-
中文名稱:BAMBI兔多克隆抗體
-
貨號:CSB-PA615666ESR2HU
-
規格:¥440
-
圖片:
-
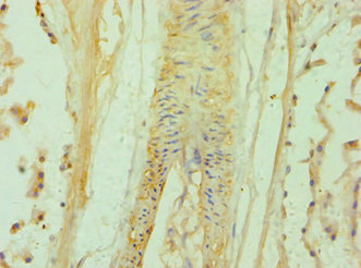
Immunohistochemistry of paraffin-embedded human prostate tissue using CSB-PA615666ESR2HU at dilution of 1:100
-
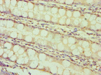
Immunohistochemistry of paraffin-embedded human colon tissue using CSB-PA615666ESR2HU at dilution of 1:100
-
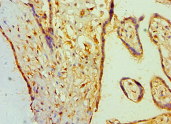
Immunohistochemistry of paraffin-embedded human placenta tissue using CSB-PA615666ESR2HU at dilution of 1:100
-
-
其他:
產品詳情
-
產品名稱:Rabbit anti-Homo sapiens (Human) BAMBI Polyclonal antibody
-
Uniprot No.:
-
基因名:
-
別名:BAMBI antibody; BAMBI_HUMAN antibody; BMP and activin membrane bound inhibitor homolog antibody; BMP and activin membrane-bound inhibitor homolog antibody; NMA antibody; Non metastatic gene A protein antibody; Non-metastatic gene A protein antibody; Putative transmembrane protein NMA antibody
-
宿主:Rabbit
-
反應種屬:Human
-
免疫原:Recombinant Human BMP and activin membrane-bound inhibitor homolog protein (21-152AA)
-
免疫原種屬:Homo sapiens (Human)
-
標記方式:Non-conjugated
-
克隆類型:Polyclonal
-
抗體亞型:IgG
-
純化方式:Antigen Affinity purified
-
濃度:It differs from different batches. Please contact us to confirm it.
-
保存緩沖液:PBS with 0.02% sodium azide, 50% glycerol, pH7.3.
-
產品提供形式:Liquid
-
應用范圍:ELISA, IHC
-
推薦稀釋比:
Application Recommended Dilution IHC 1:20-1:200 -
Protocols:
-
儲存條件:Upon receipt, store at -20°C or -80°C. Avoid repeated freeze.
-
貨期:Basically, we can dispatch the products out in 1-3 working days after receiving your orders. Delivery time maybe differs from different purchasing way or location, please kindly consult your local distributors for specific delivery time.
-
用途:For Research Use Only. Not for use in diagnostic or therapeutic procedures.
引用文獻
- Leptin promotes epithelial-mesenchymal transition in benign prostatic hyperplasia through downregulation of BAMBI Zhang B, et al,Experimental Cell Research,2019
相關產品
靶點詳情
-
功能:Negatively regulates TGF-beta signaling.
-
基因功能參考文獻:
- BAMBI promotes macrophage proliferation and differentiation in gliomas. PMID: 29286116
- These results showed that BMP2 activated SMAD1/5/8 phosphorylation and up-regulated BAMBI mRNA in human granulosa-lutein cells. PMID: 28578012
- Data show that BAMBI is expressed in both circulating CD4+ T cells and plasma and may be characterized as a novel immune regulator for COPD. Strikingly, BAMBI expression was significantly stronger in COPD patients and displayed strong correlations with enhanced plasma TGF-beta 1 levels and the Th17/Treg ratio. PMID: 27549738
- Lipopolysaccharides-mediated TLR4 signaling enhances TGF-beta response through downregulating BAMBI during prostatic hyperplasia. PMID: 27243216
- Low BAMB1 expression is associated with Non-Small Cell Lung Cancer. PMID: 27197161
- TGFbeta target genes including TGFBI, BAMBI, COL3A1 and SERPINE1 are significantly increased in Diamond Blackfan Anemia induced pluripotent stem cells PMID: 26258650
- The observations illuminated that BAMBI inhibits adipogenesis by a feedback loop (BAMBI-->beta-catenin nuclear translocation-->BAMBI), which forms with Wnt/beta-catenin signaling. PMID: 24798646
- betacatenin expression was downregulated as a result of knocking down of BAMBI, and TGF-beta was downregulated in a similar manner. PMID: 24912656
- BAMBI alone or in combination with Smad7 was significantly associated with the OS and DFS. These findings suggest that BAMBI and Smad7 may cooperatively inhibit the TGF-beta signaling, and thus promote the progression of gastric cancer. PMID: 24752577
- study demonstrates that LPS- and TNF-alpha-induced NF-kappaBp50-HDAC1 interaction represses BAMBI transcriptional activity, which contributes to TLR4-mediated enhancement of TGF-beta signaling in hepatic stellate cells during liver fibrosis. PMID: 24448807
- Overexpression of BAMBI is associated with the growth and invasion of human osteosarcoma. PMID: 23807684
- Metformin-mediated Bambi expression in hepatic stellate cells induces prosurvival Wnt/beta-catenin signaling PMID: 22406377
- Alterations in BAMBI may play a role in the (patho)physiology of obesity, and manipulation of BAMBI may present a novel therapeutic approach to improve adipose tissue function. PMID: 22187378
- Data show that hepatoprotective effects of adiponectin include induction of BAMBI which is reduced in human fatty liver. PMID: 21496456
- BAMBI protein is expressed in endothelial cells and is regulated by autophagy and lysosomal degradation. PMID: 20886049
- Expression of the TGF pseudoreceptor BAMBI in the human lung, which is upregulated in response to nontypeable Haemophilus influenzae infection in COPD lung tissue in vivo and in vitro. PMID: 20513241
- Authors demonstrate for the first time a nuclear co-translocation of BAMBI with Smad2/3 upon TGF-geta treatment. Moreover, overexpression of BAMBI in an in vitro model led to significantly increased proliferation. PMID: 20189233
- beta-catenin interferes with transforming growth factor-beta-mediated growth arrest by inducing the expression of BAMBI PMID: 14660579
- Our findings suggest that BAMBI transcription is regulated by TGF-beta signaling through direct binding of SMAD3 and SMAD4 to the BAMBI promoter. PMID: 15240101
- BAMBI was linked to a potentially aggressive tumor phenotype and predicted tumor recurrence and cancer-related death in CRC. PMID: 18756595
- BAMBI interacts with Wnt receptor Frizzled5, coreceptor LRP6, and Dishevelled2 and increases the interaction between Frizzled5 and Dishevelled2 PMID: 18838381
- hypermethylation of the BAMBI gene promoter that leads to BAMBI gene suppression may be one of the epigenetic events affecting the invasiveness or aggressiveness of bladder cancers PMID: 19326429
- A colorectal cancer expression profile that includes transforming growth factor beta inhibitor BAMBI predicts metastatic potential. PMID: 19328798
- Mechanistically, in addition to interfering with the complex formation between the type I and type II receptors, hBAMBI cooperates with Smad7 to inhibit TGF-beta signaling PMID: 19758997
顯示更多
收起更多
-
亞細胞定位:Membrane; Single-pass type I membrane protein.
-
蛋白家族:BAMBI family
-
組織特異性:High expression in kidney medulla, placenta and spleen; low in kidney cortex, liver, prostate and gut. Not expressed in normal skin, expression is high in melanocytes and in 3 out of 11 melanoma metastases tested.
-
數據庫鏈接:
Most popular with customers
-
-
Phospho-YAP1 (S127) Recombinant Monoclonal Antibody
Applications: ELISA, WB, IHC
Species Reactivity: Human
-
-
-
-
-
-















