AUP1 Antibody
-
中文名稱:AUP1兔多克隆抗體
-
貨號:CSB-PA258902
-
規格:¥1100
-
圖片:
-
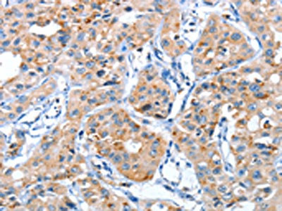
The image on the left is immunohistochemistry of paraffin-embedded Human liver cancer tissue using CSB-PA258902(AUP1 Antibody) at dilution 1/50, on the right is treated with fusion protein. (Original magnification: ×200)
-
The image on the left is immunohistochemistry of paraffin-embedded Human lung cancer tissue using CSB-PA258902(AUP1 Antibody) at dilution 1/50, on the right is treated with fusion protein. (Original magnification: ×200)
-
Gel: 10%SDS-PAGE, Lysate: 40 μg, Lane 1-4: Hela cells, 293T cells, mouse liver tissue, NIH/3T3 cells, Primary antibody: CSB-PA258902(AUP1 Antibody) at dilution 1/500, Secondary antibody: Goat anti rabbit IgG at 1/8000 dilution, Exposure time: 30 seconds
-
-
其他:
產品詳情
-
Uniprot No.:
-
基因名:AUP1
-
別名:AA589454 antibody; Ancient ubiquitous protein 1 antibody; AUP 1 antibody; aup1 antibody; AUP1_HUMAN antibody
-
宿主:Rabbit
-
反應種屬:Human,Mouse,Rat
-
免疫原:Fusion protein of Human AUP1
-
免疫原種屬:Homo sapiens (Human)
-
標記方式:Non-conjugated
-
抗體亞型:IgG
-
純化方式:Antigen affinity purification
-
濃度:It differs from different batches. Please contact us to confirm it.
-
保存緩沖液:-20°C, pH7.4 PBS, 0.05% NaN3, 40% Glycerol
-
產品提供形式:Liquid
-
應用范圍:ELISA,WB,IHC
-
推薦稀釋比:
Application Recommended Dilution ELISA 1:2000-1:5000 WB 1:500-1:2000 IHC 1:50-1:200 -
Protocols:
-
儲存條件:Upon receipt, store at -20°C or -80°C. Avoid repeated freeze.
-
貨期:Basically, we can dispatch the products out in 1-3 working days after receiving your orders. Delivery time maybe differs from different purchasing way or location, please kindly consult your local distributors for specific delivery time.
-
用途:For Research Use Only. Not for use in diagnostic or therapeutic procedures.
相關產品
靶點詳情
-
功能:Plays a role in the translocation of terminally misfolded proteins from the endoplasmic reticulum lumen to the cytoplasm and their degradation by the proteasome. Plays a role in lipid droplet formation. Induces lipid droplet clustering. Recruits ubiquitin-conjugating enzyme UBE2G2 to lipid droplets which facilitates its interaction with ubiquitin ligases AMFR/gp78 and RNF139/TRC8, leading to sterol-induced ubiquitination of HMGCR and its subsequent proteasomal degradation. Also required for the degradation of INSIG1, SREBF1 and SREBF2. Plays a role in regulating assembly and secretion of very low density lipoprotein particles and stability of apolipoprotein APOB.; (Microbial infection) Following Dengue virus infection, required for induction of lipophagy which facilitates production of virus progeny particles.
-
基因功能參考文獻:
- AUP1 may be a crucial factor in hepatic apoB100 quality control, determining the rate at which apoB100 is degraded or lipidated to enable VLDL particle assembly and secretion. PMID: 28183703
- Monoubiquitinated AUP1 on the lipid droplet surface specifically induces clustering. PMID: 24039768
- A novel role for Aup1 in maintenance of intracellular cholesterol homeostasis via mediation of the endoplasmic reticulum associated degradation of HMG-CoA reductase. PMID: 23223569
- AUP1 targeting signals PMID: 23197321
- Dual role of ancient ubiquitous protein 1 (AUP1) in lipid droplet accumulation and endoplasmic reticulum (ER) protein quality control. PMID: 21857022
- The presence of the AUP1-Ube2g2 complex at LDs provides a direct molecular link between LDs and the cellular ubiquitination machinery. PMID: 21127063
- binding of Aup1 plays a crucial role in the alpha(IIb)beta(3) inside-out signaling PMID: 12042322
- molecular cloning and sequencing of cDNA and preliminary characterization of protein PMID: 12534237
顯示更多
收起更多
-
亞細胞定位:Endoplasmic reticulum membrane; Peripheral membrane protein. Lipid droplet.; Cytoplasmic vesicle, autophagosome.
-
蛋白家族:AUP1 family
-
組織特異性:Detected in blood platelets and leukocytes (at protein level). Ubiquitous. Highly expressed in placenta, liver, kidney, skeletal muscle, heart and brain.
-
數據庫鏈接:
Most popular with customers
-
-
YWHAB Recombinant Monoclonal Antibody
Applications: ELISA, WB, IHC, IF, FC
Species Reactivity: Human, Mouse, Rat
-
Phospho-YAP1 (S127) Recombinant Monoclonal Antibody
Applications: ELISA, WB, IHC
Species Reactivity: Human
-
-
-
-
-















