AURKB Antibody
-
中文名稱:AURKB兔多克隆抗體
-
貨號:CSB-PA002458EA01HU
-
規格:¥440
-
圖片:
-
Immunofluorescence staining of Hela cells with CSB-PA002458EA01HU at 1:166, counter-stained with DAPI. The cells were fixed in 4% formaldehyde, permeabilized using 0.2% Triton X-100 and blocked in 10% normal Goat Serum. The cells were then incubated with the antibody overnight at 4°C. The secondary antibody was Alexa Fluor 488-congugated AffiniPure Goat Anti-Rabbit IgG(H+L).
-
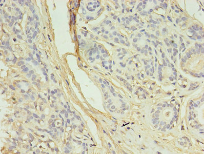
Immunohistochemistry of paraffin-embedded human breast cancer using CSB-PA002458EA01HU at dilution of 1:100
-
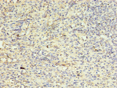
Immunohistochemistry of paraffin-embedded human spleen tissue using CSB-PA002458EA01HU at dilution of 1:100
-
-
其他:
產品詳情
-
產品名稱:Rabbit anti-Homo sapiens (Human) AURKB Polyclonal antibody
-
Uniprot No.:
-
基因名:
-
別名:AIK2 antibody; AIM-1 antibody; AIM1 antibody; ARK-2 antibody; ARK2 antibody; AurB antibody; AURKB antibody; AURKB_HUMAN antibody; Aurora 1 antibody; Aurora and Ipl1 like midbody associated protein 1 antibody; Aurora kinase B antibody; Aurora related kinase 2 antibody; Aurora- and Ipl1-like midbody-associated protein 1 antibody; Aurora-B antibody; Aurora-related kinase 2 antibody; Aurora/IPL1 related kinase 2 antibody; Aurora/IPL1-related kinase 2 antibody; IPL1 antibody; PPP1R48 antibody; Protein phosphatase 1 regulatory subunit 48 antibody; Serine/theronine kinase 12 antibody; Serine/threonine protein kinase 12 antibody; Serine/threonine-protein kinase 12 antibody; Serine/threonine-protein kinase aurora-B antibody; STK-1 antibody; STK1 antibody; STK12 antibody; STK5 antibody
-
宿主:Rabbit
-
反應種屬:Human
-
免疫原:Recombinant Human Aurora kinase B protein (1-255AA)
-
免疫原種屬:Homo sapiens (Human)
-
標記方式:Non-conjugated
本頁面中的產品,AURKB Antibody (CSB-PA002458EA01HU),的標記方式是Non-conjugated。對于AURKB Antibody,我們還提供其他標記。見下表:
-
克隆類型:Polyclonal
-
抗體亞型:IgG
-
純化方式:>95%, Protein G purified
-
濃度:It differs from different batches. Please contact us to confirm it.
-
保存緩沖液:Preservative: 0.03% Proclin 300
Constituents: 50% Glycerol, 0.01M PBS, PH 7.4 -
產品提供形式:Liquid
-
應用范圍:ELISA, IHC, IF
-
推薦稀釋比:
Application Recommended Dilution IHC 1:20-1:200 IF 1:50-1:200 -
Protocols:
-
儲存條件:Upon receipt, store at -20°C or -80°C. Avoid repeated freeze.
-
貨期:Basically, we can dispatch the products out in 1-3 working days after receiving your orders. Delivery time maybe differs from different purchasing way or location, please kindly consult your local distributors for specific delivery time.
-
用途:For Research Use Only. Not for use in diagnostic or therapeutic procedures.
相關產品
靶點詳情
-
功能:Serine/threonine-protein kinase component of the chromosomal passenger complex (CPC), a complex that acts as a key regulator of mitosis. The CPC complex has essential functions at the centromere in ensuring correct chromosome alignment and segregation and is required for chromatin-induced microtubule stabilization and spindle assembly. Involved in the bipolar attachment of spindle microtubules to kinetochores and is a key regulator for the onset of cytokinesis during mitosis. Required for central/midzone spindle assembly and cleavage furrow formation. Key component of the cytokinesis checkpoint, a process required to delay abscission to prevent both premature resolution of intercellular chromosome bridges and accumulation of DNA damage: phosphorylates CHMP4C, leading to retain abscission-competent VPS4 (VPS4A and/or VPS4B) at the midbody ring until abscission checkpoint signaling is terminated at late cytokinesis. AURKB phosphorylates the CPC complex subunits BIRC5/survivin, CDCA8/borealin and INCENP. Phosphorylation of INCENP leads to increased AURKB activity. Other known AURKB substrates involved in centromeric functions and mitosis are CENPA, DES/desmin, GPAF, KIF2C, NSUN2, RACGAP1, SEPTIN1, VIM/vimentin, HASPIN, and histone H3. A positive feedback loop involving HASPIN and AURKB contributes to localization of CPC to centromeres. Phosphorylation of VIM controls vimentin filament segregation in cytokinetic process, whereas histone H3 is phosphorylated at 'Ser-10' and 'Ser-28' during mitosis (H3S10ph and H3S28ph, respectively). A positive feedback between HASPIN and AURKB contributes to CPC localization. AURKB is also required for kinetochore localization of BUB1 and SGO1. Phosphorylation of p53/TP53 negatively regulates its transcriptional activity. Key regulator of active promoters in resting B- and T-lymphocytes: acts by mediating phosphorylation of H3S28ph at active promoters in resting B-cells, inhibiting RNF2/RING1B-mediated ubiquitination of histone H2A and enhancing binding and activity of the USP16 deubiquitinase at transcribed genes.
-
基因功能參考文獻:
- We also suggested Aurora-B as a promising therapeutic target in non-small cell lung cancer treatment. PMID: 29707994
- The epigenetic targets AURKB, AURKC and DNMT3B, and the global DNA methylation profile are regulated during HIV-1 replication in CD4+ T cells, and this regulation can be influenced by the activation state of the cell at the time of infection. PMID: 30077875
- findings suggest that USP35 regulates the stability and function of Aurora B by blocking APC(CDH1)-induced proteasomal degradation, thereby controlling mitotic progression PMID: 29449677
- PKCvarepsilon directly modulates the Aurora B-dependent abscission checkpoint by phosphorylating Aurora B at S227. This phosphorylation invokes a switch in Aurora B specificity, with increased phosphorylation of a subset of target substrates, including the CPC subunit Borealin. PMID: 28004745
- The results propose a model in which Aurora B-mediated H2AX-phosphorylated serine 121 probably provide a platform for Aurora B autoactivation circuitry at centromeres and thus play a pivotal role in proper chromosome segregation. PMID: 27389782
- The data suggest that AKA is the vertebrate ancestral gene, and that AKB and AKC resulted from gene duplication in placental mammals. PMID: 29283376
- Study reveals the mechanism controlling abscission through integration of Aurora B kinase and B56-bound PP2A phosphatase activities on the kinesin motor protein MKlp2. MKlp2 is an essential protein for promoting abscission, which may regulate tethering and stabilizing of the PM to the microtubule cytoskeleton at the intercellular bridge through its previously uncharacterized lipid association motif. PMID: 27939310
- we identified deguelin as an effective Aurora B inhibitor, which deserves further studies in other animal models and esophageal squamous cell carcinoma treatment PMID: 29129699
- Our data show that S49076 exerts its cytotoxic activity at low doses on MET-dependent cells through MET inhibition, whereas it inhibits growth of MET-independent cells at higher but clinically relevant doses by targeting Aurora B PMID: 28619752
- Results show the overexpression Aurkb decreased glycolytic activities and suggest that AURKB is involved in asthenozoospermia. PMID: 29653228
- Identification and characterization of AURKB and AURKC variants associated with maternal aneuploidy has been reported. PMID: 28369513
- SIX3 is a novel negative transcriptional regulator and acts as a tumor suppressor that directly represses the transcription of AURKA and AURKB in astrocytoma. PMID: 28595628
- Our findings suggested that AURKA (rs911160) and AURKB (rs2289590) polymorphisms could affect GC risk. Further validation studies in larger and multi-ethnical populations are needed to elucidate their functional impact on the development of GC PMID: 28843004
- Data show that aurora-B regulates end-on conversion in human cells and indicate a late role for SPAG5 protein (Astrin)-SKAP complex in the end-on conversion process. PMID: 28751710
- The results of experiment indicated that specific knockdown of Aurora kinase B led to prostate carcinoma cells apoptosis and inhibited tumor growth. PMID: 28100163
- decrease in Aurora B results in diminished binding of the chromokinesin Kif4A to chromosome arms. PMID: 28821562
- Aurora B kinase interacts with and phosphorylates Sgo1. Aurora B-mediated phosphorylation of Sgo1 regulates the distribution of Sgo1 between centromeres and chromosome arms. PMID: 25451264
- AURKC rs758099 TT and (CC + CT) genotypes were positively associated with increased intestinal type gastric cancer (GC)risk, but not with an increased diffuse type GC risk. Based on these results, we can conclude that AURKA rs1047972 and AURKC rs758099 polymorphisms could affect the risk of GC development. PMID: 27270838
- Aurora-C interactions with members of the Chromosome Passenger Complex (CPC), Survivin and Inner Centromere Protein (INCENP) in reference to known Aurora-B interactions to understand the functional significance of Aurora-C overexpression in human cancer cells, is reported. PMID: 27332895
- Aurora kinase inhibitor danusertib negatively regulated AURKB/p70S6K/RPL15 axis with the involvement of PI3K/Akt/mTOR, AMPK, and p38 MAPK signaling pathways, leading to the induction of apoptosis and autophagy in human leukemia cells. PMID: 27612557
- The kinase activity of Aurora B on serine 31 of histone H3.3 was biochemically confirmed with nucleosomal substrates in vitro. PMID: 28137420
- in addition to its role in checkpoint signaling, MAD2 ensures chromosome stability through the regulation of AURORA B. PMID: 27341405
- Ska promotes Aurora B activity to limit its own microtubule and kinetochore association. PMID: 27697923
- partial co-localization of AKT3 with AURKB was observed during anaphase. Overall, this study suggests that AKT3 could repress the antiproliferative effects of AURKi, with a novel activity particularly suppressing the aneuploidy induction. PMID: 28028179
- Our study mechanistically explains a p53-independent mode of action of a chemical Aurora B inhibitor and suggests a potential triggering of antitumoral immune responses, following polyploidization of tumor cells, which might constrain recovery of aneuploid tumor cells. PMID: 27515963
- Our data demonstrate that the cytokinetic proteins epithelial cell transforming 2 and Aurora kinase B (AurkB) are localized to stress granules in human astrocytoma cells PMID: 27106762
- a resorcinol derivative, 5-methyl-4-(2-thiazolylazo) resorcinol (PTK66), a dual inhibitor of Aurora A and Aurora B kinases. PTK66 is a surface binding non-ATP analogue inhibitor that shows a mixed pattern of inhibition against both of Aurora A and B kinases PMID: 26808391
- overexpression of PAK1, NEK6, AURKA, and AURKB genes in patients with Colorectal adenomatous polyp and colorectal cancer in the Turkish population. PMID: 26423403
- Aurora-B and HDAC can cooperatively regulate AKT, mTOR and Notch pathways PMID: 26638998
- Proper midbody architecture requires cross-regulation between two cell division kinases, Citron kinase (CIT-K) and Aurora B, the kinase component of the chromosomal passenger complex. PMID: 27009191
- Aurora B may prefer Cdk1-phosphorylated Sororin as a substrate. PMID: 26177583
- Aurora kinases are important KRAS targets in lung cancer. PMID: 26842935
- Aurora A and B inhibition had a significant antitumor effect against TNBC, and this antitumor effect was maximized by the combination of selumetinib with Aurora A and B inhibition. PMID: 26443806
- Clk1, Clk2 and Clk4 prevent chromatin breakage by regulating the Aurora B-dependent abscission checkpoint. PMID: 27126587
- Combined treatment with aurora kinase inhibitor SNS-314and quercetin-hyaluronic acid hydrogel results in synergistic cytotoxic effects in papillary and medullary thyroid carcinoma cells. PMID: 26660542
- NudC is co-localized with Aurora B at the midbody and co-immunoprecipitated with Aurora B in mitosis. results suggest that that dynamic phosphorylation of NudC by Aurora B regulates cytokinesis. PMID: 27074040
- Aurora B and CDK1 temporally regulate the binding affinity of EB2 for microtubules, thereby ensuring kinetochore microtubule dynamics, proper mitotic progression and genome stability. PMID: 27030108
- the Aurora B-PLK1 signaling at the kinetochore orchestrates MCAK activity, which is essential for timely correction of aberrant kinetochore attachment to ensure accurate chromosome segregation during mitosis. PMID: 26206521
- PC4 associates with Aurora A and Aurora B and undergoes phosphorylation, following which PC4 activates both Aurora A and B to sustain optimal kinase activity to maintain the phosphorylation gradient for the proper functioning of the mitotic machinery. PMID: 26777301
- HP1 binding to the chromosomal passenger complex becomes particularly important when Aurora B phosphorylates kinetochore targets to eliminate erroneous microtubule attachments PMID: 26954544
- UBASH3B is necessary for the timing and fidelity of chromosome segregation in human cells PMID: 26766443
- These results demonstrate that Aurora B inhibits both direct interaction with the microtubule and oligomerization of the Dam1 complex to drive error correction during mitosis. PMID: 26560693
- Aurora B plays role in maintaining genomic integrity by promoting the formation of a passageway in the nuclear envelope through which late-segregating acentric chromosomes enter the telophase daughter nucleus. PMID: 25877868
- Data indicate the antitumor and radiosensitizing activity of daurinol in lung cancer cells through the inhibition of aurora kinase A/B (AURKA and AURKB). PMID: 25882311
- Study reports that the monomeric RING domains from the human E3 ligases Arkadia and Ark2C bind directly to free ubiquitin with an affinity comparable to that of other dedicated ubiquitin-binding domains. PMID: 26656854
- Enhanced let-7i expression suppresses cell migration and invasion of osteosarcoma (OS) cells in vitro. Let-7i inhibits OS cell malignant phenotype partly by targeting Aurora-B. PMID: 25997616
- Disrupting AurKB before mitotic entry reduces chromosomal passenger complex (CPC) localization to the centromere. AurKB plays a minimal role in maintaining CPC localization once cells are in mitosis. PMID: 25854549
- Results suggest the potential for therapeutic application of Aurora kinase B inhibitors in the treatment of MYC overexpressing medulloblastoma. PMID: 25739120
- Aurora kinases ((Aurora kinase A and B )mediate PKC-MAPK signal to NF-kappaB/AP-1 with increasing MMP-9 expression and invasion of MCF-7 cells. PMID: 26044736
- midostaurin treatment significantly reduced the Aurora kinase-mediated phosphorylation reactions in the cell line. Although the effect was weaker than that of VX-680, midostaurin attenuated the phosphorylation of Aurora kinases A and B PMID: 26141684
顯示更多
收起更多
-
相關疾病:Disruptive regulation of expression is a possible mechanism of the perturbation of chromosomal integrity in cancer cells through its dominant-negative effect on cytokinesis.
-
亞細胞定位:Nucleus. Chromosome. Chromosome, centromere. Cytoplasm, cytoskeleton, spindle. Midbody.
-
蛋白家族:Protein kinase superfamily, Ser/Thr protein kinase family, Aurora subfamily
-
組織特異性:High level expression seen in the thymus. It is also expressed in the spleen, lung, testis, colon, placenta and fetal liver. Expressed during S and G2/M phase and expression is up-regulated in cancer cells during M phase.
-
數據庫鏈接:
Most popular with customers
-
YWHAB Recombinant Monoclonal Antibody
Applications: ELISA, WB, IHC, IF, FC
Species Reactivity: Human, Mouse, Rat
-
Phospho-YAP1 (S127) Recombinant Monoclonal Antibody
Applications: ELISA, WB, IHC
Species Reactivity: Human
-
-
-
-
-
-















