ATP5J Antibody
-
中文名稱:ATP5J兔多克隆抗體
-
貨號:CSB-PA174758
-
規格:¥1100
-
圖片:
-
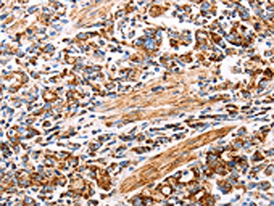
The image on the left is immunohistochemistry of paraffin-embedded Human colon cancer tissue using CSB-PA174758(ATP5J Antibody) at dilution 1/15, on the right is treated with fusion protein. (Original magnification: ×200)
-
The image on the left is immunohistochemistry of paraffin-embedded Human gastric cancer tissue using CSB-PA174758(ATP5J Antibody) at dilution 1/15, on the right is treated with fusion protein. (Original magnification: ×200)
-
Gel: 12%SDS-PAGE, Lysate: 40 μg, Lane 1-4: Human fetal brain tissue, 293T cells, mouse intestinum tenue tissue, lovo cells, Primary antibody: CSB-PA174758(ATP5J Antibody) at dilution 1/300, Secondary antibody: Goat anti rabbit IgG at 1/8000 dilution, Exposure time: 1 minute
-
-
其他:
產品詳情
-
Uniprot No.:
-
基因名:
-
別名:ATP synthase; H+ transporting; mitochondrial F0 complex; subunit F6 antibody; ATP synthase-coupling factor 6; mitochondrial antibody; ATP synthase-coupling factor 6; mitochondrial antibody; ATP5 antibody; ATP5A antibody; ATP5J antibody; ATP5J_HUMAN antibody; ATPase subunit F6 antibody; ATPM antibody; CF6 antibody; F6 antibody
-
宿主:Rabbit
-
反應種屬:Human,Mouse
-
免疫原:Fusion protein of Human ATP5J
-
免疫原種屬:Homo sapiens (Human)
-
標記方式:Non-conjugated
-
抗體亞型:IgG
-
純化方式:Antigen affinity purification
-
濃度:It differs from different batches. Please contact us to confirm it.
-
保存緩沖液:-20°C, pH7.4 PBS, 0.05% NaN3, 40% Glycerol
-
產品提供形式:Liquid
-
應用范圍:ELISA,WB,IHC
-
推薦稀釋比:
Application Recommended Dilution ELISA 1:1000-1:2000 WB 1:200-1:1000 IHC 1:15-1:50 -
Protocols:
-
儲存條件:Upon receipt, store at -20°C or -80°C. Avoid repeated freeze.
-
貨期:Basically, we can dispatch the products out in 1-3 working days after receiving your orders. Delivery time maybe differs from different purchasing way or location, please kindly consult your local distributors for specific delivery time.
-
用途:For Research Use Only. Not for use in diagnostic or therapeutic procedures.
相關產品
靶點詳情
-
功能:Mitochondrial membrane ATP synthase (F(1)F(0) ATP synthase or Complex V) produces ATP from ADP in the presence of a proton gradient across the membrane which is generated by electron transport complexes of the respiratory chain. F-type ATPases consist of two structural domains, F(1) - containing the extramembraneous catalytic core and F(0) - containing the membrane proton channel, linked together by a central stalk and a peripheral stalk. During catalysis, ATP synthesis in the catalytic domain of F(1) is coupled via a rotary mechanism of the central stalk subunits to proton translocation. Part of the complex F(0) domain and the peripheric stalk, which acts as a stator to hold the catalytic alpha(3)beta(3) subcomplex and subunit a/ATP6 static relative to the rotary elements. Also involved in the restoration of oligomycin-sensitive ATPase activity to depleted F1-F0 complexes.
-
基因功能參考文獻:
- AKT2 and XIST expression was identified as a potential biomarker participating in the effect of ATP5J in colorectal cancer PMID: 29484395
- CF6-induced increase in apoptotic cells was blocked by immature or mature IF1, being accompanied by protein kinase B (PKB) phosphorylation. IF1 antagonizes the pro-apoptotic action of CF6 by relief of intracellular acidification and resultant phosphorylation of PKB. PMID: 26659871
- Over-expression of the ATP5J gene correlates with cell migration and 5-fluorouracil sensitivity in colorectal cancer. PMID: 24124598
- CF6 plays a crucial role in the development of insulin resistance and hypertension PMID: 22038518
- The phenotypic range of retinal, peripheral and central nervous system disease expression is characterized in a single family with NARP syndrome from the ATPase 6 m.8993T>C mtDNA point mutation. PMID: 20953793
- coupling factor 6 induces the development of systolic dysfunction and upregulation of nicotinamide adenine dinucleotide phosphate oxidase in the heart under the high-salt diet PMID: 20811295
- CF6 is a novel risk factor for ischemic heart disease in end-stage renal disease. Synergism of this peptide and asymmetric dimethylarginine might contribute to its occurrence presumably by inhibition of prostacyclin and nitric oxide production. PMID: 14633154
- Mutation analysis revealed the T9176C mutation in the mtATPase 6 gene (OMIM 516060) and the mutation load was above 90% in the patients with Leigh syndrome. PMID: 15709156
- Plasma CF6 elevated in patients with acute myocardial infarction. At 3 days, plasma CF6 correlated positively with plasma creatinine kinase peak value and correlated negatively with left ventricular ejection fraction. PMID: 15785006
- T8993G allele causes severe extrapyramidal dysfunction and Leigh disease but there is no correlation between the degree of enzyme deficiency and the severity of the phenotype. PMID: 16532470
- Increased CF6 may be responsible in part for decreased prostacyclin observed in coronary heart disease, in particular after PTCA and stent therapy. Potential risk factor for coronary heart disease. PMID: 17456993
- in vascular endothelial cells both CF6 (coupling factor 6) and Angiotensin II downregulate PECAM-1 (platelet/endothelial cell adhesion molecule) expression via activation of c-Src kinase PMID: 18243211
- Coupling factor 6 enhances Src-mediated responsiveness to angiotensin II in resistance arterioles and cells. PMID: 19106112
顯示更多
收起更多
-
亞細胞定位:Mitochondrion. Mitochondrion inner membrane.
-
蛋白家族:Eukaryotic ATPase subunit F6 family
-
數據庫鏈接:
Most popular with customers
-
-
YWHAB Recombinant Monoclonal Antibody
Applications: ELISA, WB, IHC, IF, FC
Species Reactivity: Human, Mouse, Rat
-
Phospho-YAP1 (S127) Recombinant Monoclonal Antibody
Applications: ELISA, WB, IHC
Species Reactivity: Human
-
-
-
-
-















