BARHL1 Antibody
-
中文名稱:BARHL1兔多克隆抗體
-
貨號:CSB-PA880147LA01HU
-
規格:¥440
-
圖片:
-
Western Blot
Positive WB detected in: SH-SY5Y whole cell lysate, U251 whole cell lysate
All lanes: BARHL1 antibody at 3.4µg/ml
Secondary
Goat polyclonal to rabbit IgG at 1/50000 dilution
Predicted band size: 36 kDa
Observed band size: 36 kDa -
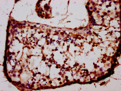
IHC image of CSB-PA880147LA01HU diluted at 1:400 and staining in paraffin-embedded human testis tissue performed on a Leica BondTM system. After dewaxing and hydration, antigen retrieval was mediated by high pressure in a citrate buffer (pH 6.0). Section was blocked with 10% normal goat serum 30min at RT. Then primary antibody (1% BSA) was incubated at 4°C overnight. The primary is detected by a biotinylated secondary antibody and visualized using an HRP conjugated SP system.
-
-
其他:
產品詳情
-
產品名稱:Rabbit anti-Homo sapiens (Human) BARHL1 Polyclonal antibody
-
Uniprot No.:
-
基因名:BARHL1
-
別名:BarH (Drosophila) like 1 antibody; BARH L1 antibody; BarH like 1 antibody; BarH like 1 homeobox protein antibody; BarH like homeobox 1 antibody; BarH-like 1 homeobox protein antibody; BARH1_HUMAN antibody; BARHL 1 antibody; BARHL1 antibody; FKSG 31 antibody; FKSG31 antibody
-
宿主:Rabbit
-
反應種屬:Human
-
免疫原:Recombinant Human BarH-like 1 homeobox protein (38-176AA)
-
免疫原種屬:Homo sapiens (Human)
-
標記方式:Non-conjugated
本頁面中的產品,BARHL1 Antibody (CSB-PA880147LA01HU),的標記方式是Non-conjugated。對于BARHL1 Antibody,我們還提供其他標記。見下表:
-
克隆類型:Polyclonal
-
抗體亞型:IgG
-
純化方式:>95%, Protein G purified
-
濃度:It differs from different batches. Please contact us to confirm it.
-
保存緩沖液:Preservative: 0.03% Proclin 300
Constituents: 50% Glycerol, 0.01M PBS, pH 7.4 -
產品提供形式:Liquid
-
應用范圍:ELISA, WB, IHC
-
推薦稀釋比:
Application Recommended Dilution WB 1:500-1:5000 IHC 1:200-1:500 -
Protocols:
-
儲存條件:Upon receipt, store at -20°C or -80°C. Avoid repeated freeze.
-
貨期:Basically, we can dispatch the products out in 1-3 working days after receiving your orders. Delivery time maybe differs from different purchasing way or location, please kindly consult your local distributors for specific delivery time.
-
用途:For Research Use Only. Not for use in diagnostic or therapeutic procedures.
相關產品
靶點詳情
-
基因功能參考文獻:
- expression of Barhl1 decelerates tumor growth both in human and in murine medulloblastomas. PMID: 21602885
-
亞細胞定位:Nucleus.
-
蛋白家族:BAR homeobox family
-
數據庫鏈接:
Most popular with customers
-
-
YWHAB Recombinant Monoclonal Antibody
Applications: ELISA, WB, IHC, IF, FC
Species Reactivity: Human, Mouse, Rat
-
Phospho-YAP1 (S127) Recombinant Monoclonal Antibody
Applications: ELISA, WB, IHC
Species Reactivity: Human
-
-
-
-
-















