BCL2L12 Antibody
-
中文名稱:BCL2L12兔多克隆抗體
-
貨號:CSB-PA841149
-
規格:¥1100
-
圖片:
-
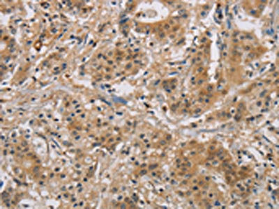
The image is immunohistochemistry of paraffin-embedded Human liver cancer tissue using CSB-PA841149(BCL2L12 Antibody) at dilution 1/20. (Original magnification: ×200)
-
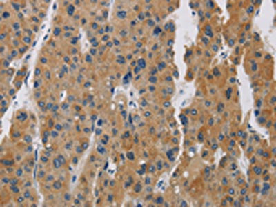
The image is immunohistochemistry of paraffin-embedded Human gastric cancer tissue using CSB-PA841149(BCL2L12 Antibody) at dilution 1/20. (Original magnification: ×200)
-
-
其他:
產品詳情
-
Uniprot No.:
-
基因名:BCL2L12
-
別名:B2L12_HUMAN antibody; BCL 2 like 12 (proline rich) antibody; BCL 2 like 12 antibody; BCL 2 like 12 isoform 1 antibody; Bcl 2 like 12 protein antibody; Bcl 2 related proline rich protein antibody; Bcl-2-like protein 12 antibody; Bcl-2-related proline-rich protein antibody; BCL2 like 12 (proline rich) antibody; BCL2 like 12 antibody; BCL2 like 12 isoform 1 antibody; Bcl2 like 12 protein antibody; Bcl2 related proline rich protein antibody; Bcl2-L-12 antibody; BCL2L12 antibody; BPR antibody; MGC120313 antibody; MGC120314 antibody; MGC120315 antibody
-
宿主:Rabbit
-
反應種屬:Human
-
免疫原:Fusion protein of Human BCL2L12
-
免疫原種屬:Homo sapiens (Human)
-
標記方式:Non-conjugated
-
抗體亞型:IgG
-
純化方式:Antigen affinity purification
-
濃度:It differs from different batches. Please contact us to confirm it.
-
保存緩沖液:-20°C, pH7.4 PBS, 0.05% NaN3, 40% Glycerol
-
產品提供形式:Liquid
-
應用范圍:ELISA,IHC
-
推薦稀釋比:
Application Recommended Dilution ELISA 1:1000-1:2000 IHC 1:25-1:100 -
Protocols:
-
儲存條件:Upon receipt, store at -20°C or -80°C. Avoid repeated freeze.
-
貨期:Basically, we can dispatch the products out in 1-3 working days after receiving your orders. Delivery time maybe differs from different purchasing way or location, please kindly consult your local distributors for specific delivery time.
-
用途:For Research Use Only. Not for use in diagnostic or therapeutic procedures.
相關產品
Most popular with customers
-
YWHAB Recombinant Monoclonal Antibody
Applications: ELISA, WB, IHC, IF, FC
Species Reactivity: Human, Mouse, Rat
-
Phospho-YAP1 (S127) Recombinant Monoclonal Antibody
Applications: ELISA, WB, IHC
Species Reactivity: Human
-
-
-
-
-
-















