AUH Antibody
-
中文名稱:AUH兔多克隆抗體
-
貨號:CSB-PA621698ESR2HU
-
規格:¥440
-
圖片:
-
Western blot
All lanes: Methylglutaconyl-CoA hydratase, mitochondrial antibody at 6μg/ml
Lane 1: Rat brain tissue
Lane 2: Rat kidney tissue
Secondary
Goat polyclonal to rabbit IgG at 1/10000 dilution
Predicted band size: 36, 33 kDa
Observed band size: 36 kDa -
Immunohistochemistry of paraffin-embedded human tonsil tissue using CSB-PA621698ESR2HU at dilution of 1: 100
-
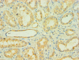
Immunohistochemistry of paraffin-embedded human kidney tissue using CSB-PA621698ESR2HU at dilution of 1: 100
-
-
其他:
產品詳情
-
產品名稱:Rabbit anti-Homo sapiens (Human) AUH Polyclonal antibody
-
Uniprot No.:
-
基因名:AUH
-
別名:AUHMethylglutaconyl-CoA hydratase antibody; mitochondrial antibody; EC 4.2.1.18 antibody; AU-specific RNA-binding enoyl-CoA hydratase antibody; AU-binding protein/enoyl-CoA hydratase antibody; Itaconyl-CoA hydratase antibody; EC 4.2.1.56 antibody
-
宿主:Rabbit
-
反應種屬:Human, Rat
-
免疫原:Recombinant Human Methylglutaconyl-CoA hydratase, mitochondrial protein (68-339AA)
-
免疫原種屬:Homo sapiens (Human)
-
標記方式:Non-conjugated
-
克隆類型:Polyclonal
-
抗體亞型:IgG
-
純化方式:Antigen Affinity Purified
-
濃度:It differs from different batches. Please contact us to confirm it.
-
保存緩沖液:PBS with 0.02% sodium azide, 50% glycerol, pH7.3.
-
產品提供形式:Liquid
-
應用范圍:ELISA, WB, IHC
-
推薦稀釋比:
Application Recommended Dilution WB 1:500-1:2000 IHC 1:20-1:200 -
Protocols:
-
儲存條件:Upon receipt, store at -20°C or -80°C. Avoid repeated freeze.
-
貨期:Basically, we can dispatch the products out in 1-3 working days after receiving your orders. Delivery time maybe differs from different purchasing way or location, please kindly consult your local distributors for specific delivery time.
-
用途:For Research Use Only. Not for use in diagnostic or therapeutic procedures.
相關產品
靶點詳情
-
功能:Catalyzes the conversion of 3-methylglutaconyl-CoA to 3-hydroxy-3-methylglutaryl-CoA. Also has itaconyl-CoA hydratase activity by converting itaconyl-CoA into citramalyl-CoA in the C5-dicarboxylate catabolism pathway. The C5-dicarboxylate catabolism pathway is required to detoxify itaconate, a vitamin B12-poisoning metabolite. Has very low enoyl-CoA hydratase activity. Was originally identified as RNA-binding protein that binds in vitro to clustered 5'-AUUUA-3' motifs.
-
基因功能參考文獻:
- AUH localizes to the inner mitochondrial membrane and matrix where it associates with mitochondrial ribosomes and regulates protein synthesis. PMID: 24598254
- Phenotypic heterogeneity in two siblings with 3-methylglutaconic aciduria type I caused by a novel deletion of exons 1-3 within the AUH gene. PMID: 21840233
- 3-Methylglutaconic aciduria type I is caused by mutations in AUH PMID: 12434311
- Human 3-methylglutaconyl-CoA hydratase is identical with RNA-binding protein (AUH); molecular analyses of MGA1 patients show homozygosity or compound heterozygosity for mutations in AUH. PMID: 12655555
- Mutation analysis in the AUH gene revealed homozygosity for a novel splice site mutation IVS9-2A>G. We conclude that MGA1 may be associated with fever-associated seizures even in children without delayed psychomotor development. PMID: 15033206
- Mutations in the AUH gene are linked to metabolic disease 3-methylglutaconic aciduria type I (MGA1). PMID: 16640564
- The AUH trimer dimerizes upon binding to one molecule of a long RNA containing 24 repeats of the AUUU motif, (AUUU)(24)A. PMID: 18831052
顯示更多
收起更多
-
相關疾病:3-methylglutaconic aciduria 1 (MGA1)
-
亞細胞定位:Mitochondrion.
-
蛋白家族:Enoyl-CoA hydratase/isomerase family
-
數據庫鏈接:
Most popular with customers
-
-
YWHAB Recombinant Monoclonal Antibody
Applications: ELISA, WB, IHC, IF, FC
Species Reactivity: Human, Mouse, Rat
-
Phospho-YAP1 (S127) Recombinant Monoclonal Antibody
Applications: ELISA, WB, IHC
Species Reactivity: Human
-
-
-
-
-















