ART1 Antibody
-
中文名稱:ART1兔多克隆抗體
-
貨號:CSB-PA002155LA01HU
-
規格:¥440
-
圖片:
-
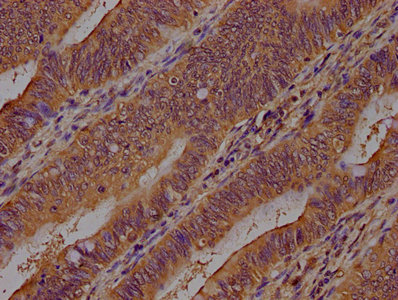
IHC image of CSB-PA002155LA01HU diluted at 1:400 and staining in paraffin-embedded human colon cancer performed on a Leica BondTM system. After dewaxing and hydration, antigen retrieval was mediated by high pressure in a citrate buffer (pH 6.0). Section was blocked with 10% normal goat serum 30min at RT. Then primary antibody (1% BSA) was incubated at 4°C overnight. The primary is detected by a biotinylated secondary antibody and visualized using an HRP conjugated SP system.
-
-
其他:
產品詳情
-
產品名稱:Rabbit anti-Homo sapiens (Human) ART1 Polyclonal antibody
-
Uniprot No.:
-
基因名:
-
別名:ART1GPI-linked NAD(P)(+)--arginine ADP-ribosyltransferase 1 antibody; EC 2.4.2.31 antibody; ADP-ribosyltransferase C2 and C3 toxin-like 1 antibody; ARTC1 antibody; Mono(ADP-ribosyl)transferase 1 antibody; CD antigen CD296 antibody
-
宿主:Rabbit
-
反應種屬:Human
-
免疫原:Recombinant Human GPI-linked NAD(P)(+)--arginine ADP-ribosyltransferase 1 protein (46-142AA )
-
免疫原種屬:Homo sapiens (Human)
-
標記方式:Non-conjugated
本頁面中的產品,ART1 Antibody (CSB-PA002155LA01HU),的標記方式是Non-conjugated。對于ART1 Antibody,我們還提供其他標記。見下表:
-
克隆類型:Polyclonal
-
抗體亞型:IgG
-
純化方式:>95%, Protein G purified
-
濃度:It differs from different batches. Please contact us to confirm it.
-
保存緩沖液:Preservative: 0.03% Proclin 300
Constituents: 50% Glycerol, 0.01M PBS, pH 7.4 -
產品提供形式:Liquid
-
應用范圍:ELISA, IHC
-
推薦稀釋比:
Application Recommended Dilution IHC 1:200-1:500 -
Protocols:
-
儲存條件:Upon receipt, store at -20°C or -80°C. Avoid repeated freeze.
-
貨期:Basically, we can dispatch the products out in 1-3 working days after receiving your orders. Delivery time maybe differs from different purchasing way or location, please kindly consult your local distributors for specific delivery time.
-
用途:For Research Use Only. Not for use in diagnostic or therapeutic procedures.
相關產品
靶點詳情
-
功能:Has ADP-ribosyltransferase activity toward GLP1R.
-
基因功能參考文獻:
- Our data suggest that ART1 could regulate EMT by regulating the RhoA/ROCK1/AKT/beta-catenin pathway and its downstream factors (snail1, vimentin, N-cadherin and E-cadherin) and that it therefore plays an important role in the progression of colon carcinoma. PMID: 27277835
- up-regulation of ART1 expression is associated with the aggressiveness of glioma. PMID: 27466078
- Arginine ADP-ribosyltransferase 1 promotes angiogenesis in colorectal cancer via the PI3K/Akt pathway PMID: 26847718
- The altered function and expression of P2X7 and ART1 in the human CD39+ Treg or CD39- Treg cells could participate in the resistance against cell death induced by ATP or NAD. PMID: 26307000
- This study provides evidence that ARTC1 is activated during the endoplasmic-reticulum stress response, which results in acute ADP-ribosylation of GRP78/BiP paralleling translational inhibition. PMID: 25292337
- ADP-ribosylation of HNP-1 appears to be primarily an activity of ART1 and occurs in inflammatory conditions and disease PMID: 16627471
- ADPRT Ala762Val polymorphism may play a role in the etiology of squamous cell carcinoma of the head and neck or in linkage disequilibrium with other untyped protective alleles. PMID: 17614107
顯示更多
收起更多
-
亞細胞定位:Sarcoplasmic reticulum membrane; Lipid-anchor, GPI-anchor.
-
蛋白家族:Arg-specific ADP-ribosyltransferase family
-
數據庫鏈接:
Most popular with customers
-
-
YWHAB Recombinant Monoclonal Antibody
Applications: ELISA, WB, IHC, IF, FC
Species Reactivity: Human, Mouse, Rat
-
Phospho-YAP1 (S127) Recombinant Monoclonal Antibody
Applications: ELISA, WB, IHC
Species Reactivity: Human
-
-
-
-
-















