BCL2L15 Antibody
-
中文名稱:BCL2L15兔多克隆抗體
-
貨號:CSB-PA597282
-
規格:¥1100
-
圖片:
-
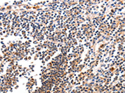
The image on the left is immunohistochemistry of paraffin-embedded Human tonsil tissue using CSB-PA597282(BCL2L15 Antibody) at dilution 1/50, on the right is treated with fusion protein. (Original magnification: ×200)
-
Gel: 10+12+15%SDS-PAGE, Lysate: 50 μg, Lane 1-2: Hela cells, 293T cells, Primary antibody: CSB-PA597282(BCL2L15 Antibody) at dilution 1/700, Secondary antibody: Goat anti rabbit IgG at 1/8000 dilution, Exposure time: 10 seconds
-
-
其他:
產品詳情
-
Uniprot No.:
-
基因名:BCL2L15
-
別名:AC124698.1 antibody; B2L15_HUMAN antibody; Bcl-2-like protein 15 antibody; Bcl2-L-15 antibody; BCL2-like 15 antibody; Bcl2l15 antibody; Bfk antibody; C1orf178 antibody; FLJ22588 antibody; Gm566 antibody; Pro apoptotic Bcl 2 protein antibody
-
宿主:Rabbit
-
反應種屬:Human
-
免疫原:Fusion protein of Human BCL2L15
-
免疫原種屬:Homo sapiens (Human)
-
標記方式:Non-conjugated
-
抗體亞型:IgG
-
純化方式:Antigen affinity purification
-
濃度:It differs from different batches. Please contact us to confirm it.
-
保存緩沖液:-20°C, pH7.4 PBS, 0.05% NaN3, 40% Glycerol
-
產品提供形式:Liquid
-
應用范圍:ELISA,WB,IHC
-
推薦稀釋比:
Application Recommended Dilution ELISA 1:2000-1:5000 WB 1:500-1:2000 IHC 1:50-1:200 -
Protocols:
-
儲存條件:Upon receipt, store at -20°C or -80°C. Avoid repeated freeze.
-
貨期:Basically, we can dispatch the products out in 1-3 working days after receiving your orders. Delivery time maybe differs from different purchasing way or location, please kindly consult your local distributors for specific delivery time.
-
用途:For Research Use Only. Not for use in diagnostic or therapeutic procedures.
相關產品
Most popular with customers
-
-
YWHAB Recombinant Monoclonal Antibody
Applications: ELISA, WB, IHC, IF, FC
Species Reactivity: Human, Mouse, Rat
-
Phospho-YAP1 (S127) Recombinant Monoclonal Antibody
Applications: ELISA, WB, IHC
Species Reactivity: Human
-
-
-
-
-















