ASCC1 Antibody
-
中文名稱:ASCC1兔多克隆抗體
-
貨號:CSB-PA270829
-
規格:¥1100
-
圖片:
-
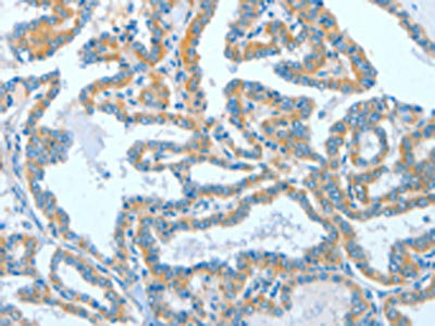
The image on the left is immunohistochemistry of paraffin-embedded Human thyroid cancer tissue using CSB-PA270829(ASCC1 Antibody) at dilution 1/50, on the right is treated with fusion protein. (Original magnification: ×200)
-
The image on the left is immunohistochemistry of paraffin-embedded Human colon cancer tissue using CSB-PA270829(ASCC1 Antibody) at dilution 1/50, on the right is treated with fusion protein. (Original magnification: ×200)
-
-
其他:
產品詳情
-
Uniprot No.:
-
基因名:ASCC1
-
別名:Activating signal cointegrator 1 complex subunit 1 antibody; ASC-1 complex subunit p50 antibody; ASC1 complex subunit p50 antibody; ASC1p50 antibody; ASCC1 antibody; ASCC1_HUMAN antibody; CGI 18 antibody; RP11-150D20.4 antibody; Trip4 complex subunit p50 antibody
-
宿主:Rabbit
-
反應種屬:Human,Mouse
-
免疫原:Fusion protein of Human ASCC1
-
免疫原種屬:Homo sapiens (Human)
-
標記方式:Non-conjugated
-
抗體亞型:IgG
-
純化方式:Antigen affinity purification
-
濃度:It differs from different batches. Please contact us to confirm it.
-
保存緩沖液:-20°C, pH7.4 PBS, 0.05% NaN3, 40% Glycerol
-
產品提供形式:Liquid
-
應用范圍:ELISA,IHC
-
推薦稀釋比:
Application Recommended Dilution ELISA 1:2000-1:5000 IHC 1:25-1:100 -
Protocols:
-
儲存條件:Upon receipt, store at -20°C or -80°C. Avoid repeated freeze.
-
貨期:Basically, we can dispatch the products out in 1-3 working days after receiving your orders. Delivery time maybe differs from different purchasing way or location, please kindly consult your local distributors for specific delivery time.
-
用途:For Research Use Only. Not for use in diagnostic or therapeutic procedures.
相關產品
靶點詳情
-
功能:Plays a role in DNA damage repair as component of the ASCC complex. Part of the ASC-1 complex that enhances NF-kappa-B, SRF and AP1 transactivation. In cells responding to gastrin-activated paracrine signals, it is involved in the induction of SERPINB2 expression by gastrin. May also play a role in the development of neuromuscular junction.
-
基因功能參考文獻:
- Our patient was also found to have a homozygous frameshift variant (c.157dupG, p.Glu53Glyfs*19) in ASCC1 , thereby representing the second known case. This confirms ASCC1 involvement in a severe neuromuscular disease lying within the spinal muscular atrophy or primary muscle disease spectra PMID: 28218388
- ASCC1 inhibits NF-kappaB activation and a truncated and inactive variant of ASCC1 is associated with a more severe disease, which could have clinical value for assessing the progression and prognosis of Rheumatoid Arthritis. PMID: 26503956
- Three major genes, MSR1, ASCC1, and CTHRC1 were associated with Barrett esophagus/esophageal adenocarcinoma PMID: 21791690
- Gastrin activates paracrine networks leading to induction of PAI-2 via MAZ and ASC-1. PMID: 19074642
-
相關疾病:Barrett esophagus (BE); Spinal muscular atrophy with congenital bone fractures 2 (SMABF2)
-
亞細胞定位:Nucleus. Nucleus speckle.
-
組織特異性:Ubiquitous.
-
數據庫鏈接:
Most popular with customers
-
-
YWHAB Recombinant Monoclonal Antibody
Applications: ELISA, WB, IHC, IF, FC
Species Reactivity: Human, Mouse, Rat
-
Phospho-YAP1 (S127) Recombinant Monoclonal Antibody
Applications: ELISA, WB, IHC
Species Reactivity: Human
-
-
-
-
-















