ATG3 Antibody
-
中文名稱:ATG3兔多克隆抗體
-
貨號:CSB-PA002288HA01HU
-
規格:¥440
-
圖片:
-
Western Blot
Positive WB detected in: K562 whole cell lysate, Hela whole cell lysate, Jurkat whole cell lysate, PC-3 whole cell lysate
All lanes: ATG3 antibody at 4µg/ml
Secondary
Goat polyclonal to rabbit IgG at 1/50000 dilution
Predicted band size: 36 kDa
Observed band size: 36 kDa -
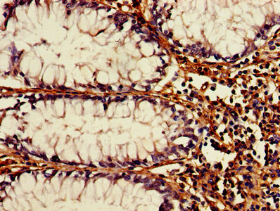
IHC image of CSB-PA002288HA01HU diluted at 1:1200 and staining in paraffin-embedded human colon cancer performed on a Leica BondTM system. After dewaxing and hydration, antigen retrieval was mediated by high pressure in a citrate buffer (pH 6.0). Section was blocked with 10% normal goat serum 30min at RT. Then primary antibody (1% BSA) was incubated at 4°C overnight. The primary is detected by a biotinylated secondary antibody and visualized using an HRP conjugated SP system.
-
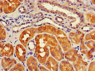
IHC image of CSB-PA002288HA01HU diluted at 1:1200 and staining in paraffin-embedded human kidney tissue performed on a Leica BondTM system. After dewaxing and hydration, antigen retrieval was mediated by high pressure in a citrate buffer (pH 6.0). Section was blocked with 10% normal goat serum 30min at RT. Then primary antibody (1% BSA) was incubated at 4°C overnight. The primary is detected by a biotinylated secondary antibody and visualized using an HRP conjugated SP system.
-
Immunofluorescence staining of Hela cells with CSB-PA002288HA01HU at 1:400, counter-stained with DAPI. The cells were fixed in 4% formaldehyde, permeabilized using 0.2% Triton X-100 and blocked in 10% normal Goat Serum. The cells were then incubated with the antibody overnight at 4°C. The secondary antibody was Alexa Fluor 488-congugated AffiniPure Goat Anti-Rabbit IgG(H+L).
-
-
其他:
產品詳情
-
產品名稱:Rabbit anti-Homo sapiens (Human) ATG3 Polyclonal antibody
-
Uniprot No.:
-
基因名:
-
別名:2610016C12Rik antibody; Apg 3 antibody; APG3 antibody; APG3 autophagy 3 like antibody; APG3 like antibody; APG3, S. cerevisiae, homolog of antibody; APG3-like antibody; APG3L antibody; Apg3p antibody; ATG 3 antibody; ATG3 antibody; ATG3 autophagy related 3 homolog antibody; ATG3 autophagy related 3 homolog (S. cerevisiae) antibody; ATG3_HUMAN antibody; Autophagy 3, S. cerevisiae, homolog of antibody; Autophagy Apg3p/Aut1p like antibody; autophagy related 3 antibody; Autophagy related protein 3 antibody; Autophagy-related protein 3 antibody; DKFZp564M1178 antibody; FLJ22125 antibody; hApg3 antibody; MGC15201 antibody; OTTHUMP00000214547 antibody; OTTHUMP00000214548 antibody; PC3 96 antibody; Protein PC3-96 antibody; Ubiquitin-like-conjugating enzyme ATG3 antibody
-
宿主:Rabbit
-
反應種屬:Human
-
免疫原:Recombinant Human Ubiquitin-like-conjugating enzyme ATG3 protein (1-314AA)
-
免疫原種屬:Homo sapiens (Human)
-
標記方式:Non-conjugated
本頁面中的產品,ATG3 Antibody (CSB-PA002288HA01HU),的標記方式是Non-conjugated。對于ATG3 Antibody,我們還提供其他標記。見下表:
-
克隆類型:Polyclonal
-
抗體亞型:IgG
-
純化方式:>95%, Protein G purified
-
濃度:It differs from different batches. Please contact us to confirm it.
-
保存緩沖液:Preservative: 0.03% Proclin 300
Constituents: 50% Glycerol, 0.01M PBS, PH 7.4 -
產品提供形式:Liquid
-
應用范圍:ELISA, WB, IHC, IF
-
推薦稀釋比:
Application Recommended Dilution WB 1:500-1:5000 IHC 1:1000-1:2000 IF 1:200-1:500 -
Protocols:
-
儲存條件:Upon receipt, store at -20°C or -80°C. Avoid repeated freeze.
-
貨期:Basically, we can dispatch the products out in 1-3 working days after receiving your orders. Delivery time maybe differs from different purchasing way or location, please kindly consult your local distributors for specific delivery time.
-
用途:For Research Use Only. Not for use in diagnostic or therapeutic procedures.
相關產品
靶點詳情
-
功能:E2 conjugating enzyme required for the cytoplasm to vacuole transport (Cvt), autophagy, and mitochondrial homeostasis. Responsible for the E2-like covalent binding of phosphatidylethanolamine to the C-terminal Gly of ATG8-like proteins (GABARAP, GABARAPL1, GABARAPL2 or MAP1LC3A). The ATG12-ATG5 conjugate plays a role of an E3 and promotes the transfer of ATG8-like proteins from ATG3 to phosphatidylethanolamine (PE). This step is required for the membrane association of ATG8-like proteins. The formation of the ATG8-phosphatidylethanolamine conjugates is essential for autophagy and for the cytoplasm to vacuole transport (Cvt). Preferred substrate is MAP1LC3A. Also acts as an autocatalytic E2-like enzyme, catalyzing the conjugation of ATG12 to itself, ATG12 conjugation to ATG3 playing a role in mitochondrial homeostasis but not in autophagy. ATG7 (E1-like enzyme) facilitates this reaction by forming an E1-E2 complex with ATG3. Promotes primary ciliogenesis by removing OFD1 from centriolar satellites via the autophagic pathway.
-
基因功能參考文獻:
- ATG3 was targeted by miR-23a, suggesting that ATG3 is an autophagy-related competing endogenous RNA. PMID: 30007957
- Results revealed that miR-16 was significantly downregulated, and ATG3 was significantly upregulated in non-small cell lung carcinoma (NSCLC) patient tissue samples. ATG3 was found to be a direct target of miR-16. PMID: 29138833
- miR-155 silencing rescued autophagosome number in Mycobacterium tuberculosis infected dendritic cells and enhanced autolysosome fusion, thereby supporting a previously unidentified role of the miR-155 as inhibitor of ATG3 expression. PMID: 29300789
- PTK2 inhibition-induced sustained levels of ATG3 were able to sensitize cancer cells to DNA-damaging agents. PMID: 28103122
- Our data demonstrate that HOTAIR promotes the activation of autophagy in HCC cells by upregulating the expression of the autophagy-related genes ATG3 and ATG7. PMID: 27301338
- ATG3 upregulation contributes to autophagy induced by the detachment of intestinal epithelial cells from the extracellular matrix, but promotes autophagy-independent apoptosis of the attached cells PMID: 26061804
- Hidden Markov models were used to detect protein homology among the flexible regions of Atg3 homologs and importance of conserved regions evaluated by performing affinity capture experiments with human Atg3 deletion constructs; binding studies and competition experiments demonstrate that overlapping sites in the Atg3FR are important for E3 binding and E1 binding. PMID: 24186333
- The region of human ATG3 that interacts with ATG7 is precisely identified using nuclear magnetic resonance. PMID: 26043688
- ATG3 gene and its gene family may play an important role in transformation of myelodysplastic syndrome. PMID: 24420857
- Lipidation of the LC3/GABARAP family of autophagy proteins relies on a membrane-curvature-sensing domain in Atg3. PMID: 24747438
- 13 residues of the ATG3 fragment form a short beta-strand followed by an alpha-helix on a surface area that is an exclusive binding site for ATG12. PMID: 24191030
- caspase-8 overexpression led to Atg3 degradation and this event depended on caspase-8 enzymatic activity PMID: 22644571
- These results unveil a role for ATG12-ATG3 in mitochondrial homeostasis and implicate the ATG12 conjugation system in cellular functions distinct from the early steps of autophagosome formation. PMID: 20723759
- Human Apg3p/Aut1p homologue is an authentic E2 enzyme for multiple substrates, GATE-16, GABARAP, and MAP-LC3, and facilitates the conjugation of hApg12p to hApg5p PMID: 11825910
- Murine Atg8L/Apg8L modification is mediated by human Atg3. PMID: 16704426
顯示更多
收起更多
-
亞細胞定位:Cytoplasm.
-
蛋白家族:ATG3 family
-
組織特異性:Widely expressed, with a highest expression in heart, skeletal muscle, kidney, liver and placenta.
-
數據庫鏈接:
Most popular with customers
-
-
Phospho-YAP1 (S127) Recombinant Monoclonal Antibody
Applications: ELISA, WB, IHC
Species Reactivity: Human
-
-
-
-
-
-















