ATG4A Antibody
-
中文名稱:ATG4A兔多克隆抗體
-
貨號:CSB-PA547032
-
規格:¥1100
-
圖片:
-
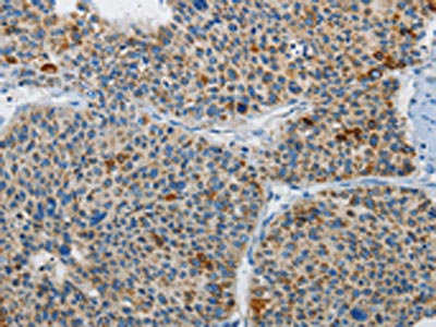
The image on the left is immunohistochemistry of paraffin-embedded Human liver cancer tissue using CSB-PA547032(ATG4A Antibody) at dilution 1/30, on the right is treated with synthetic peptide. (Original magnification: ×200)
-
The image on the left is immunohistochemistry of paraffin-embedded Human brain tissue using CSB-PA547032(ATG4A Antibody) at dilution 1/30, on the right is treated with synthetic peptide. (Original magnification: ×200)
-
Gel: 10%SDS-PAGE, Lysate: 40 μg, Lane 1-2: 231 cells, human liver cancer tissue, Primary antibody: CSB-PA547032(ATG4A Antibody) at dilution 1/300, Secondary antibody: Goat anti rabbit IgG at 1/8000 dilution, Exposure time: 10 minutes
-
-
其他:
產品詳情
-
Uniprot No.:
-
基因名:
-
別名:AI627006 antibody; APG4 autophagy 4 homolog A antibody; Apg4a antibody; ATG4 autophagy related 4 homolog A (S. cerevisiae) antibody; ATG4 autophagy related 4 homolog A antibody; ATG4A antibody; ATG4A_HUMAN antibody; Atg4al antibody; AUT like 2 cysteine endopeptidase antibody; AUT-like 2 cysteine endopeptidase antibody; Autl2 antibody; Autophagin 2 antibody; Autophagin-2 antibody; Autophagy related 4A cysteine peptidase antibody; Autophagy related cysteine endopeptidase 2 antibody; Autophagy related protein 4 homolog A antibody; Autophagy-related cysteine endopeptidase 2 antibody; Autophagy-related protein 4 homolog A antibody; AV169859 antibody; Cysteine protease ATG4A antibody; hAPG4A antibody; MGC107179 antibody
-
宿主:Rabbit
-
反應種屬:Human
-
免疫原:Synthetic peptide of Human ATG4A
-
免疫原種屬:Homo sapiens (Human)
-
標記方式:Non-conjugated
-
抗體亞型:IgG
-
純化方式:Antigen affinity purification
-
濃度:It differs from different batches. Please contact us to confirm it.
-
保存緩沖液:-20°C, pH7.4 PBS, 0.05% NaN3, 40% Glycerol
-
產品提供形式:Liquid
-
應用范圍:ELISA,WB,IHC
-
推薦稀釋比:
Application Recommended Dilution ELISA 1:2000-1:5000 WB 1:200-1:1000 IHC 1:25-1:100 -
Protocols:
-
儲存條件:Upon receipt, store at -20°C or -80°C. Avoid repeated freeze.
-
貨期:Basically, we can dispatch the products out in 1-3 working days after receiving your orders. Delivery time maybe differs from different purchasing way or location, please kindly consult your local distributors for specific delivery time.
-
用途:For Research Use Only. Not for use in diagnostic or therapeutic procedures.
相關產品
靶點詳情
-
功能:Cysteine protease required for the cytoplasm to vacuole transport (Cvt) and autophagy. Cleaves the C-terminal amino acid of ATG8 family proteins to reveal a C-terminal glycine. Exposure of the glycine at the C-terminus is essential for ATG8 proteins conjugation to phosphatidylethanolamine (PE) and insertion to membranes, which is necessary for autophagy. Preferred substrate is GABARAPL2 followed by MAP1LC3A and GABARAP. Has also an activity of delipidating enzyme for the PE-conjugated forms.
-
基因功能參考文獻:
- An intron SNP rs807185 in ATG4A might be a protective factor for lung cancer. PMID: 26061994
- ATG4A promotes the metastasis of gastric cancer cells via the Notch signaling pathway, which is an autophagy-independent mechanism PMID: 27276686
- The structure and regulatory machinery of Atg4a [review] PMID: 28253956
- We conclude that miR-24-3p regulates autophagy by targeting ATG4A PMID: 25426560
- The autophagy regulator ATG4A was found to be essential for the maintenance of a sub-population with cancer stem cell properties and to regulate breast cancer cell tumourigenicity. PMID: 24229464
- The demonstration that expression of ATG4A in cells increased stem properties provided an indication of its biological function. Hypomethylation of ATG4A and HIST1H2BN in ovarian tumor-initiating cells predicts poor prognosis for ovarian cancer patients. PMID: 24256813
- no association between SNP rs807185 and the presence of granulomas in Crohn's disease PMID: 21122541
- statistical analysis of APG4A gene confirmed the characterisation of each protein-coding gene present in human genome Xq22.1 PMID: 21297227
- Atg4B possessed the broadest spectrum against all substrates, followed by Atg4A for ATG8 substrates PMID: 21177865
- HsApg4A cleaves the COOH terminus of GATE-16 PMID: 12473658
- The cysteine protease HsAtg4 is identified as a direct target for oxidation by hydrogen peroxide, and a cysteine residue located near the HsAtg4 catalytic site as critical for this regulation. PMID: 17347651
顯示更多
收起更多
-
亞細胞定位:Cytoplasm.
-
蛋白家族:Peptidase C54 family
-
數據庫鏈接:
Most popular with customers
-
-
YWHAB Recombinant Monoclonal Antibody
Applications: ELISA, WB, IHC, IF, FC
Species Reactivity: Human, Mouse, Rat
-
Phospho-YAP1 (S127) Recombinant Monoclonal Antibody
Applications: ELISA, WB, IHC
Species Reactivity: Human
-
-
-
-
-















