ATG9B Antibody
-
中文名稱:ATG9B兔多克隆抗體
-
貨號:CSB-PA721119ESR1HU
-
規格:¥440
-
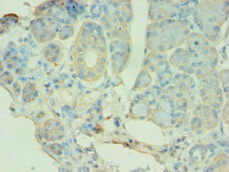
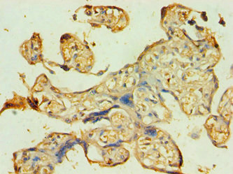
圖片:
-
其他:
產品詳情
-
產品名稱:Rabbit anti-Homo sapiens (Human) ATG9B Polyclonal antibody
-
Uniprot No.:
-
基因名:
-
別名:APG9 like 2 antibody; APG9-like 2 antibody; Apg912 antibody; APG9L2 antibody; Apgdc2 antibody; ATG9 autophagy related 9 homolog B (S. cerevisiae) antibody; Atg9b antibody; ATG9B_HUMAN antibody; Autophagy 9 like 2 protein antibody; Autophagy related protein 9B antibody; Autophagy-related protein 9B antibody; Endothelial nitric oxide synthase antisense antibody; eONE antibody; Gm574 antibody; Nitric oxide synthase 3 antisense antibody; Nitric oxide synthase 3 overlapping antisense gene protein antibody; Nitric oxide synthase 3-overlapping antisense gene protein antibody; NOS3AS antibody; Protein sONE antibody; SONE antibody
-
宿主:Rabbit
-
反應種屬:Human
-
免疫原:Recombinant Human Autophagy-related protein 9B protein (715-924AA)
-
免疫原種屬:Homo sapiens (Human)
-
標記方式:Non-conjugated
-
克隆類型:Polyclonal
-
抗體亞型:IgG
-
純化方式:Antigen Affinity Purified
-
濃度:It differs from different batches. Please contact us to confirm it.
-
保存緩沖液:PBS with 0.02% sodium azide, 50% glycerol, pH7.3.
-
產品提供形式:Liquid
-
應用范圍:ELISA, IHC
-
推薦稀釋比:
Application Recommended Dilution IHC 1:20-1:200 -
Protocols:
-
儲存條件:Upon receipt, store at -20°C or -80°C. Avoid repeated freeze.
-
貨期:Basically, we can dispatch the products out in 1-3 working days after receiving your orders. Delivery time maybe differs from different purchasing way or location, please kindly consult your local distributors for specific delivery time.
-
用途:For Research Use Only. Not for use in diagnostic or therapeutic procedures.
相關產品
靶點詳情
-
功能:Phospholipid scramblase involved in autophagy by mediating autophagosomal membrane expansion. Cycles between the preautophagosomal structure/phagophore assembly site (PAS) and the cytoplasmic vesicle pool and supplies membrane for the growing autophagosome. Lipid scramblase activity plays a key role in preautophagosomal structure/phagophore assembly by distributing the phospholipids that arrive through ATG2 (ATG2A or ATG2B) from the cytoplasmic to the luminal leaflet of the bilayer, thereby driving autophagosomal membrane expansion. In addition to autophagy, also plays a role in necrotic cell death.
-
基因功能參考文獻:
- there is a close relationship between CRP and ATG9B in clear cell renal cell carcinomacarcinogenesis. PMID: 28923830
- This study highlights the transcriptional inactivation mechanisms of ATG2B, ATG4D, ATG9A and ATG9B promoter methylation status and the possible origin of autophagy signal pathway repression in invasive ductal carcinomas. PMID: 27265029
- Observational study of gene-disease association. (HuGE Navigator) PMID: 19913121
- Observational study of gene-disease association, gene-environment interaction, and pharmacogenomic / toxicogenomic. (HuGE Navigator) PMID: 20628086
- Observational study of gene-disease association. (HuGE Navigator) PMID: 19423540
- Observational study of gene-disease association. (HuGE Navigator) PMID: 20406964
- Observational study of gene-disease association and gene-gene interaction. (HuGE Navigator) PMID: 20416077
- Observational study of gene-disease association and gene-gene interaction. (HuGE Navigator) PMID: 20438785
- The role of Atg9 trafficking in yeast and mammalian autophagy, is summarised. PMID: 20083107
- Observational study of gene-disease association, gene-gene interaction, gene-environment interaction, and genetic testing. (HuGE Navigator) PMID: 19948975
- APG9L2 is highly expressed in placenta (trophoblast cells) and pituitary gland of adult tissues. PMID: 15755735
- Observational study of gene-disease association and gene-environment interaction. (HuGE Navigator) PMID: 19423521
- Observational study of gene-disease association. (HuGE Navigator) PMID: 19197948
顯示更多
收起更多
-
亞細胞定位:Preautophagosomal structure membrane; Multi-pass membrane protein.
-
蛋白家族:ATG9 family
-
組織特異性:Highly expressed in placenta (trophoblast cells) and pituitary gland. Not expressed in vascular endothelial.
-
數據庫鏈接:
Most popular with customers
-
-
YWHAB Recombinant Monoclonal Antibody
Applications: ELISA, WB, IHC, IF, FC
Species Reactivity: Human, Mouse, Rat
-
Phospho-YAP1 (S127) Recombinant Monoclonal Antibody
Applications: ELISA, WB, IHC
Species Reactivity: Human
-
-
-
-
-















