ARTN Antibody
-
中文名稱:ARTN兔多克隆抗體
-
貨號:CSB-PA002160LA01HU
-
規格:¥440
-
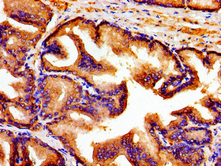
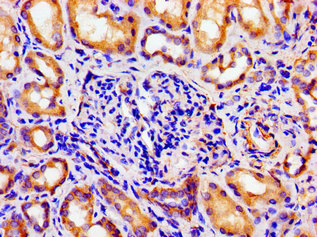
圖片:
-
其他:
產品詳情
-
產品名稱:Rabbit anti-Homo sapiens (Human) ARTN Polyclonal antibody
-
Uniprot No.:
-
基因名:
-
別名:Artemin antibody; Artn antibody; ARTN_HUMAN antibody; Enovin antibody; EVN antibody; NBN antibody; Neublastin antibody; Neurotrophic factor antibody
-
宿主:Rabbit
-
反應種屬:Human
-
免疫原:Recombinant Human Artemin protein (108-220AA)
-
免疫原種屬:Homo sapiens (Human)
-
標記方式:Non-conjugated
本頁面中的產品,ARTN Antibody (CSB-PA002160LA01HU),的標記方式是Non-conjugated。對于ARTN Antibody,我們還提供其他標記。見下表:
-
克隆類型:Polyclonal
-
抗體亞型:IgG
-
純化方式:>95%, Protein G purified
-
濃度:It differs from different batches. Please contact us to confirm it.
-
保存緩沖液:Preservative: 0.03% Proclin 300
Constituents: 50% Glycerol, 0.01M PBS, pH 7.4 -
產品提供形式:Liquid
-
應用范圍:ELISA, IHC
-
推薦稀釋比:
Application Recommended Dilution IHC 1:20-1:200 -
Protocols:
-
儲存條件:Upon receipt, store at -20°C or -80°C. Avoid repeated freeze.
-
貨期:Basically, we can dispatch the products out in 1-3 working days after receiving your orders. Delivery time maybe differs from different purchasing way or location, please kindly consult your local distributors for specific delivery time.
-
用途:For Research Use Only. Not for use in diagnostic or therapeutic procedures.
相關產品
靶點詳情
-
功能:Ligand for the GFR-alpha-3-RET receptor complex but can also activate the GFR-alpha-1-RET receptor complex. Supports the survival of sensory and sympathetic peripheral neurons in culture and also supports the survival of dopaminergic neurons of the ventral mid-brain. Strong attractant of gut hematopoietic cells thus promoting the formation Peyer's patch-like structures, a major component of the gut-associated lymphoid tissue.
-
基因功能參考文獻:
- Artemin could promote the proliferation and invasiveness of lung cancer cells in vitro and therefore could be a new potential target to combat lung cancer. PMID: 29575549
- The data suggest that ARTN and MMP-9 are involved in the occurrence, development, invasion and metastasis of EC, and play a synergistic role in the development of EC and lymphatic metastasis. PMID: 29254290
- AhR activation and ARTN expression were positively correlated in the epidermis of patients with atopic dermatitis. PMID: 27869817
- Report the activity, pharmacokinetics, conformational dynamics and biophysical properties of different glycoforms of ART. PMID: 26908049
- High ARTN increased xenograft tumor size and metastasis in hepatocellular carcinoma. PMID: 26675549
- Artemin expression promotes invasiveness and neurotrophic function of pancreatic adenocarcinoma cells in vivo and in vitro PMID: 25243385
- mRNA expression of Artemin (Artn) in the tongue mucosa of patients with burning mouth syndrome was significantly higher than that of control subjects. PMID: 26270588
- This is the first report of increased levels of a neurotrophic factor and of a glial cell line-derived neurotrophic factor family member in GAD patients. PMID: 24994477
- conclude that ARTN is one mediator of acquired resistance to trastuzumab in HER2-positive mammary carcinoma cells PMID: 24737320
- The expression of GFRalpha1 and/or GFRalpha3, especially when combined with ARTN expression, may be useful predictors of disease progression and outcome in specific subtypes of mammary carcinoma. PMID: 23351331
- ARTEMIN promotes de novo angiogenesis in ER negative mammary carcinoma through activation of TWIST1-VEGF-A signaling. PMID: 23185544
- ARTN promotion of the cancer stem cell-like cell phenotype was mediated by TWIST1 regulation of BCL-2 expression. PMID: 23095743
- High artemin promotes motility and invasiveness of pancreatic cancer. PMID: 22901124
- artemin lowers the threshold of temperature-dependent itch sensation. PMID: 22770266
- ARTN and TWIST1 synergize to produce a worse outcome in ER-MC and combined inhibition of ARTN and phosphatidylinositol 3-kinase/protein kinase B (PI3K/AKT) may therefore provide a novel therapeutic strategy in this subtype of mammary carcinoma. PMID: 22060274
- Presenting an efficient method for the recombinant bacterial production of large quantities of highly pure, biologically active ARTN for in vitro and in vivo studies. PMID: 21907286
- Studies indicate that artemin was highly expressed in squamous cell carcinoma lung cancer. PMID: 22008109
- These results reveal that ARTN, a known tumor metastasis-related gene, is a direct target of miR-223. PMID: 21453483
- Forced expression of ARTN in ER-positive human mammary carcinoma cells increased ER transcriptional activity, promoted estrogen-independent growth and produced resistance to tamoxifen. PMID: 20305694
- ARTN increased BCL2 expression by transcriptional upregulation, and inhibition of BCL2 abrogated the oncogenic properties of ARTN in non-small cell lung carcinoma cells. PMID: 20530713
- Artemin is a key player in the generation of pancreatic neuropathy in pancreatic neoplasms. PMID: 20395845
- Artemin and GFRalpha3 expressions may play an important role in perineural invasion of pancreatic carcinoma. PMID: 19304517
- expression in endometrial carcinoma significantly associated with higher tumor grade and invasiveness PMID: 20118197
- The results obtained suggest the involvement of NTN, PSP, and ART in processes subserving both the organization of this cortical region during development and the functional activity and maintenance of the mature human hippocampal neurons. PMID: 15829225
- This study suggests that ART binds heparan sulfate proteoglycans (HSPG) and identifies residues that may be involved in HSPG binding. PMID: 16734417
- 1.92 A crystal structure of the complex formed between ARTN and its receptor GFRalpha3 was reported. PMID: 16765900
- Data show that reduced expression levels of ARTN mRNAs are found in patients with major depressive disorder in a current depressive state, but not in a remissive state. PMID: 18313696
- No differences were found in the allelic frequencies of the variants or in the haplotype distribution between Hirschsprung's disease patients & controls, nor to any demographic/clinical parameters within the group of patients. PMID: 18970938
- Forced expression of artemin in mammary carcinoma cells results in increased anchorage-independent growth, increased colony formation in soft agar and in Matrigel, and promotes a scattered cell phenotype with enhanced migration and invasion. PMID: 19363524
顯示更多
收起更多
-
亞細胞定位:Secreted.
-
蛋白家族:TGF-beta family, GDNF subfamily
-
組織特異性:Ubiquitous. Expressed at high levels in peripheral tissues including prostate, placenta, pancreas, heart, kidney, pituitary gland, lung and testis. Expressed at low levels in the brain.
-
數據庫鏈接:
Most popular with customers
-
-
YWHAB Recombinant Monoclonal Antibody
Applications: ELISA, WB, IHC, IF, FC
Species Reactivity: Human, Mouse, Rat
-
Phospho-YAP1 (S127) Recombinant Monoclonal Antibody
Applications: ELISA, WB, IHC
Species Reactivity: Human
-
-
-
-
-















