-
中文名稱:BCL10兔多克隆抗體
-
貨號:CSB-PA002608ESR2HU
-
規格:¥440
-
圖片:
-
Western blot
All lanes: B-cell lymphoma/leukemia 10 antibody at 9μg/ml
Lane 1: Mouse gonad tissue
Lane 2: MCF-7 whole cell lysate
Lane 3: NIH/3T3 whole cell lysate
Secondary
Goat polyclonal to rabbit IgG at 1/10000 dilution
Predicted band size: 26 kDa
Observed band size: 26 kDa -
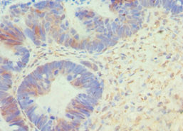
Immunohistochemistry of paraffin-embedded human ovarian cancer using CSB-PA002608ESR2HU at dilution of 1:100
-
Immunohistochemistry of paraffin-embedded human endometrial cancer using CSB-PA002608ESR2HU at dilution of 1:100
-
-
其他:
產品詳情
-
產品名稱:Rabbit anti-Homo sapiens (Human) BCL10 Polyclonal antibody
-
Uniprot No.:
-
基因名:
-
別名:AI132454 antibody; B cell CLL/lymphoma 10 antibody; B cell lymphoma/leukemia10 antibody; B-cell CLL/lymphoma 10 antibody; B-cell leukemia/lymphoma 10 antibody; B-cell lymphoma/leukemia 10 antibody; Bcl 10 antibody; Bcl-10 antibody; Bcl10 antibody; BCL10_HUMAN antibody; c E10 antibody; c-E10 antibody; C81403 antibody; CARD containing apoptotic signaling protein antibody; CARD containing molecule enhancing NF kappa B antibody; CARD containing molecule enhancing NF kB antibody; CARD containing molecule enhancing NF-kB antibody; CARD containing molecule enhancing NFkB antibody; CARD containing proapoptotic protein antibody; CARD like apoptotic protein antibody; CARD-containing apoptotic signaling protein antibody; CARD-containing molecule enhancing NF-kappa-B antibody; CARD-containing proapoptotic protein antibody; CARD-like apoptotic protein antibody; CARMEN antibody; Caspase recruiting domain containing protein antibody; caspase-recruiting domain-containing protein antibody; cCARMEN antibody; cE 10 antibody; cE10 antibody; CED 3/ICH 1 prodomain homologous E10 like regulator antibody; CED-3/ICH-1 prodomain homologous E10-like regulator antibody; CED3/ICH1 prodomain homologous E10 like regulator antibody; Cellular E10 antibody; Cellular homolog of vCARMEN antibody; Cellular-E10 antibody; CIPER antibody; CLAP antibody; hCLAP antibody; Mammalian CARD containing adapter molecule E10 antibody; Mammalian CARD-containing adapter molecule E10 antibody; mE 10 antibody; mE10 antibody; R-RCD1 antibody
-
宿主:Rabbit
-
反應種屬:Human, Mouse
-
免疫原:Recombinant Human B-cell lymphoma/leukemia 10 protein (1-233AA)
-
免疫原種屬:Homo sapiens (Human)
-
標記方式:Non-conjugated
-
克隆類型:Polyclonal
-
抗體亞型:IgG
-
純化方式:Antigen Affinity purified
-
濃度:It differs from different batches. Please contact us to confirm it.
-
保存緩沖液:PBS with 0.02% sodium azide, 50% glycerol, pH7.3.
-
產品提供形式:Liquid
-
應用范圍:ELISA, WB, IHC
-
推薦稀釋比:
Application Recommended Dilution WB 1:500-1:2000 IHC 1:20-1:200 -
Protocols:
-
儲存條件:Upon receipt, store at -20°C or -80°C. Avoid repeated freeze.
-
貨期:Basically, we can dispatch the products out in 1-3 working days after receiving your orders. Delivery time maybe differs from different purchasing way or location, please kindly consult your local distributors for specific delivery time.
-
用途:For Research Use Only. Not for use in diagnostic or therapeutic procedures.
引用文獻
- Mitochondrial levels determine variability in cell death by modulating apoptotic gene expression Mrquez-Jurado S.et al,Nat Commun,2018
相關產品
靶點詳情
-
功能:Plays a key role in both adaptive and innate immune signaling by bridging CARD domain-containing proteins to immune activation. Acts by channeling adaptive and innate immune signaling downstream of CARD domain-containing proteins CARD9, CARD11 and CARD14 to activate NF-kappa-B and MAP kinase p38 (MAPK11, MAPK12, MAPK13 and/or MAPK14) pathways which stimulate expression of genes encoding pro-inflammatory cytokines and chemokines. Recruited by activated CARD domain-containing proteins: homooligomerized CARD domain-containing proteins form a nucleating helical template that recruits BCL10 via CARD-CARD interaction, thereby promoting polymerization of BCL10, subsequent recruitment of MALT1 and formation of a CBM complex. This leads to activation of NF-kappa-B and MAP kinase p38 (MAPK11, MAPK12, MAPK13 and/or MAPK14) pathways which stimulate expression of genes encoding pro-inflammatory cytokines and chemokines. Activated by CARD9 downstream of C-type lectin receptors; CARD9-mediated signals are essential for antifungal immunity. Activated by CARD11 downstream of T-cell receptor (TCR) and B-cell receptor (BCR). Promotes apoptosis, pro-caspase-9 maturation and activation of NF-kappa-B via NIK and IKK.
-
基因功能參考文獻:
- Results show that GSK3beta modulates serine phosphorylation of BCL10. PMID: 29358699
- BCL10 forms CARMA1-BCL10-MALT1-TRAF6 signalosome and BCL10 polymerizes in a unidirectional manner. PMID: 29382759
- The results suggest that the involvement of BCL10 in DNA damage-induced NF-kappaB is through the recruitment of TRAF6. PMID: 28717989
- results define molecular determinants that control the production of Lin(Ub)n-Bcl10, an important signaling intermediate in TCR and oncogenic CARD11 signaling. PMID: 27777308
- Psoriasis mutations disrupt CARD14 autoinhibition promoting BCL10-MALT1-dependent NF-kappaB activation PMID: 27071417
- BCL10 promoted DNA double-strand breaks repair, enhancing cell survival after DNA damage. PMID: 26771713
- Data show that caspase recruitment domain-containing protein 11/B-cell CLL/lymphoma 10/mucosa-associated lymphoid tissue lymphoma translocation gene 1 signaling drives lymphoproliferation through NF-kappa B and c-Jun N-terminal kinase activation. PMID: 26668357
- BCL10 is not essential for actin polymerization after fibroblast FcgammaR stimulation. PMID: 26774590
- characterization of zebrafish (Danio rerio) Bcl10 PMID: 25849213
- we identified BCL10 as a bona fide target of BCR-induced linear ubiquitylation and demonstrated an important role of the linear ubiquitin ligase HOIP in BCR-induced phosphorylation PMID: 26038114
- The results of this study indicate that inherited BCL10 deficiency should be considered in patients with combined immunodeficiency with B cell, T cell, and fibroblast defects. PMID: 25365219
- B-cell lymphoma/leukemia 10 promotes oral cancer progression through STAT1/ATF4/S100P signaling pathway. PMID: 24681956
- BCL10 induces cleavage of MALT1 at R149 in 293T cells. PMID: 25105596
- Overexpression of CARMA-BCL10-MALT in T-ALL may contribute to the constitutive cleavage and inactivation of A20, which enhances NF-kappaB signaling and may be related to T-ALL pathogenesis. PMID: 25384343
- BCL10 delivers UBC13 to RNF8/RNF168 to regulate ubiquitination-mediated double-strand break signaling and repair. PMID: 24732096
- elevated in cholesteatoma PMID: 24702227
- A novel susceptibility locus on 1p22 was discovered, which implicates BCL10 as a new susceptibility gene for leprosy. PMID: 23784377
- Combining crystallography, nuclear magnetic resonance, and electron microscopy, we reveal the structure of the Bcl10 CARD filament and the mode of interaction between CARMA1 and Bcl10 PMID: 24074955
- BCL10 expression is a useful marker for acinar cell differentiation, particularly in the diagnosis of endoscopic ultrasound-guided fine-needle aspiration specimens of Acinar cell carcinomas of the pancreas PMID: 23530562
- Bcl10 links saturated fat overnutrition with hepatocellular NF-kB activation and insulin resistance. PMID: 22708078
- BCL10 was commonly down-regulated in peripheral T cell lymphomas, suggest the T-cell receptor signaling cascade for future characterization. PMID: 22818167
- identify Bcl10 as an early coordinator of NF-kappaB-mediated immune response with endosomal trafficking and signaling to F-actin remodeling PMID: 23153494
- Results indicate that NF-kappaB binding to the BCL10 promoter can lead to prolonged activation of the carrageenan-induced inflammatory cascade by a transcriptional mechanism involving an NF-kappaB-BCL10 loop. PMID: 22579587
- A proapoptotic role for protein kinase C zeta in the binding and phosphorylating Bcl10 at the nuclear envelope. PMID: 22812606
- BCL10 plays an important role in controlling the growth of cervical cancer cells through NF-kappaB dependent cyclin D1 regulation. PMID: 22564715
- FOXO3a promotes cell survival via BCL10/NF-kappaB in serum starvation PMID: 22474286
- identify MIB2 as a novel component of the activated BCL10 signaling complex and a missing link in the BCL10-dependent NF-kappaB signaling pathway. PMID: 21896478
- findings indicate that BCL10 phosphorylations act upstream of phosphorylations of NIK, TAK1, and IkappaBalpha and differentially affect the canonical and noncanonical pathways of NF-kappaB activation PMID: 21700900
- Findings demonstrate that CaN functions as a critical signaling molecule during Th cell activation, regulating Bcl-10 phosphorylation and NF-kappaB activation. PMID: 21674474
- study shows CaMKII is recruited to the immunological synapse where it interacts with and phosphorylates Bcl10; propose a mechanism whereby Ca(2+) signals can be integrated at the immunological synapse through CaMKII-dependent phosphorylation of Bcl10 PMID: 21513986
- Data show that CARMA3 and Bcl10 contributed to several characteristics of EGFR-associated malignancy, including proliferation, survival, migration, and invasion. PMID: 21406399
- Lipopolysaccharide induces activation of both canonical and non-canonical pathways of NF-kappaB and the non-canonical pathway requires phosphorylations of BCL10 (serine 138) and NIK. PMID: 20466000
- A novel mutation of Bc1-10 gene in ocular adnexal MALT lymphoma was detected in Chinese patients. PMID: 18307945
- BCL10 nuclear expression is common in ocular adnexal mucosa-associated lymphoid tissue lymphomas. PMID: 19035248
- activation of NF-kappaB by CXCR4 occurs through Carma3/Bcl10/Malt1 (CBM) complex in OSCC. loss of components of CBM complex in HNSCC can inhibit SDF-1 alpha induced phosphorylation and degradation of IkappaBalpha. PMID: 20695076
- Interaction of calmodulin with Bcl10 modulates NF-kappaB activation. PMID: 20439115
- A specific single nucleotide polymorphism in the BCL10 gene may be responsible for the tumorigenesis of intracranial germinomas in Japanese individuals. PMID: 19690445
- Results suggest that the NFkappaB regulator BCL10 is an IL-2-independent STAT5 target gene. PMID: 19709433
- These findings indicate an upstream signaling role for BCL10, in addition to its effects on IKKgamma, the regulatory component of the IKK signalosome, and a requirement for BCL10 in both canonical and noncanonical pathways of NF-kappaB activation. PMID: 19897484
- vimplicated in apoptosis, and it has been suggested that mutated forms gain oncogenic activity. The occurrence of genomic BCL10 mutations in gastric MALT-type lymphomas was investigated. PMID: 11830492
- Mutations, relatively common in lymphomas, are extremely rare in malignant cartilaginous tumors. PMID: 11836626
- REVIEW: Genetic alterations involving BCL10 underlying the pathogenesis of MALT lymphoma PMID: 11960389
- There is a lack of BCL10 mRNA mutation in lymphold malignancies. PMID: 12017308
- association of mutations with aberrant BCL10 localization in the nucleus in nasal NK/T-cell lymphomas PMID: 14523480
- Bcl10 is post-translationally modified by Rip2 and has a role in T-cell signaling PMID: 14638696
- Nuclear expression of BCL10 is unlikely to correlate with the API2-MALT1 fusion gene in ocular adnexal MALT lymphoma. PMID: 14674990
- Together, these findings suggest that Bcl10 nuclear expression may modulate gene expression and Bcl10 is a potential transcriptional activator apart from its traditional roles that have been found. PMID: 15207693
- BinCard inhibits BCL10-mediated activation of NF-kappa B. PMID: 15637807
- The ability of Bcl10 expression to prevent B-cell antigen receptor-induced growth arrest and apoptosis of WEHI-231 cells was dependent on NF-kappaB activation. PMID: 15878976
- nucleocytoplasmic shuttling of MALT1 and BCL10 complex may indicate that these molecules are involved not only in the nuclear factor kappaB (NF-kappaB) pathway but also in other biologic functions in lymphocytes PMID: 16123224
顯示更多
收起更多
-
相關疾病:Immunodeficiency 37 (IMD37); Lymphoma, mucosa-associated lymphoid type (MALTOMA)
-
亞細胞定位:Cytoplasm, perinuclear region. Membrane raft.
-
組織特異性:Ubiquitous.
-
數據庫鏈接:
Most popular with customers
-
-
YWHAB Recombinant Monoclonal Antibody
Applications: ELISA, WB, IHC, IF, FC
Species Reactivity: Human, Mouse, Rat
-
Phospho-YAP1 (S127) Recombinant Monoclonal Antibody
Applications: ELISA, WB, IHC
Species Reactivity: Human
-
-
-
-
-















