ATP5F1D Antibody
-
中文名稱:ATP5F1D兔多克隆抗體
-
貨號:CSB-PA002355HA01HU
-
規格:¥440
-
圖片:
-
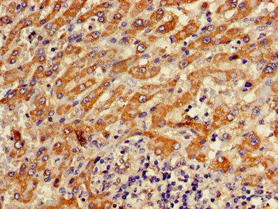
Immunohistochemistry of paraffin-embedded human liver cancer using CSB-PA002355HA01HU at dilution of 1:100
-
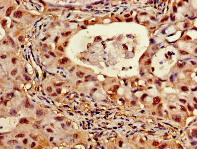
Immunohistochemistry of paraffin-embedded human lung cancer using CSB-PA002355HA01HU at dilution of 1:100
-
Immunofluorescence staining of A549 cells with CSB-PA002355HA01HU at 1:66, counter-stained with DAPI. The cells were fixed in 4% formaldehyde, permeabilized using 0.2% Triton X-100 and blocked in 10% normal Goat Serum. The cells were then incubated with the antibody overnight at 4°C. The secondary antibody was Alexa Fluor 488-congugated AffiniPure Goat Anti-Rabbit IgG(H+L).
-
-
其他:
產品詳情
-
產品名稱:Rabbit anti-Homo sapiens (Human) ATP5D Polyclonal antibody
-
Uniprot No.:
-
基因名:
-
別名:ATP synthase subunit delta; mitochondrial antibody; ATP synthase subunit delta; mitochondrial antibody; ATP synthase; H+ transporting; mitochondrial F1 complex; delta subunit antibody; ATP5D antibody; ATPD_HUMAN antibody; F ATPase delta subunit antibody; F-ATPase delta subunit antibody; Mitochondrial ATP synthase complex delta subunit precusor antibody; Mitochondrial ATP synthase delta subunit antibody
-
宿主:Rabbit
-
反應種屬:Human
-
免疫原:Recombinant Human ATP synthase subunit delta, mitochondrial protein (23-168AA)
-
免疫原種屬:Homo sapiens (Human)
-
標記方式:Non-conjugated
本頁面中的產品,ATP5F1D Antibody (CSB-PA002355HA01HU),的標記方式是Non-conjugated。對于ATP5F1D Antibody,我們還提供其他標記。見下表:
-
克隆類型:Polyclonal
-
抗體亞型:IgG
-
純化方式:>95%, Protein G purified
-
濃度:It differs from different batches. Please contact us to confirm it.
-
保存緩沖液:Preservative: 0.03% Proclin 300
Constituents: 50% Glycerol, 0.01M PBS, PH 7.4 -
產品提供形式:Liquid
-
應用范圍:ELISA, IHC, IF
-
推薦稀釋比:
Application Recommended Dilution IHC 1:20-1:200 IF 1:50-1:200 -
Protocols:
-
儲存條件:Upon receipt, store at -20°C or -80°C. Avoid repeated freeze.
-
貨期:Basically, we can dispatch the products out in 1-3 working days after receiving your orders. Delivery time maybe differs from different purchasing way or location, please kindly consult your local distributors for specific delivery time.
-
用途:For Research Use Only. Not for use in diagnostic or therapeutic procedures.
相關產品
靶點詳情
-
功能:Mitochondrial membrane ATP synthase (F(1)F(0) ATP synthase or Complex V) produces ATP from ADP in the presence of a proton gradient across the membrane which is generated by electron transport complexes of the respiratory chain. F-type ATPases consist of two structural domains, F(1) - containing the extramembraneous catalytic core, and F(0) - containing the membrane proton channel, linked together by a central stalk and a peripheral stalk. During catalysis, ATP turnover in the catalytic domain of F(1) is coupled via a rotary mechanism of the central stalk subunits to proton translocation. Part of the complex F(1) domain and of the central stalk which is part of the complex rotary element. Rotation of the central stalk against the surrounding alpha(3)beta(3) subunits leads to hydrolysis of ATP in three separate catalytic sites on the beta subunits.
-
基因功能參考文獻:
- These data establish c.245C>T (p.Pro82Leu) and c.317T>G (p.Val106Gly) in ATP5F1D as pathogenic variants leading to a Mendelian mitochondrial disease featuring episodic metabolic decompensation. PMID: 29478781
- Immunohistochemical and immunofluorescent double staining of ATP5D and synaptophysin showed that the reduction of ATP5D was most pronounced at synapses in amyotrophic lateral sclerosis PMID: 27899032
-
亞細胞定位:Mitochondrion. Mitochondrion inner membrane.
-
蛋白家族:ATPase epsilon chain family
-
數據庫鏈接:
Most popular with customers
-
-
YWHAB Recombinant Monoclonal Antibody
Applications: ELISA, WB, IHC, IF, FC
Species Reactivity: Human, Mouse, Rat
-
Phospho-YAP1 (S127) Recombinant Monoclonal Antibody
Applications: ELISA, WB, IHC
Species Reactivity: Human
-
-
-
-
-















