ATAD3B Antibody
-
中文名稱:ATAD3B兔多克隆抗體
-
貨號:CSB-PA713133ESR1HU
-
規格:¥440
-
圖片:
-
Western blot
All lanes: ATAD3B antibody at 2μg/ml
Lane 1: Jurkat whole cell lysate
Lane 2: Hela whole cell lysate
Secondary
Goat polyclonal to rabbit IgG at 1/10000 dilution
Predicted band size: 73, 20, 68 kDa
Observed band size: 73 kDa -
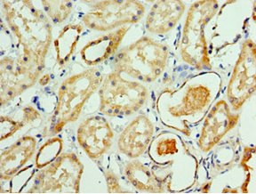
Immunohistochemistry of paraffin-embedded human kidney tissue using CSB-PA713133ESR1HU at dilution of 1:100
-
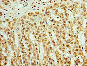
Immunohistochemistry of paraffin-embedded human adrenal gland tissue using CSB-PA713133ESR1HU at dilution of 1:100
-
Immunofluorescent analysis of PC-3 cells using CSB-PA713133ESR1HU at dilution of 1:100 and Alexa Fluor 488-congugated AffiniPure Goat Anti-Rabbit IgG(H+L)
-
-
其他:
產品詳情
-
產品名稱:Rabbit anti-Homo sapiens (Human) ATAD3B Polyclonal antibody
-
Uniprot No.:
-
基因名:ATAD3B
-
別名:ATAD3B antibody; KIAA1273 antibody; TOB3 antibody; ATPase family AAA domain-containing protein 3B antibody; AAA-TOB3 antibody
-
宿主:Rabbit
-
反應種屬:Human
-
免疫原:Recombinant Human ATPase family AAA domain-containing protein 3B protein (1-240AA)
-
免疫原種屬:Homo sapiens (Human)
-
標記方式:Non-conjugated
-
克隆類型:Polyclonal
-
抗體亞型:IgG
-
純化方式:Antigen Affinity Purified
-
濃度:It differs from different batches. Please contact us to confirm it.
-
保存緩沖液:PBS with 0.02% sodium azide, 50% glycerol, pH7.3.
-
產品提供形式:Liquid
-
應用范圍:ELISA, WB, IHC, IF
-
推薦稀釋比:
Application Recommended Dilution WB 1:500-1:5000 IHC 1:20-1:200 IF 1:50-1:200 -
Protocols:
-
儲存條件:Upon receipt, store at -20°C or -80°C. Avoid repeated freeze.
-
貨期:Basically, we can dispatch the products out in 1-3 working days after receiving your orders. Delivery time maybe differs from different purchasing way or location, please kindly consult your local distributors for specific delivery time.
-
用途:For Research Use Only. Not for use in diagnostic or therapeutic procedures.
相關產品
靶點詳情
-
功能:May play a role in a mitochondrial network organization typical for stem cells, characterized by reduced mitochondrial metabolism, low mtDNA copies and fragmentated mitochondrial network. may act by suppressing ATAD3A function, interfering with ATAD3A interaction with matrix nucleoid complexes.
-
基因功能參考文獻:
- AAA-TOB3 was highly expressed in lung adenocarcinoma, and the up-regulation of AAA-TOB3 correlated with lymph node metastasis and advanced stage of lung adenocarcinoma. PMID: 28623644
- ATAD3B region deletions cause cerebellar dysfunction associated with altered mitochondrial DNA and cholesterol metabolism. PMID: 28549128
- results indicated the ATAD3B gene, which does not have ERalpha binding site within 20 kb of its TSS, to be significantly associated with poor patient survival. PMID: 23818839
- These results demonstrate the potential for ATAD 3B as a putative marker in discriminating astrocytomas from oligodendrogliomas. PMID: 18639545
-
亞細胞定位:Mitochondrion inner membrane; Peripheral membrane protein.
-
蛋白家族:AAA ATPase family
-
組織特異性:Tends to be down-regulated in differentiated cells and re-expressed in pluripotent stem cells or cancer cells (at protein level).
-
數據庫鏈接:
Most popular with customers
-
YWHAB Recombinant Monoclonal Antibody
Applications: ELISA, WB, IHC, IF, FC
Species Reactivity: Human, Mouse, Rat
-
Phospho-YAP1 (S127) Recombinant Monoclonal Antibody
Applications: ELISA, WB, IHC
Species Reactivity: Human
-
-
-
-
-
-















