ATPIF1 Antibody
-
中文名稱:ATPIF1兔多克隆抗體
-
貨號:CSB-PA569426
-
規格:¥1100
-
圖片:
-
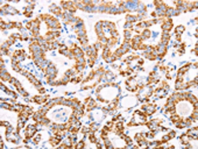
The image on the left is immunohistochemistry of paraffin-embedded Human thyroid cancer tissue using CSB-PA569426(ATPIF1 Antibody) at dilution 1/50, on the right is treated with fusion protein. (Original magnification: ×200)
-
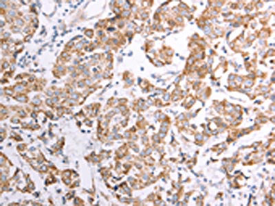
The image on the left is immunohistochemistry of paraffin-embedded Human breast cancer tissue using CSB-PA569426(ATPIF1 Antibody) at dilution 1/50, on the right is treated with fusion protein. (Original magnification: ×200)
-
Gel: 10+12+15%SDS-PAGE, Lysate: 40 μg, Lane 1-4: Hela cells, Jurkat cells, MCF7 cells, A431 cells, Primary antibody: CSB-PA569426(ATPIF1 Antibody) at dilution 1/1200, Secondary antibody: Goat anti rabbit IgG at 1/8000 dilution, Exposure time: 2 minutes
-
-
其他:
產品詳情
-
Uniprot No.:
-
基因名:ATPIF1
-
別名:ATIF1_HUMAN antibody; ATP synthase inhibitor protein antibody; ATPase inhibitor antibody; ATPase inhibitor mitochondrial antibody; ATPase inhibitor protein antibody; ATPase inhibitory factor 1 antibody; ATPI antibody; ATPIF 1 antibody; Atpif1 antibody; ATPIP antibody; IF(1) antibody; IF1 antibody; Inhibitor of F(1)F(o)-ATPase antibody; IP antibody; MGC1167 antibody; MGC8898 antibody; mitochondrial antibody
-
宿主:Rabbit
-
反應種屬:Human
-
免疫原:Fusion protein of Human ATPIF1
-
免疫原種屬:Homo sapiens (Human)
-
標記方式:Non-conjugated
-
抗體亞型:IgG
-
純化方式:Antigen affinity purification
-
濃度:It differs from different batches. Please contact us to confirm it.
-
保存緩沖液:-20°C, pH7.4 PBS, 0.05% NaN3, 40% Glycerol
-
產品提供形式:Liquid
-
應用范圍:ELISA,WB,IHC
-
推薦稀釋比:
Application Recommended Dilution ELISA 1:2000-1:10000 WB 1:1000-1:5000 IHC 1:50-1:200 -
Protocols:
-
儲存條件:Upon receipt, store at -20°C or -80°C. Avoid repeated freeze.
-
貨期:Basically, we can dispatch the products out in 1-3 working days after receiving your orders. Delivery time maybe differs from different purchasing way or location, please kindly consult your local distributors for specific delivery time.
-
用途:For Research Use Only. Not for use in diagnostic or therapeutic procedures.
相關產品
靶點詳情
-
功能:Endogenous F(1)F(o)-ATPase inhibitor limiting ATP depletion when the mitochondrial membrane potential falls below a threshold and the F(1)F(o)-ATP synthase starts hydrolyzing ATP to pump protons out of the mitochondrial matrix. Required to avoid the consumption of cellular ATP when the F(1)F(o)-ATP synthase enzyme acts as an ATP hydrolase. Indirectly acts as a regulator of heme synthesis in erythroid tissues: regulates heme synthesis by modulating the mitochondrial pH and redox potential, allowing FECH to efficiently catalyze the incorporation of iron into protoporphyrin IX to produce heme.
-
基因功能參考文獻:
- Results presently demonstrate, both in vitro and in vivo, that polycyclic aromatic hydrocarbons, especially B[a]P, strongly increase IF1 expression. Such an increase, which might rely on beta2-adrenergic receptor activation, notably participates to the B[a]P-induced glycolytic shift and cell survival in liver cells. PMID: 28298645
- results suggest that IF1 overexpression promotes cancer cells survival under temporary anoxic conditions by preserving cellular ATP despite mitochondria dysfunction. PMID: 29097244
- IF1 suppresses programmed cell death. PMID: 28228254
- reverse phase protein microarrays identified the glycolysis promoting PKM2 and IF1 proteins as specific biomarkers of dermatomyositis. PMID: 28183315
- CF6-induced increase in apoptotic cells was blocked by immature or mature IF1, being accompanied by protein kinase B (PKB) phosphorylation. IF1 antagonizes the pro-apoptotic action of CF6 by relief of intracellular acidification and resultant phosphorylation of PKB. PMID: 26659871
- The potential role of mitochondrial ATPIF1 in coronary heart disease was reviewed. PMID: 28173810
- this study shows that abnormal expression of ATPase inhibitor, mitochondrial isoform 1 precursor(IF1) may relate to the hyperfunction of immune responses and excessive apoptosis of severe aplastic anemia CD34(+) cells PMID: 27086042
- These data suggest that in mammalian neurons mitochondria adapt to respiratory stress by upregulating IF1, which exerts a protective role by coordinating pro-survival cell mitophagy and bioenergetics resilience PMID: 26484591
- Data indicate that oxidative phosphorylation (OXPHOS) is inhibited in the liver of mice expressing human ATPase inhibitory factor 1 (hIF1). PMID: 26595676
- Upon IF1 interaction with the ATP synthase both the synthetic and hydrolytic activities of the engine of oxidative phosphorylation are inhibited. (Review) PMID: 26876430
- PKA phosphorylates the ATPase inhibitory factor 1 and inactivates its capacity to bind and inhibit the mitochondrial H(+)-ATP synthase. PMID: 26387949
- IF1 was overexpressed in bladder cancer; concluded that IF1 may be a novel therapeutic target for bladder cancer PMID: 26381881
- These results indicate that IF1 may serve as a prognostic marker and promotes tumor growth and metastasis in gastric cancer. PMID: 25776485
- interaction of IF1 with the complex either directly, by increasing the catalytic activity of the enzyme, or indirectly, by improving the structure of mitochondrial cristae, can increase the oxidative phosphorylation rate in osteosarcoma cells PMID: 25605724
- Inhibition of ATPIF1 ameliorates complex III blockade in primary hepatocytes, a cell type afflicted in severe mitochondrial disease. PMID: 24685140
- promotes hepatocellular carcinoma angiogenesis and metastasis by up-regulation of Snai1 and VEGF transcription PMID: 25042864
- ATPase inhibitory factor 1 (ATPIF1/IF1) was identified as essential for PARK2 recruitment and mitophagy in cultured cells. PMID: 24005319
- The expression of human ATPase inhibitory factor 1 (hIF1) inhibits the activity of oxidative phosphorylation and mediates the shift of neurons to an enhanced aerobic glycolysis. PMID: 24521670
- IF1 as a new determinant of HDL-C that is inversely associated with CHD PMID: 23794714
- Activation of IF1 degradation acts as the switch that regulates energy metabolism during osteogenic differentiation. PMID: 23722655
- IF1 overexpression is associated with preservation of mitochondrial morphology and ultrastructure, consistent with a central role for IF1 as a determinant of inner membrane architecture and with the role of mitochondrial ultrastructure in the regulation of Cyt c release; data suggest IF1 is an antiapoptotic and potentially tumorigenic factor PMID: 23348567
- the identification of mitochondrial Atpif1 as a regulator of haem synthesis advances our understanding of the mechanisms regulating mitochondrial haem homeostasis and red blood cell development PMID: 23135403
- The mitochondrial ATPase inhibitory factor 1 triggers a reactive oxygen species -mediated retrograde prosurvival and proliferative response. PMID: 22342343
- Findings support that the mitochondrial content of IF1 controls the activity of oxidative phosphorylation mediating the shift of cancer cells to an enhanced aerobic glycolysis. PMID: 20538613
- the ATPIF1 gene is not considered to contribute to a Chinese family affected with benign familial infantile seizures. PMID: 20374090
- The function of ATPase inhibitor protein in the plasma membrane of endothelial cells is probably not limited to regulation of F1F0-ATP synthase catalysis. PMID: 15809073
- IF(1)-Ca(2+)-CaM complex, forming on plasma membrane, functions in the cellular regulation of HDL endocytosis by hepatocytes. PMID: 17851741
顯示更多
收起更多
-
亞細胞定位:Mitochondrion.
-
蛋白家族:ATPase inhibitor family
-
數據庫鏈接:
Most popular with customers
-
-
Phospho-YAP1 (S127) Recombinant Monoclonal Antibody
Applications: ELISA, WB, IHC
Species Reactivity: Human
-
-
-
-
-
-















