ATG12 Antibody
-
中文名稱:ATG12兔多克隆抗體
-
貨號:CSB-PA065886
-
規格:¥1100
-
圖片:
-
The image on the left is immunohistochemistry of paraffin-embedded Human gastic cancer tissue using CSB-PA065886(ATG12 Antibody) at dilution 1/40, on the right is treated with fusion protein. (Original magnification: ×200)
-
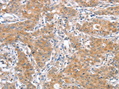
The image on the left is immunohistochemistry of paraffin-embedded Human liver cancer tissue using CSB-PA065886(ATG12 Antibody) at dilution 1/40, on the right is treated with fusion protein. (Original magnification: ×200)
-
-
其他:
產品詳情
-
Uniprot No.:
-
基因名:
-
別名:Apg12 antibody; APG12-like antibody; APG12L antibody; ATG12 antibody; ATG12 autophagy related 12 homolog (S. cerevisiae) antibody; ATG12 autophagy related 12 homolog antibody; ATG12_HUMAN antibody; Autophagy 12 antibody; Autophagy-related protein 12 antibody; FBR93 antibody; HAPG12 antibody; Ubiquitin-like protein ATG12 antibody
-
宿主:Rabbit
-
反應種屬:Human
-
免疫原:Fusion protein of Human ATG12
-
免疫原種屬:Homo sapiens (Human)
-
標記方式:Non-conjugated
-
抗體亞型:IgG
-
純化方式:Antigen affinity purification
-
濃度:It differs from different batches. Please contact us to confirm it.
-
保存緩沖液:-20°C, pH7.4 PBS, 0.05% NaN3, 40% Glycerol
-
產品提供形式:Liquid
-
應用范圍:ELISA,IHC
-
推薦稀釋比:
Application Recommended Dilution ELISA 1:2000-1:5000 IHC 1:50-1:200 -
Protocols:
-
儲存條件:Upon receipt, store at -20°C or -80°C. Avoid repeated freeze.
-
貨期:Basically, we can dispatch the products out in 1-3 working days after receiving your orders. Delivery time maybe differs from different purchasing way or location, please kindly consult your local distributors for specific delivery time.
-
用途:For Research Use Only. Not for use in diagnostic or therapeutic procedures.
相關產品
靶點詳情
-
功能:Ubiquitin-like protein involved in autophagy vesicles formation. Conjugation with ATG5 through a ubiquitin-like conjugating system involving also ATG7 as an E1-like activating enzyme and ATG10 as an E2-like conjugating enzyme, is essential for its function. The ATG12-ATG5 conjugate acts as an E3-like enzyme which is required for lipidation of ATG8 family proteins and their association to the vesicle membranes.; (Microbial infection) May act as a proviral factor. In association with ATG5, negatively regulates the innate antiviral immune response by impairing the type I IFN production pathway upon vesicular stomatitis virus (VSV) infection. Required for the translation of incoming hepatitis C virus (HCV) RNA and, thereby, for the initiation of HCV replication, but not required once infection is established.
-
基因功能參考文獻:
- miR-23a downregulation modulates the inflammatory response by targeting ATG12-mediated autophagy. PMID: 29845275
- the role of the autophagy elongation complex (ATG5-12/16L1) in Hepatitis C virus replication and membranous web formation, was examined. PMID: 28067309
- Ambra1 plays an important role in regulating the sensitivity of breast cancer cells to epirubicin. Regulatory effect of Ambra1 on epirubicin sensitivity is achieved through the regulation of autophagy by targeting ATG12. PMID: 30027574
- The finding that miR378 targets ATG12 indicated that miR378 may have a potential role in autophagy. These findings may provide novel insights into the mechanism of metastasis in cervical cancer and a novel therapeutic target for the treatment of cervical cancer. PMID: 29488616
- Results show that ATG12 is a downstream effector in MALAT1-mediated autophagy in gastric cancer cells. PMID: 29162158
- HBV gained access to Atg5-12/16L1 via interaction of its core protein with the Atg12 moiety of the complex. In contrast, subsequent autophagosome maturation and closure events were unnecessary for HBV replication, as evidenced by inhibition of Atg8/LC3 conjugation. Interfering with the HBV/Atg12 cross talk may be a tool for virus control. PMID: 29367244
- transcriptional activity of ATG12 gene promoter was not significantly affected by other two DNA sequence variants identified in Parkinson's disease patient PMID: 28229934
- STAT3 and ATG12 are targets of miR-454-3p. PMID: 28182000
- above findings suggest that ATG5-ATG12 positively regulate anti-viral NF-kappaB and IRF3 signaling during FMDV infection, thereby limiting FMDV proliferation. FMDV has evolved mechanisms to counteract the antiviral function of ATG5-ATG12, via degradation of them by viral protein 3C(pro). PMID: 28102839
- rs26538 was relevant to the lower risk of coal workers' pneumoconiosis and conferred to reduce the transcription activity of ATG12's promoter. PMID: 28844669
- ATG5-ATG12 is increased in hepatitis B virus-associated hepatocellular carcinoma and has a role in apoptosis PMID: 27729742
- Analysis of hepatitis B virus capsid maturation steps revealed that Rab33B and Atg5/12/16L1 are required for proper particle assembly and/or stability. PMID: 25439980
- reveal a novel interconnection between autophagy, proteasome activity, and cell death mediated by the ubiquitin-like properties of ATG12 PMID: 25629932
- The results revealed that the expression of Atg12 and LC3 II/LC3 I in the chondrocytes treated with TXC increased, compared to that in the untreated chondrocytes PMID: 24899049
- Cav-1 competitively interacts with the ATG12-ATG5 system to suppress the formation and function of the latter in lung epithelial cells. PMID: 24727585
- ATG12 is a novel determinant of breast cancer primary resistance to HER1/2-targeted therapeutics. PMID: 23307622
- study to identify role of conjugation between ATG12 and ATG5 in LC3 lipidation; structural and mutational analyses of ATG12~ATG5-ATG16N revealed the conjugation generates a patch across ATG12 and ATG5 required for E3 activity PMID: 23202584
- These data relate LC3B, ATG5 and ATG12 to mitochondrial quality control after oxidative damage, and to cellular longevity. PMID: 22170153
- The Atg12 is as a positive mediator of mitochondrial apoptosis and show that Atg12 directly regulates the apoptotic pathway by binding and inactivating prosurvival Bcl-2 family members, including Bcl-2 and Mcl-1. PMID: 22152474
- Calpain1 plays an important role in controlling the levels of autophagy in normal living cells by regulating the levels of a key signaling molecule, ATG12-ATG5 conjugate. PMID: 19901552
- Human Apg3p/Aut1p homologue is an authentic E2 enzyme for multiple substrates, GATE-16, GABARAP, and MAP-LC3, and facilitates the conjugation of hApg12p to hApg5p PMID: 11825910
- Apg12p, but not the Apg12p.Apg5p conjugate, facilitates LC3 processing PMID: 12207896
- Mitochondrial DNA deletions and chloramphenicol treatment stimulate APG12. PMID: 17457038
- Knockdown of p300 reduces acetylation of Atg5, Atg7, Atg8, and Atg12, although overexpressed p300 increases the acetylation of these same proteins. PMID: 19124466
顯示更多
收起更多
-
亞細胞定位:Cytoplasm. Preautophagosomal structure membrane; Peripheral membrane protein. Note=TECPR1 recruits the ATG12-ATG5 conjugate to the autolysosomal membrane.
-
蛋白家族:ATG12 family
-
組織特異性:Ubiquitous.
-
數據庫鏈接:
Most popular with customers
-
-
YWHAB Recombinant Monoclonal Antibody
Applications: ELISA, WB, IHC, IF, FC
Species Reactivity: Human, Mouse, Rat
-
Phospho-YAP1 (S127) Recombinant Monoclonal Antibody
Applications: ELISA, WB, IHC
Species Reactivity: Human
-
-
-
-
-















