ATF5 Antibody
-
中文名稱:ATF5兔多克隆抗體
-
貨號:CSB-PA002276LA01HU
-
規格:¥440
-
圖片:
-
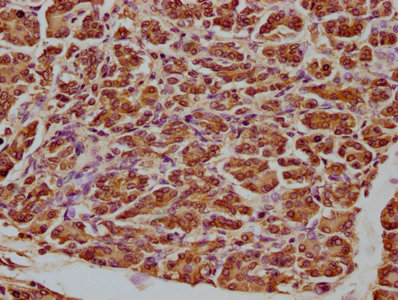
IHC image of CSB-PA002276LA01HU diluted at 1:100 and staining in paraffin-embedded human pancreatic tissue performed on a Leica BondTM system. After dewaxing and hydration, antigen retrieval was mediated by high pressure in a citrate buffer (pH 6.0). Section was blocked with 10% normal goat serum 30min at RT. Then primary antibody (1% BSA) was incubated at 4°C overnight. The primary is detected by a biotinylated secondary antibody and visualized using an HRP conjugated SP system.
-
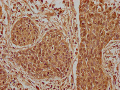
IHC image of CSB-PA002276LA01HU diluted at 1:100 and staining in paraffin-embedded human cervical cancer performed on a Leica BondTM system. After dewaxing and hydration, antigen retrieval was mediated by high pressure in a citrate buffer (pH 6.0). Section was blocked with 10% normal goat serum 30min at RT. Then primary antibody (1% BSA) was incubated at 4°C overnight. The primary is detected by a biotinylated secondary antibody and visualized using an HRP conjugated SP system.
-
-
其他:
產品詳情
-
產品名稱:Rabbit anti-Homo sapiens (Human) ATF5 Polyclonal antibody
-
Uniprot No.:
-
基因名:ATF5
-
別名:ATF5 antibody; ATFXCyclic AMP-dependent transcription factor ATF-5 antibody; cAMP-dependent transcription factor ATF-5 antibody; Activating transcription factor 5 antibody; Transcription factor ATFx antibody
-
宿主:Rabbit
-
反應種屬:Human
-
免疫原:Recombinant Human Cyclic AMP-dependent transcription factor ATF-5 protein (1-282AA)
-
免疫原種屬:Homo sapiens (Human)
-
標記方式:Non-conjugated
本頁面中的產品,ATF5 Antibody (CSB-PA002276LA01HU),的標記方式是Non-conjugated。對于ATF5 Antibody,我們還提供其他標記。見下表:
-
克隆類型:Polyclonal
-
抗體亞型:IgG
-
純化方式:Antigen Affinity Purified
-
濃度:It differs from different batches. Please contact us to confirm it.
-
保存緩沖液:Preservative: 0.03% Proclin 300
Constituents: 50% Glycerol, 0.01M PBS, pH 7.4 -
產品提供形式:Liquid
-
應用范圍:ELISA, IHC
-
推薦稀釋比:
Application Recommended Dilution IHC 1:20-1:200 -
Protocols:
-
儲存條件:Upon receipt, store at -20°C or -80°C. Avoid repeated freeze.
-
貨期:Basically, we can dispatch the products out in 1-3 working days after receiving your orders. Delivery time maybe differs from different purchasing way or location, please kindly consult your local distributors for specific delivery time.
-
用途:For Research Use Only. Not for use in diagnostic or therapeutic procedures.
相關產品
靶點詳情
-
功能:Transcription factor that either stimulates or represses gene transcription through binding of different DNA regulatory elements such as cAMP response element (CRE) (consensus: 5'-GTGACGT[AC][AG]-3'), ATF5-specific response element (ARE) (consensus: 5'-C[CT]TCT[CT]CCTT[AT]-3') but also the amino acid response element (AARE), present in many viral and cellular promoters. Critically involved, often in a cell type-dependent manner, in cell survival, proliferation, and differentiation. Its transcriptional activity is enhanced by CCND3 and slightly inhibited by CDK4. Important regulator of the cerebral cortex formation, functions in cerebral cortical neuroprogenitor cells to maintain proliferation and to block differentiation into neurons. Must be down-regulated in order for such cells to exit the cycle and differentiate. Participates in the pathways by which SHH promotes cerebellar granule neuron progenitor cells proliferation. Critical for survival of mature olfactory sensory neurons (OSN), directs expression of OSN-specific genes. May be involved in osteogenic differentiation. Promotes cell proliferation and survival by inducing the expression of EGR1 sinergistically with ELK1. Once acetylated by EP300, binds to ARE sequences on target genes promoters, such as BCL2 and EGR1. Plays an anti-apoptotic role through the transcriptional regulation of BCL2, this function seems to be cell type-dependent. Cooperates with NR1I3/CAR in the transcriptional activation of CYP2B6 in liver. In hepatic cells, represses CRE-dependent transcription and inhibits proliferation by blocking at G2/M phase. May act as a negative regulator of IL1B transduction pathway in liver. Upon IL1B stimulus, cooperates with NLK to activate the transactivation activity of C/EBP subfamily members. Besides its function of transcription factor, acts as a cofactor of CEBPB to activate CEBPA and promote adipocyte differentiation. Regulates centrosome dynamics in a cell-cycle- and centriole-age-dependent manner. Forms 9-foci symmetrical ring scaffold around the mother centriole to control centrosome function and the interaction between centrioles and pericentriolar material.
-
基因功能參考文獻:
- Data suggest that ATF5 is modified by SUMO2/3 at a conserved SUMO-targeting consensus site; this SUMOylation of ATF5 appears to be required for transport of ATF5 to centrosome. (ATF5 = activating transcription factor-5; SUMO = small ubiquitin-like modifier) PMID: 29326161
- Study reports that reduced levels of ATF5 in brain of Huntington's disease patients, probably due to its sequestration into the characteristic PolyQ containing neuronal inclusion bodies, correlates with decreased levels of the antiapoptotic protein MCL1, a transcriptional target of ATF5. Also provides evidence of decreased ATF5 being deleterious by rendering neurons more vulnerable to polyQ-induced apoptosis. PMID: 28861715
- ATF5 expression can rescue UPR(mt) signaling in atfs-1-deficient worms requiring the same UPR(mt) promoter element identified in C. elegans. Furthermore, mammalian cells require ATF5 to maintain mitochondrial activity during mitochondrial stress and promote organelle recovery. Combined, these data suggest that regulation of the UPR(mt) is conserved from worms to mammals. PMID: 27426517
- Our results suggest that ATF5 promotes invasion by inducing the expression of integrin-alpha2 and integrin-beta1 in several human cancer cell lines. PMID: 27125458
- This study provides the first evidence that the methylation level of ATF5 decreased, and its mRNA expression was evidently up-regulated in glioma. PMID: 26365117
- These results suggest that the hepatic functions of the human iPS-HLCs could be enhanced by ATF5, c/EBPalpha, and PROX1 transduction. PMID: 26679606
- Activating transcription factor 5 enhances radioresistance and malignancy in cancer. PMID: 25682872
- Data show that ATF5 is an essential structural protein that is required for the interaction between the mother centriole and the pericentriolar material. PMID: 26213385
- Low expression level of ATF5 in hepatocellular carcinoma indicated aggressive tumor behavior and predicted a worse clinical outcome. PMID: 25294425
- Report a global loss of 5hmC identified three new genes (ECM1, ATF5, and EOMES) with potential anti-cancer functions that may promote the understanding of the molecular mechanisms of hepatocellular carcinoma development and progression. PMID: 25517360
- the TAK1-NLK pathway is a novel regulator of basal or IL-1beta-triggered C/EBP activation though stabilization of ATF5 PMID: 25512613
- ATF5 promotes the proliferation of HSV-1 via a potential mechanism by which ATF5 enhances the transcription of viral genes during the course of an HSV-1 infection PMID: 24302293
- N-terminal hydrophobic amino acids play an important role in the regulation of ATF5 protein expression in IL-1beta-mediated immune response and that ATF5 is a negative regulator for IL-1beta-induced expression of SAA1 and SAA2 in HepG2 cells. PMID: 24379400
- The 5'-untranslated region regulates ATF5 mRNA stability via nonsense-mediated mRNA decay in response to environmental stress. PMID: 23876217
- demonstrated that interference with the function of ATF5 could markedly increase the apoptosis of ovarian cancer cells and identified B-cell leukemia lymphoma-2 as an ATF5-targeted apoptosis-related gene PMID: 23018213
- The evidence suggests a role for ATF5 in the regulation of osteogenic differentiation in adipose-derived stem cells. PMID: 22442021
- a mechanistic link between elevated NPM1 expression and depressed ATF5 in HCC and suggests that regulation of ATF5 by NPM1 plays an important role in the proliferation and survival of HCC. PMID: 22528486
- ATF5 polymorphisms influence ATF function and response to treatment in children with childhood acute lymphoblastic leukemia. PMID: 21972289
- coordinated actions by ATF5, p300, Elk-1, and ERK/mitogen-activated protein kinase are essential for ATF5-dependent Egr-1 activation and cell proliferation and survival PMID: 21791614
- an essential role for HSP70 in maintaining high levels of ATF5 expression in glioma cells and support the conclusion that ATF5 is an important substrate protein of HSP70 that mediates HSP70-promoted cell survival in glioma cells. PMID: 21521685
- BCL-2 is an essential mediator for the cancer-specific cell survival function of ATF5 in glioblastoma and breast cancer cells PMID: 21212266
- our studies not only provided molecular basis of ATF5 transcriptional regulation, but also identified ATF5 as a target gene of EBF1 transcription factor. PMID: 20423929
- activating transcription factor 5 (ATF5) is a new interacting partner of cyclin D3 PMID: 15358120
- recruitment of ATFx to the HTLV-1 LTR serves to link viral transcription with critical events in cellular homeostasis PMID: 15890932
- Overexpression of the bZIP protein ATF5, a transcriptional activator, stimulates asparagine synthetase promoter/reporter gene transcription via the nutrient-sensing response unit. PMID: 16164412
- The widespread expression of ATF5 in glioblastomas PMID: 16170340
- ATF5 increases cisplatin-induced apoptosis through up-regulation of Cyclin D3 transcription, which elicits survival signals in HeLa cells PMID: 16300731
- Contribution of common variations of ATF4 and ATF5 to the pathophysiology of bipolar disorder may be minimal if any. PMID: 17346882
- translation of ATF5 is regulated by the alternative 5'-UTR region of its mRNA, and ATF5 may play a role in protecting cells from amino acid limitation or arsenite-induced oxidative stress PMID: 18055463
- ATF4 contributes to basal ATF5 transcription, and eIF2 kinases direct the translational expression of multiple transcription regulators by a mechanism involving delayed translation reinitiation PMID: 18195013
- ATF5 is abundant in the liver, activates CYP2B6, and cooperates with the constitutive androstane receptor in sustaining the hepatic-specific expression of this P450 in human hepatocytes and hepatoma cells. PMID: 18332083
- cisplatin increased ATF5 protein expression via preventing its ubiquitin-dependent degradation, which might be associated with its promoting the nucleus-to-cytoplasm translocation of E2 ubiquitin-conjugating enzyme Cdc34 PMID: 18458088
- Loss of ATF5 is associated with hepatocellular carcinoma PMID: 18701499
- The down-regulation of the SAP gene by ATF5 may represent a common mechanism for the pathogenesis of Hemophagocytic syndrome that is associated with either Epstein-Barr virus infection or immune disorders with dysregulated T-cell activation. PMID: 18832568
- These results indicate that ATF5 is targeted for degradation by the ubiquitin-proteasome pathway, and that cadmium slows the rate of ATF5 degradation via a post-ubiquitination mechanism. PMID: 19285020
- Identified a novel ATF5 consensus DNA binding sequence. Demonstrate in C6 glioma and MCF-7 breast cancer cells that ATF5 occupies this sequence and that ATF5 activates reporter gene expression driven by this site. PMID: 19531563
顯示更多
收起更多
-
亞細胞定位:Cytoplasm. Nucleus. Cytoplasm, cytoskeleton, microtubule organizing center, centrosome.
-
蛋白家族:BZIP family
-
組織特異性:Widely expressed with higher expression levels in liver.
-
數據庫鏈接:
Most popular with customers
-
YWHAB Recombinant Monoclonal Antibody
Applications: ELISA, WB, IHC, IF, FC
Species Reactivity: Human, Mouse, Rat
-
Phospho-YAP1 (S127) Recombinant Monoclonal Antibody
Applications: ELISA, WB, IHC
Species Reactivity: Human
-
-
-
-
-
-















