BAIAP3 Antibody
-
中文名稱:BAIAP3兔多克隆抗體
-
貨號:CSB-PA002547LA01HU
-
規格:¥440
-
圖片:
-
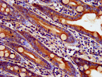
IHC image of CSB-PA002547LA01HU diluted at 1:400 and staining in paraffin-embedded human small intestine tissue performed on a Leica BondTM system. After dewaxing and hydration, antigen retrieval was mediated by high pressure in a citrate buffer (pH 6.0). Section was blocked with 10% normal goat serum 30min at RT. Then primary antibody (1% BSA) was incubated at 4°C overnight. The primary is detected by a biotinylated secondary antibody and visualized using an HRP conjugated SP system.
-
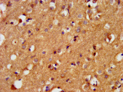
IHC image of CSB-PA002547LA01HU diluted at 1:400 and staining in paraffin-embedded human brain tissue performed on a Leica BondTM system. After dewaxing and hydration, antigen retrieval was mediated by high pressure in a citrate buffer (pH 6.0). Section was blocked with 10% normal goat serum 30min at RT. Then primary antibody (1% BSA) was incubated at 4°C overnight. The primary is detected by a biotinylated secondary antibody and visualized using an HRP conjugated SP system.
-
-
其他:
產品詳情
-
產品名稱:Rabbit anti-Homo sapiens (Human) BAIAP3 Polyclonal antibody
-
Uniprot No.:
-
基因名:BAIAP3
-
別名:BAI1 associated protein 3 antibody; BAI1-associated protein 3 antibody; Baiap3 antibody; BAIP3_HUMAN antibody; BAP2 antibody; BAP3 antibody
-
宿主:Rabbit
-
反應種屬:Human
-
免疫原:Recombinant Human BAI1-associated protein 3 protein (131-257AA)
-
免疫原種屬:Homo sapiens (Human)
-
標記方式:Non-conjugated
本頁面中的產品,BAIAP3 Antibody (CSB-PA002547LA01HU),的標記方式是Non-conjugated。對于BAIAP3 Antibody,我們還提供其他標記。見下表:
-
克隆類型:Polyclonal
-
抗體亞型:IgG
-
純化方式:>95%, Protein G purified
-
濃度:It differs from different batches. Please contact us to confirm it.
-
保存緩沖液:Preservative: 0.03% Proclin 300
Constituents: 50% Glycerol, 0.01M PBS, pH 7.4 -
產品提供形式:Liquid
-
應用范圍:ELISA, IHC
-
推薦稀釋比:
Application Recommended Dilution IHC 1:200-1:500 -
Protocols:
-
儲存條件:Upon receipt, store at -20°C or -80°C. Avoid repeated freeze.
-
貨期:Basically, we can dispatch the products out in 1-3 working days after receiving your orders. Delivery time maybe differs from different purchasing way or location, please kindly consult your local distributors for specific delivery time.
-
用途:For Research Use Only. Not for use in diagnostic or therapeutic procedures.
相關產品
靶點詳情
-
功能:Functions in endosome to Golgi retrograde transport. In response to calcium influx, may interact with SNARE fusion receptors and membrane phospholipids to mediate endosome fusion with the trans-Golgi network. By promoting the recycling of secretory vesicle transmembrane proteins, it indirectly controls dense-core secretory vesicle biogenesis, maturation and their ability to mediate the constitutive and regulated secretion of neurotransmitters and hormones. May regulate behavior and food intake by controlling calcium-stimulated exocytosis of neurotransmitters including NPY and serotonin and hormones like insulin. Proposed to play a role in hypothalamic neuronal firing by modulating gamma-aminobutyric acid (GABA)ergic inhibitory neurotransmission.
-
基因功能參考文獻:
- BAIAP3 functions indirectly in dense-core vesicle exocytosis by affecting DCV maturation through its role in DCV protein recycling. PMID: 28626000
- Baiap3 is gender specifically associated with anxiety and benzodiazepine use disorder. PMID: 23698091
-
亞細胞定位:Cytoplasm, cytosol. Recycling endosome membrane; Peripheral membrane protein. Late endosome membrane; Peripheral membrane protein. Golgi apparatus, trans-Golgi network membrane; Peripheral membrane protein. Cell membrane; Peripheral membrane protein.
-
蛋白家族:Unc-13 family
-
組織特異性:Predominantly expressed in brain. Also expressed in nonneural tissues such as breast and testes epithelium.
-
數據庫鏈接:
Most popular with customers
-
-
YWHAB Recombinant Monoclonal Antibody
Applications: ELISA, WB, IHC, IF, FC
Species Reactivity: Human, Mouse, Rat
-
-
-
-
-
-















