human D-beta-hydroxybutyrate dehydrogenase, mitochondrial protein (47-343AA)
-
免疫原種屬:Homo sapiens (Human)
-
克隆類型:Polyclonal
-
抗體亞型:IgG
-
純化方式:Antigen?affinity?purification
-
濃度:It differs from different batches. Please contact us to confirm it.
-
保存緩沖液:Preservative: 0.02% sodium azide
Constituents: 50% Glycerol, 0.01M PBS, pH 7.4 -
產品提供形式:Liquid
-
應用范圍:ELISA, WB, IHC, IF
-
推薦稀釋比:
Application Recommended Dilution WB 1:1000-1:3000 IHC 1:100-1:300 IF 1:20-1:100 -
Protocols:
-
儲存條件:Upon receipt, store at -20°C or -80°C. Avoid repeated freeze.
-
貨期:Basically, we can dispatch the products out in 1-3 working days after receiving your orders. Delivery time maybe differs from different purchasing way or location, please kindly consult your local distributors for specific delivery time.
-
用途:For Research Use Only. Not for use in diagnostic or therapeutic procedures.
引用文獻
- Lysine β-hydroxybutyrylation promotes lipid accumulation in alcoholic liver disease N Chen,Biochemical pharmacology,2023
相關產品
靶點詳情
-
基因功能參考文獻:
- Data show that the ketone body metabolizing enzymes BDH1, BDH2, OXCT1 and ACAT1 were expressed at the mRNA and protein level in all glioma cell lines. PMID: 21791085
-
亞細胞定位:Mitochondrion inner membrane. Mitochondrion matrix.
-
蛋白家族:Short-chain dehydrogenases/reductases (SDR) family
-
數據庫鏈接:
Most popular with customers
-
-
YWHAB Recombinant Monoclonal Antibody
Applications: ELISA, WB, IHC, IF, FC
Species Reactivity: Human, Mouse, Rat
-
-
-
-
-
-















