B9D2 Antibody
-
中文名稱:B9D2兔多克隆抗體
-
貨號:CSB-PA861077ESR1HU
-
規格:¥440
-
圖片:
-
其他:
產品詳情
-
產品名稱:Rabbit anti-Homo sapiens (Human) B9D2 Polyclonal antibody
-
Uniprot No.:
-
基因名:B9D2
-
別名:B9D2 antibody; MKSR2B9 domain-containing protein 2 antibody; MKS1-related protein 2 antibody
-
宿主:Rabbit
-
反應種屬:Human
-
免疫原:Recombinant Human B9 domain-containing protein 2 protein (1-175AA)
-
免疫原種屬:Homo sapiens (Human)
-
標記方式:Non-conjugated
-
克隆類型:Polyclonal
-
抗體亞型:IgG
-
純化方式:Antigen Affinity Purified
-
濃度:It differs from different batches. Please contact us to confirm it.
-
保存緩沖液:PBS with 0.02% sodium azide, 50% glycerol, pH7.3.
-
產品提供形式:Liquid
-
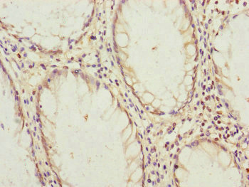
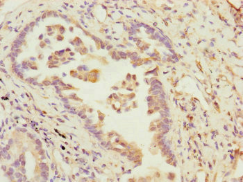
應用范圍:ELISA, IHC
-
推薦稀釋比:
Application Recommended Dilution IHC 1:20-1:200 -
Protocols:
-
儲存條件:Upon receipt, store at -20°C or -80°C. Avoid repeated freeze.
-
貨期:Basically, we can dispatch the products out in 1-3 working days after receiving your orders. Delivery time maybe differs from different purchasing way or location, please kindly consult your local distributors for specific delivery time.
-
用途:For Research Use Only. Not for use in diagnostic or therapeutic procedures.
相關產品
靶點詳情
-
功能:Component of the tectonic-like complex, a complex localized at the transition zone of primary cilia and acting as a barrier that prevents diffusion of transmembrane proteins between the cilia and plasma membranes.
-
基因功能參考文獻:
- The ICIS-1 (Involved in CIlia Stability-1)gene is localized within the TGF-beta1 promoter and is upregulated during mucociliary differentiation. PMID: 17127412
- MKS-1 and MKS-1-related proteins 1 and 2 (MKSR-1/EPPB9, MKSR-2/B9D2), localize to transition zones/basal bodies of sensory cilia; subcellular localization is largely co-dependent, pointing to a functional relationship between the proteins PMID: 19208769
- ICIS-1 is a new protein associated with ciliated cells and potentially related to cilia stability. This gene is localized within the TGF-beta1 promoter and is ubiquitously expressed in human tissues. PMID: 17127412
-
相關疾病:Meckel syndrome 10 (MKS10)
-
亞細胞定位:Cytoplasm, cytoskeleton, cilium basal body. Cytoplasm, cytoskeleton, cilium axoneme. Nucleus.
-
蛋白家族:B9D family
-
數據庫鏈接:
Most popular with customers
-
-
YWHAB Recombinant Monoclonal Antibody
Applications: ELISA, WB, IHC, IF, FC
Species Reactivity: Human, Mouse, Rat
-
Phospho-YAP1 (S127) Recombinant Monoclonal Antibody
Applications: ELISA, WB, IHC
Species Reactivity: Human
-
-
-
-
-















