AXIN2 Antibody
-
中文名稱:AXIN2兔多克隆抗體
-
貨號:CSB-PA897472OA01HU
-
規格:¥440
-
圖片:
-
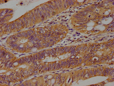
IHC image of CSB-PA897472OA01HU diluted at 1:100 and staining in paraffin-embedded human colon cancer performed on a Leica BondTM system. After dewaxing and hydration, antigen retrieval was mediated by high pressure in a citrate buffer (pH 6.0). Section was blocked with 10% normal goat serum 30min at RT. Then primary antibody (1% BSA) was incubated at 4°C overnight. The primary is detected by a biotinylated secondary antibody and visualized using an HRP conjugated SP system.
-
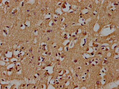
IHC image of CSB-PA897472OA01HU diluted at 1:100 and staining in paraffin-embedded human brain tissue performed on a Leica BondTM system. After dewaxing and hydration, antigen retrieval was mediated by high pressure in a citrate buffer (pH 6.0). Section was blocked with 10% normal goat serum 30min at RT. Then primary antibody (1% BSA) was incubated at 4°C overnight. The primary is detected by a biotinylated secondary antibody and visualized using an HRP conjugated SP system.
-
Immunofluorescence staining of U251 cells with CSB-PA897472OA01HU at 1:100, counter-stained with DAPI. The cells were fixed in 4% formaldehyde, permeabilized using 0.2% Triton X-100 and blocked in 10% normal Goat Serum. The cells were then incubated with the antibody overnight at 4°C. The secondary antibody was Alexa Fluor 488-congugated AffiniPure Goat Anti-Rabbit IgG(H+L).
-
-
其他:
產品詳情
-
產品名稱:Rabbit anti-Homo sapiens (Human) AXIN2 Polyclonal antibody
-
Uniprot No.:
-
基因名:
-
別名:Axil antibody; Axin like protein antibody; Axin-2 antibody; Axin-like protein antibody; Axin2 antibody; AXIN2_HUMAN antibody; Axis inhibition protein 2 antibody; Conductin antibody; DKFZp781B0869 antibody; MGC10366 antibody; MGC126582 antibody
-
宿主:Rabbit
-
反應種屬:Human
-
免疫原:Peptide sequence from Human Axin-2 protein (56-73AA)
-
免疫原種屬:Homo sapiens (Human)
-
標記方式:Non-conjugated
本頁面中的產品,AXIN2 Antibody (CSB-PA897472OA01HU),的標記方式是Non-conjugated。對于AXIN2 Antibody,我們還提供其他標記。見下表:
-
克隆類型:Polyclonal
-
抗體亞型:IgG
-
純化方式:Antigen Affinity Purified
-
濃度:It differs from different batches. Please contact us to confirm it.
-
保存緩沖液:Preservative: 0.03% Proclin 300
Constituents: 50% Glycerol, 0.01M PBS, pH 7.4 -
產品提供形式:Liquid
-
應用范圍:ELISA, IHC, IF
-
推薦稀釋比:
Application Recommended Dilution IHC 1:20-1:200 IF 1:50-1:200 -
Protocols:
-
儲存條件:Upon receipt, store at -20°C or -80°C. Avoid repeated freeze.
-
貨期:Basically, we can dispatch the products out in 1-3 working days after receiving your orders. Delivery time maybe differs from different purchasing way or location, please kindly consult your local distributors for specific delivery time.
-
用途:For Research Use Only. Not for use in diagnostic or therapeutic procedures.
相關產品
靶點詳情
-
功能:Inhibitor of the Wnt signaling pathway. Down-regulates beta-catenin. Probably facilitate the phosphorylation of beta-catenin and APC by GSK3B.
-
基因功能參考文獻:
- increased abundance of Snail and Axin2 is highly correlated to malignant transformation of OL, making them novel biomarker(s) predicting oral cancer development PMID: 28939076
- Review. Polymorphic variants in AXIN2 gene are discussed in relation to the occurrence of the tooth agenesis but also as an indication of the risk of cancer. Mutations in AXIN2 gene were found in patients with colorectal or hepatocellular carcinoma, prostate cancer, ovarian or lung cancer. PMID: 28759178
- Consistent with bioinformatics predictions, SOX7 was correlated positively with AXIN2 and negatively with beta-catenin, suggesting that SOX7 and AXIN2 might play important roles as co-regulators through the Wnt-beta-catenin pathway in the breast tissue to affect the carcinogenesis process. PMID: 27188720
- we performed an association study of AXIN2, BMP4 and IRF6 gene SNPs with Non-Syndromic Cleft Lip with or without Cleft Palate in an Iranian population and the findings proposed that BMP4 rs17563 polymorphism is associated with reduced risk against Non-Syndromic Cleft Lip with or without Cleft Palate. PMID: 29211286
- The results demonstrated miR-3120-5p promotes stemness and invasiveness of colon cancer cells through direct targeting of Axin2. PMID: 29307822
- Hepatic Axin2 expressing CD90+ cells play a cancer stem cell-like role in the progression from liver cirrhosis to hepatocarcinoma. PMID: 28783177
- AXIN2 overexpression is associated with Breast Cancer Invasion and Metastasis. PMID: 27197202
- the study reveals a strong association of SNPs in the Axin2 gene with lung cancer risk in North Indians. PMID: 28378643
- The genotype distribution of the rs1133683 polymorphism C> T showed a statistical difference between the two study groups ( p = 0.0019). individuals with either the C/T or T/T genotype have a decreased risk for colorectal cancer. For the rs2240308 polymorphism C > T, the OR analysis showed a significantly increased risk for carriers of the T/T genotype. PMID: 27228364
- Genetic variant in AXIN2 gene is associated with gallbladder cancer. PMID: 26715268
- Data show that SS18/SSX tightly regulates the elevated expression of the key Wnt target AXIN2 in primary synovial sarcoma. PMID: 26905812
- our mutation analysis detected already known mutations as well as, to the best of our knowledge, mutations and an interstitial deletion of CTNNB1 not described in JAs before. Additionally, a so far unknown transcribed Axin2 splice variant was found, but no further Axin2 mutations. PMID: 26572152
- miR-374a functions as an oncogene in osteosarcoma, and the miR-374a/Axin2 axis might represent a potential therapeutic target for OS intervention. PMID: 26617789
- Flow cytometrically sorted CA9+ population showed increased mRNA level of a Wnt signaling factor AXIN2. In conclusion, these observations indicate that CA9 expression in normal crypt base cells has association with intestinal epithelial stemness PMID: 26648507
- Increase in AXIN2 level expression is associated with breast cancer. PMID: 26514524
- rs9675316 located on chr17q23-a24 near the AXIN2 gene was the most significantly associated with hallux valgus in males in genome-wide association meta-analyses. PMID: 26337638
- Low AXIN2 was independently associated with more aggressive Prostate cancer , biochemical recurrence, and metastasis-free survival after Prostatectomies . PMID: 26771938
- Axin2, a tumor suppressor, exhibited a marked inhibitory effect on Eca109 cell growth. The results identified a new role of miR-374a in esophageal cancer involving Axin2 suppression PMID: 26252180
- study supports the relationship between AXIN2 mutation and non-syndromic oligodontia and extends the mutation spectrum of the AXIN2 gene. PMID: 26406231
- AXIN2 rs2240308 polymorphism significantly and race-specifically correlates with decreased cancer risk (Meta-Analysis) PMID: 25974148
- Suggest that miR-107 could promote HCC cell proliferation via targeting Axin2. PMID: 26191213
- Our data suggest the AXIN2 1989G>A mutation may not have solely a loss-of-function role in colorectal cancer PMID: 26025668
- Conductin shows reduced binding to Dvl2 compared to axin, and degradation of beta-catenin by conductin is only poorly blocked by Dvl2. PMID: 25380820
- borderline results gave hint that rs2240307 contributed to susceptibility to CPO in a Chinese Han population, which was conductive to improving awareness of the causes of NSOC. PMID: 24484320
- The Axin2 rs2240308 polymorphism is associated with susceptibility to lung cancer. PMID: 25091576
- Results suggest tha tthe pathological progression from Serrated adenoma through colon carcinoma required the successive events: mutations in BRAF protein, hypermethylation of MLH1 then hypermethylation in AXIN2. PMID: 24964857
- findings indicate that AXIN2 can be regarded as a candidate gene for mutation detection in individuals with non-syndromic oligodontia in the Chinese population. PMID: 24581859
- a novel missense AXIN2 variant was identified in an AFAP family with no signs of oligodontia and ectodermal dysplasia. PMID: 23838596
- MiR-205 is a novel anti-oncogenic miRNA in KB oral cancer cells via down-regulation of Axin-2. PMID: 24166197
- AXIN genes do not play a major role in adrenocortical carcinoma tumorigenesis and Wnt/beta-catenin signaling pathway activation. AXIN2 germline variant c2013_2024del12 is likely to be a non-pathogenic polymorphism. PMID: 23812285
- involvement of PAX9, EDA, SPRY2, SPRY4, and WNT10A as risk factors for MLIA. uncovered 3 strong synergistic interactions between MLIA liability and MSX1-TGFA, AXIN2-TGFA, and SPRY2-SPRY4 gene pairs. 1st evidence of sprouty genes in MLIA susceptibility. PMID: 24554542
- The generally increased expression of axin 2 in all tumor stages as compared to normal tissue suggests an initiating pathogenic function in the development of colorectal carcinoma. PMID: 23702820
- These findings suggest that nuclear AXIN2 functions as a rheostat to control MYC expression in response to Wnt/beta-catenin signaling. PMID: 24299953
- Axin2 regulates nuclear GSK-3 localization and Snail mediated E-cadherin promoter activity in colorectal cancer cells. PMID: 23624843
- rs3923086 in AXIN2 and rs3763511 in DKK4 that did not show any association in the overall population were significantly associated with early on-set and estrogen receptor negative breast cancers, respectively. PMID: 23516639
- CDX2 activated APC and AXIN2 promoter activities via intestinal cell-specific enhancer elements; results suggest that a low CDX2 level has influence on the Wnt signaling in invasive colon cancer cells possibly promoting cellular migration PMID: 23393221
- Borderline association with a decreased risk of cleft lip with or without cleft palate was observed for the AXIN2 rs3923087 variant. PMID: 22887353
- tooth agenesis had increased risk of a family history of cancer. tooth agenesis was associated with positive self-reported family history of cancer and variants in AXIN2. PMID: 23169889
- Axin2 acts as a potent promoter of carcinoma behavior by up-regulating the activity of the transcriptional repressor, Snail1, inducing a functional epithelial-mesenchymal transition (EMT) program and driving metastatic activity PMID: 22745173
- CDC20-mediated degradation of conductin regulates Wnt/beta-catenin signalling for maximal activity during G1/S. PMID: 22322943
- results continue to support a role for AXIN2 in the etiology of human clefting PMID: 22370446
- the AXIN2 Intron2 rs35285779 single nucleotide polymorphism (SNP) is associated with development of prostate cancer as a protective SNP PMID: 21069480
- AXIN2, a Wnt target gene, showed increased expression in all serous ovarian cancer samples. PMID: 21666490
- novel Axin 2 gene mutations may be a predisposing factor in ethnic Kashmiri population to colorectal cancer PMID: 21541676
- The present study reports, for the first time, that AXIN2 genetic defects may be found in adrenocortical tumors. PMID: 21733995
- a cohort of 93 Swedish probands with non-syndromic, isolated oligodontia, mutations were identified in the EDARADD), AXIN2, MSX1, and PAX9 genes PMID: 21626677
- The results of this study indicated that Axin2 is an essential regulator of remyelination and that it might serve as a pharmacological checkpoint in this process. PMID: 21706018
- Molecular analysis disclosed six distinct heterozygous AXIN2 variations in familial melanoma subjects. PMID: 21294210
- The data indicate that conductin regulate centrosomal cohesion by altering the phosphorylation status of beta-catenin at the centrosomes. PMID: 20300119
- AXIN2 has ben implicated int he mixed form of tooth agenesis. PMID: 19816326
顯示更多
收起更多
-
相關疾病:Colorectal cancer (CRC); Oligodontia-colorectal cancer syndrome (ODCRCS)
-
亞細胞定位:Cytoplasm.
-
組織特異性:Expressed in brain and lymphoblast.
-
數據庫鏈接:
Most popular with customers
-
-
Phospho-YAP1 (S127) Recombinant Monoclonal Antibody
Applications: ELISA, WB, IHC
Species Reactivity: Human
-
-
-
-
-
-















