B4GALT3 Antibody
-
中文名稱:B4GALT3兔多克隆抗體
-
貨號:CSB-PA00704A0Rb
-
規格:¥440
-
圖片:
-
Western blot
All lanes: B4GALT3 antibody at 2µg/ml
Lane 1: EC109 whole cell lysate
Lane 2: 293T whole cell lysate
Secondary
Goat polyclonal to rabbit IgG at 1/15000 dilution
Predicted band size: 44, 16 kDa
Observed band size: 44 kDa -
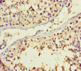
Immunohistochemistry of paraffin-embedded human testis tissue using CSB-PA00704A0Rb at dilution of 1:100
-
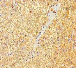
Immunohistochemistry of paraffin-embedded human liver tissue using CSB-PA00704A0Rb at dilution of 1:100
-
-
其他:
產品詳情
-
產品名稱:Rabbit anti-Homo sapiens (Human) B4GALT3 Polyclonal antibody
-
Uniprot No.:
-
基因名:B4GALT3
-
別名:4-galactosyltransferase 3 antibody; 4-galactosyltransferase antibody; 4-GalTase 3 antibody; b4Gal T3 antibody; b4Gal-T3 antibody; B4GALT3 antibody; B4GT3_HUMAN antibody; Beta 1,4 galactosyltransferase 3 antibody; Beta 1,4 GalTase 3 antibody; Beta-1 antibody; Beta-N-acetylglucosaminyl-glycolipid beta-1 antibody; Beta4Gal T3 antibody; Beta4Gal-T3 antibody; Nal synthase antibody; UDP Gal:beta GlcNAc beta-1,4 galactosyltransferase 3 antibody; UDP-Gal:beta-GlcNAc beta-1 antibody; UDP-galactose:beta-N-acetylglucosamine beta-1 antibody
-
宿主:Rabbit
-
反應種屬:Human
-
免疫原:Recombinant Human Beta-1,4-galactosyltransferase 3 protein (34-393AA)
-
免疫原種屬:Homo sapiens (Human)
-
標記方式:Non-conjugated
本頁面中的產品,B4GALT3 Antibody (CSB-PA00704A0Rb),的標記方式是Non-conjugated。對于B4GALT3 Antibody,我們還提供其他標記。見下表:
-
克隆類型:Polyclonal
-
抗體亞型:IgG
-
純化方式:>95%, Protein G purified
-
濃度:It differs from different batches. Please contact us to confirm it.
-
保存緩沖液:Preservative: 0.03% Proclin 300
Constituents: 50% Glycerol, 0.01M PBS, PH 7.4 -
產品提供形式:Liquid
-
應用范圍:ELISA, WB, IHC
-
推薦稀釋比:
Application Recommended Dilution WB 1:1000-1:5000 IHC 1:20-1:200 -
Protocols:
-
儲存條件:Upon receipt, store at -20°C or -80°C. Avoid repeated freeze.
-
貨期:Basically, we can dispatch the products out in 1-3 working days after receiving your orders. Delivery time maybe differs from different purchasing way or location, please kindly consult your local distributors for specific delivery time.
-
用途:For Research Use Only. Not for use in diagnostic or therapeutic procedures.
相關產品
靶點詳情
-
功能:Responsible for the synthesis of complex-type N-linked oligosaccharides in many glycoproteins as well as the carbohydrate moieties of glycolipids.
-
基因功能參考文獻:
- High-metastatic hepatocellular carcinoma cells secrete exosomal miR-1247-3p that directly targets B4GALT3, leading to activation of beta1-integrin-NF-kappaappaB metastatic signaling in fibroblasts resulting in lung cancer. PMID: 29335551
- The mutations c.1456C < T (p.L486F) in MYOC and c.322G < A (p.V108I) in B4GALT3 are likely responsible for the pathogenesis of Primary Open-angle Glaucoma in this family. PMID: 27900994
- our findings evidenced that B4GALT3 upregulated by miR-27a contributes to the tumorigenic activities by b1-integrin pathway and might provide potential biomarkers for cervical cancer. PMID: 26987623
- Data suggest that expression of B4GALT3 in placenta is up-regulated in third trimester; over-expression of B4GALT3 in cultured trophoblasts suppresses cell migration; thus, B4GALT3 appears to regulate trophoblast invasion in late stages of pregnancy. PMID: 25659296
- beta-1,4-Galactosyltransferase III suppresses beta1 integrin-mediated invasive phenotypes and negatively correlates with metastasis in colorectal cancer. PMID: 24403309
- beta-1,4-Galactosyltransferase III enhances invasive phenotypes via beta1-integrin and predicts poor prognosis in neuroblastoma. PMID: 23444218
顯示更多
收起更多
-
亞細胞定位:Golgi apparatus, Golgi stack membrane; Single-pass type II membrane protein. Note=Trans cisternae of Golgi stack.
-
蛋白家族:Glycosyltransferase 7 family
-
組織特異性:Found in various tissues. Highest expression in placenta, prostate, testis, ovary, intestine and muscle, and in fetal brain.
-
數據庫鏈接:
Most popular with customers
-
-
YWHAB Recombinant Monoclonal Antibody
Applications: ELISA, WB, IHC, IF, FC
Species Reactivity: Human, Mouse, Rat
-
Phospho-YAP1 (S127) Recombinant Monoclonal Antibody
Applications: ELISA, WB, IHC
Species Reactivity: Human
-
-
-
-
-















