ASB2 Antibody
-
中文名稱:ASB2兔多克隆抗體
-
貨號:CSB-PA064362
-
規格:¥1100
-
圖片:
-
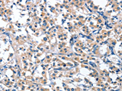
The image on the left is immunohistochemistry of paraffin-embedded Human liver cancer tissue using CSB-PA064362(ASB2 Antibody) at dilution 1/40, on the right is treated with fusion protein. (Original magnification: ×200)
-
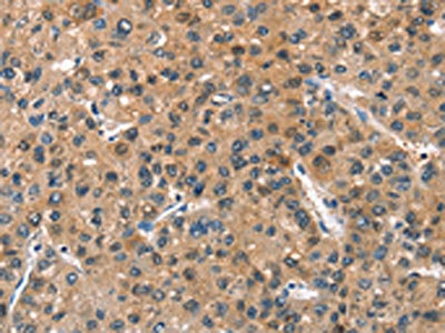
The image on the left is immunohistochemistry of paraffin-embedded Human thyroid cancer tissue using CSB-PA064362(ASB2 Antibody) at dilution 1/40, on the right is treated with fusion protein. (Original magnification: ×200)
-
-
其他:
產品詳情
-
Uniprot No.:
-
基因名:ASB2
-
別名:ASB2Ankyrin repeat and SOCS box protein 2 antibody; ASB-2 antibody
-
宿主:Rabbit
-
反應種屬:Human,Mouse,Rat
-
免疫原:Fusion protein of Human ASB2
-
免疫原種屬:Homo sapiens (Human)
-
標記方式:Non-conjugated
-
抗體亞型:IgG
-
純化方式:Antigen affinity purification
-
濃度:It differs from different batches. Please contact us to confirm it.
-
保存緩沖液:-20°C, pH7.4 PBS, 0.05% NaN3, 40% Glycerol
-
產品提供形式:Liquid
-
應用范圍:ELISA,IHC
-
推薦稀釋比:
Application Recommended Dilution ELISA 1:1000-1:5000 IHC 1:50-1:200 -
Protocols:
-
儲存條件:Upon receipt, store at -20°C or -80°C. Avoid repeated freeze.
-
貨期:Basically, we can dispatch the products out in 1-3 working days after receiving your orders. Delivery time maybe differs from different purchasing way or location, please kindly consult your local distributors for specific delivery time.
-
用途:For Research Use Only. Not for use in diagnostic or therapeutic procedures.
相關產品
靶點詳情
-
功能:Substrate-recognition component of a SCF-like ECS (Elongin-Cullin-SOCS-box protein) E3 ubiquitin-protein ligase complex which mediates the ubiquitination and subsequent proteasomal degradation of target proteins. Mediates Notch-induced ubiquitination and degradation of substrates including TCF3/E2A and JAK2. Required during embryonic heart development for complete heart looping. Required for cardiomyocyte differentiation.; Involved in myogenic differentiation and targets filamin FLNB for proteasomal degradation but not filamin FLNA. Also targets DES for proteasomal degradation. Acts as a negative regulator of skeletal muscle mass.; Targets filamins FLNA and FLNB for proteasomal degradation. This leads to enhanced adhesion of hematopoietic cells to fibronectin. Required for FLNA degradation in immature cardiomyocytes which is necessary for actin cytoskeleton remodeling, leading to proper organization of myofibrils and function of mature cardiomyocytes. Required for degradation of FLNA and FLNB in immature dendritic cells (DC) which enhances immature DC migration by promoting DC podosome formation and DC-mediated degradation of the extracellular matrix. Does not promote proteasomal degradation of tyrosine-protein kinases JAK1 or JAK2 in hematopoietic cells.
-
基因功能參考文獻:
- Notch signaling can initiate Asb2 transcription and NF-kappa B activation in T cell acute lymphoblastic leukemia cells. PMID: 30116272
- Using ASB2 conditional knockout mice. PMID: 26537633
- Phosphorylation of serine 323 of ASB2 alpha by Erk kinases is critical for ASB2alpha-mediated degradation of FLNA. PMID: 24044920
- data therefore reveal ubiquitin acceptor sites in FLNa and establish that ASB2alpha-mediated effects on cell spreading are due to loss of filamins. PMID: 24052262
- Data show that neither endogenous nor exogenously expressed ASB2alpha induces degradation of JAK proteins in hematopoietic cells PMID: 22916308
- These results suggest that ASB2beta but not ASB2alpha might be monoubiquitinated and that the ASB2beta UIM motif, but not its E3 Ub ligase activity, plays a pivotal role in this monoubiquitination. PMID: 22382022
- A model whereby ASB2 contributes to hematopoietic differentiation, in part, through MLL degradation and HOX gene down-regulation. PMID: 22174154
- ASB2alpha is a novel regulator of integrin-dependent adhesion of hematopoietic cells PMID: 21737450
- By shifting monomeric E3 ligase complexes to dimeric forms through activation of Asb2 transcription, Notch could effectively control the turnover of a variety of substrates and it exerts diverse effects on cell proliferation and differentiation. PMID: 21119685
- ASB2 may regulate hematopoietic cell differentiation by modulating cell spreading and actin remodeling through targeting of filamins A and B for degradation. PMID: 18799729
顯示更多
收起更多
-
亞細胞定位:Cytoplasm, cytoskeleton, stress fiber.; [Isoform 1]: Cytoplasm, myofibril, sarcomere, Z line.
-
蛋白家族:Ankyrin SOCS box (ASB) family
-
組織特異性:[Isoform 1]: Expressed in muscle cells.; [Isoform 2]: Expressed in hematopoietic cells.
-
數據庫鏈接:
Most popular with customers
-
-
YWHAB Recombinant Monoclonal Antibody
Applications: ELISA, WB, IHC, IF, FC
Species Reactivity: Human, Mouse, Rat
-
Phospho-YAP1 (S127) Recombinant Monoclonal Antibody
Applications: ELISA, WB, IHC
Species Reactivity: Human
-
-
-
-
-















