ASL Antibody
-
中文名稱:ASL兔多克隆抗體
-
貨號:CSB-PA883226
-
規格:¥1100
-
圖片:
-
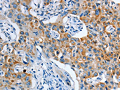
The image on the left is immunohistochemistry of paraffin-embedded Human lung cancer tissue using CSB-PA883226(ASL Antibody) at dilution 1/35, on the right is treated with fusion protein. (Original magnification: ×200)
-
The image on the left is immunohistochemistry of paraffin-embedded Human thyroid cancer tissue using CSB-PA883226(ASL Antibody) at dilution 1/35, on the right is treated with fusion protein. (Original magnification: ×200)
-
-
其他:
產品詳情
-
Uniprot No.:
-
基因名:
-
別名:Argininosuccinase antibody; Argininosuccinate lyase antibody; Arginosuccinase antibody; ARLY_HUMAN antibody; ASAL antibody; ASL antibody; EC 4.3.2.1 antibody
-
宿主:Rabbit
-
反應種屬:Human,Mouse,Rat
-
免疫原:Fusion protein of Human ASL
-
免疫原種屬:Homo sapiens (Human)
-
標記方式:Non-conjugated
-
抗體亞型:IgG
-
純化方式:Antigen affinity purification
-
濃度:It differs from different batches. Please contact us to confirm it.
-
保存緩沖液:-20°C, pH7.4 PBS, 0.05% NaN3, 40% Glycerol
-
產品提供形式:Liquid
-
應用范圍:ELISA,IHC
-
推薦稀釋比:
Application Recommended Dilution ELISA 1:2000-1:5000 IHC 1:50-1:200 -
Protocols:
-
儲存條件:Upon receipt, store at -20°C or -80°C. Avoid repeated freeze.
-
貨期:Basically, we can dispatch the products out in 1-3 working days after receiving your orders. Delivery time maybe differs from different purchasing way or location, please kindly consult your local distributors for specific delivery time.
-
用途:For Research Use Only. Not for use in diagnostic or therapeutic procedures.
相關產品
靶點詳情
-
基因功能參考文獻:
- The remaining five patients were diagnosed with neonatal intrahepatic cholestasis due to citrin deficiency, and have respectively carried mutations of the SLC25A13 gene including [c.851-854delGTAT+c.851-854delGTAT], [c.851-854delGTAT+IVS6+5G>A], [c.851-854delGTAT+IVS16ins3kb], [c.851-854delGTAT+IVS6-11A>G] and [c.851-854delGTAT+c.1638-1660dup23] PMID: 28981931
- Overexpression of ASL may be a contributing factor in drug resistance for arginine deprivation therapy. PMID: 28035420
- ASL-targeting shRNA-induced growth inhibition is associated with decreased cyclin A2 expression and Nitric oxide content in colon cancer. PMID: 27840980
- the mechanism induced by ASL shRNA which occurred in human breast cancer may be attributed to a decrease in cyclin A2 and NO. PMID: 26397737
- The clinical and biochemical course in variant forms of ASL deficiency is associated with relevant residual levels of ASL activity as well as instability of mutant ASL proteins. PMID: 25778938
- Point mutation of ASS1, ASL and SLC25A13 is associated with citrullinemia. PMID: 24927999
- Data show that in patients with Argininosuccinate lyase deficiency, the ASl gene is subject to several mutations, the majority are missense; some more frequent then others. PMID: 24166829
- Our results suggest that ASL transcripts can contribute to the highly variable phenotype in ASA patients if expressed at high levels. PMID: 24136197
- Cox regression analysis showed that ASL is an independent prognostic marker for HCC. Therefore, reduced ASL expression may be a novel maker for poor prognosis in HCC patients PMID: 22531684
- analysis of mutant argininosuccinate lyase in argininosuccinic aciduria PMID: 21667091
- extent of protection of ASL and delta-crystallin at different ratios of alphaA-crystallin PMID: 20937351
- MDR analysis provided evidence of interaction between the genes for ASS1 and SLC25A13 on the risk of CL/P. PMID: 20739017
- Structural studies of the ASL frequently complementing allele Q286R suggest that the mutation may hinder a conformational change in the 280's loop (residues 270-290) and domain 3 that may be important for catalysis. PMID: 11747432
- Complementation can occur at the ASL locus between thermolabile mutants and stable mutants by stabilization of the active oligomeric form of the hybrid enzyme, which may be sufficiently stable for catalysis to occur. PMID: 11747433
- complete sequence of the human ASL gene and a complete ASL homologue on chromosome 22 PMID: 12384776
- argininosuccinic aciduria patients of different ethnic backgrounds who are characterized by residual activity of argininosuccinate lyase and who present with less severe clinical courses. PMID: 12408190
- This unique mutation causes an elongation of fifty amino acids in the C-terminal region of the ASL protein, and is likely related to a milder phenotype compared with previously reported mutations. PMID: 12512996
- a novel ASL pseudogene located in the centromeric region of chromosome 7, 14 novel mutations in the ASL gene, and a novel intronic polymorphism found in a cohort of Italian patients with argininosuccinic aciduria PMID: 17326097
- analysis of human missense argininosuccinate lyase mutations in yeast PMID: 19703900
顯示更多
收起更多
-
相關疾病:Argininosuccinic aciduria (ARGINSA)
-
蛋白家族:Lyase 1 family, Argininosuccinate lyase subfamily
-
數據庫鏈接:
Most popular with customers
-
-
YWHAB Recombinant Monoclonal Antibody
Applications: ELISA, WB, IHC, IF, FC
Species Reactivity: Human, Mouse, Rat
-
Phospho-YAP1 (S127) Recombinant Monoclonal Antibody
Applications: ELISA, WB, IHC
Species Reactivity: Human
-
-
-
-
-















