ATP6V1B1 Antibody
-
中文名稱:ATP6V1B1兔多克隆抗體
-
貨號:CSB-PA002397ESR1HU
-
規格:¥440
-
圖片:
-
Western blot
All lanes: V-type proton ATPase subunit B, kidney isoform antibody at 7μg/ml
Lane 1: Mouse kidney tissue
Lane 2: 293T whole cell lysate
Secondary
Goat polyclonal to rabbit IgG at 1/10000 dilution
Predicted band size: 57 kDa
Observed band size: 57 kDa -
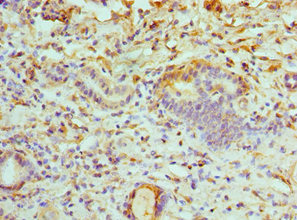
Immunohistochemistry of paraffin-embedded human salivary gland tissue using CSB-PA002397ESR1HU at dilution of 1:100
-
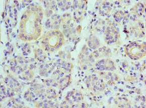
Immunohistochemistry of paraffin-embedded human kidney tissue using CSB-PA002397ESR1HU at dilution of 1:100
-
-
其他:
產品詳情
-
產品名稱:Rabbit anti-Homo sapiens (Human) ATP6V1B1 Polyclonal antibody
-
Uniprot No.:
-
基因名:
-
別名:Atp6b1 antibody; ATP6V1B1 antibody; ATPase; H+ transporting; lysosomal (vacuolar proton pump); beta 56/58 kDa; isoform 1 antibody; ATPase; H+ transporting; lysosomal 56/58kDa; V1 subunit B; isoform 1 antibody; ATPase; H+ transporting; V1 subunit B; isoform 1 antibody; Endomembrane proton pump 58 kDa subunit antibody; H(+) transporting two sector ATPase 58kD subunit antibody; H+ ATPase beta 1 subunit antibody; kidney isoform antibody; Lysosomal 56/58kDa antibody; MGC32642 antibody; RTA1B antibody; V ATPase B1 subunit antibody; V type proton ATPase subunit B kidney isoform antibody; V type proton ATPase subunit B; kidney isoform antibody; V-ATPase subunit B 1 antibody; V-type proton ATPase subunit B antibody; Vacuolar proton pump 3 antibody; Vacuolar proton pump subunit 3 antibody; Vacuolar proton pump subunit B 1 antibody; VATB antibody; VATB1_HUMAN antibody; VMA2 antibody; Vpp 3 antibody; Vpp3 antibody
-
宿主:Rabbit
-
反應種屬:Human, Mouse
-
免疫原:Recombinant Human V-type proton ATPase subunit B, kidney isoform protein (1-280AA)
-
免疫原種屬:Homo sapiens (Human)
-
標記方式:Non-conjugated
-
克隆類型:Polyclonal
-
抗體亞型:IgG
-
純化方式:Antigen Affinity Purified
-
濃度:It differs from different batches. Please contact us to confirm it.
-
保存緩沖液:PBS with 0.02% sodium azide, 50% glycerol, pH7.3.
-
產品提供形式:Liquid
-
應用范圍:ELISA, WB, IHC
-
推薦稀釋比:
Application Recommended Dilution WB 1:500-1:2000 IHC 1:20-1:200 -
Protocols:
-
儲存條件:Upon receipt, store at -20°C or -80°C. Avoid repeated freeze.
-
貨期:Basically, we can dispatch the products out in 1-3 working days after receiving your orders. Delivery time maybe differs from different purchasing way or location, please kindly consult your local distributors for specific delivery time.
-
用途:For Research Use Only. Not for use in diagnostic or therapeutic procedures.
相關產品
靶點詳情
-
功能:Non-catalytic subunit of the V1 complex of vacuolar(H+)-ATPase (V-ATPase), a multisubunit enzyme composed of a peripheral complex (V1) that hydrolyzes ATP and a membrane integral complex (V0) that translocates protons. V-ATPase is responsible for acidifying and maintaining the pH of intracellular compartments and in some cell types, is targeted to the plasma membrane, where it is responsible for acidifying the extracellular environment. Essential for the proper assembly and activity of V-ATPase. In renal intercalated cells, mediates secretion of protons (H+) into the urine thereby ensuring correct urinary acidification. Required for optimal olfactory function by mediating the acidification of the nasal olfactory epithelium.
-
基因功能參考文獻:
- RhCG and H+ATPases are located within the same cellular protein complex in the kidney and this interaction is required for maximal urinary acidification by H+-ATPases, a prerequisite for efficient NH3 secretion and urine excretion of NH4+. PMID: 29054531
- The p. P137S and p. R302W mutations in ATP6V1B1 and p. S473F and p. R807X in ATP6V0A4, were novel disease-causing mutations of distal renal tubular acidosis. PMID: 30230413
- Distal renal acidosis patient carries two novel mutations, one in each of the genes ATP6V0A4 and ATP6V1B1. PMID: 29024829
- A novel c.1169dupC frameshift mutation of ATP6V1B1 gene was identified in one family and the c.1155dupC North African mutation in 2 other families. Both mutations are located in exon 12 of ATP6V1B1 gene in Moroccan patients with recessive form of distal renal tubular acidosis associated with precocious hearing loss. PMID: 27140593
- The aim of this work was to analyze the prevalence of genetic defects in SLC4A1, ATP6V0A4, and ATP6V1B1 genes and to assess the clinical phenotype of distal renal tubular acidosis patients that are eventually typical of the different genetic forms of the disease. PMID: 28233610
- Our data indicate that recurrent stone formers with the vacuolar H(+)-ATPase B1 subunit p.E161K SNP exhibit a urinary acidification deficit with an increased prevalence of calcium phosphate-containing kidney stones PMID: 26453614
- ATP6V1B1 genetic mutations were detected in more than half of the families studied. Mutations in this gene therefore seem to be the most common causative factors in hearing loss associated with distal renal tubular acidosis in these families. PMID: 25498251
- Two founder mutations in the ATP6V1B1 gene were found in 16/27 dRTA cases. PMID: 25285676
- Two probands from different kindreds with mutations in ATP6V1B1 presented early onset profound sensorineural hearing loss PMID: 24975934
- demonstration of renal acidification defects and nephrolithiasis in heterozygous carriers of a mutant B1 subunit that cannot be attributable to negative dominance; propose that heterozygosity may lead to mild real acidification defects due to haploinsufficiency PMID: 25164082
- Rare and family-specific variants in ATP6V1B1 are responsible for distal renal tubular acidosis and sensorineural hearing loss syndrome in Turkey. PMID: 23923981
- Mutations of the ATP6V1B1 gene is associated with primary distal renal tubular acidosis. PMID: 23729491
- Three ATP6V1B1 mutations were observed: one frameshift mutation in exon 12; a G to C single nucleotide substitution, on the acceptor splicing site in intron 2, and one novel missense mutation in exon 11. PMID: 24252324
- Data indicate that direct sequencing of the ATP6V1B1 gene showed one patient harbors two homozygous mutations and the other one is a compound heterozygous. PMID: 22509993
- Only two ATP6V1B1 mutations are found in a Cypriot population with distal renal tubular acidosis. PMID: 20805693
- This study indicated that a significant percentage of the children with DRTA had sensorineural hearing loss and mutation in ATP6V1B1 gene. PMID: 20622307
- two novel mutations of a heterozygous 15 base-pair deletion (c.756_770del) in exon 7 and a heterozygous 1 base-pair insertion (c.1242_1243insC) in exon 12 in distal renal tubular acidosis and hearing loss PMID: 20233014
- Two siblings with distal renal tubular acidosis and sensorineural deafness having mutation in the first coding exon of the ATP6V1B1 gene , resulting in a non functional protein, are reported. The parents were found to be carriers for the mutation. PMID: 19478356
- Here, we describe the molecular findings of the first two Greek Cypriot families with recessive dRTA and the long-term clinical findings in four of five affected members. PMID: 16433694
- This report describes a new mutation in the ATP6V1B1 gene responsible for distal renal tubular acidosis. PMID: 17216496
- A mutation in ATP6V1B1 is associated with enlarged vestibular aqueduct and early onset of sensorial hearing loss. PMID: 19639346
顯示更多
收起更多
-
相關疾病:Renal tubular acidosis, distal, with progressive nerve deafness (dRTA-D)
-
亞細胞定位:Apical cell membrane. Basolateral cell membrane.
-
蛋白家族:ATPase alpha/beta chains family
-
組織特異性:Kidney; localizes to early distal nephron, encompassing thick ascending limbs and distal convoluted tubules (at protein level). Expressed in the cochlea and endolymphatic sac.
-
數據庫鏈接:
Most popular with customers
-
Phospho-YAP1 (S127) Recombinant Monoclonal Antibody
Applications: ELISA, WB, IHC
Species Reactivity: Human
-
-
-
-
-
-
VDAC1 Recombinant Monoclonal Antibody
Applications: ELISA, WB, IHC
Species Reactivity: Human, Mouse, Rat
-
VCP Recombinant Monoclonal Antibody
Applications: ELISA, WB, IHC, IF, IP
Species Reactivity: Human, Rat















