ARPC4 Antibody
-
中文名稱:ARPC4兔多克隆抗體
-
貨號:CSB-PA002130LA01HU
-
規格:¥440
-
圖片:
-
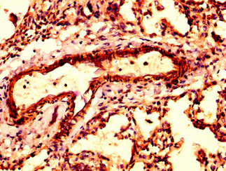
IHC image of CSB-PA002130LA01HU diluted at 1:300 and staining in paraffin-embedded human lung tissue performed on a Leica BondTM system. After dewaxing and hydration, antigen retrieval was mediated by high pressure in a citrate buffer (pH 6.0). Section was blocked with 10% normal goat serum 30min at RT. Then primary antibody (1% BSA) was incubated at 4°C overnight. The primary is detected by a biotinylated secondary antibody and visualized using an HRP conjugated SP system.
-
Immunofluorescence staining of Hela cells with CSB-PA002130LA01HU at 1:100, counter-stained with DAPI. The cells were fixed in 4% formaldehyde, permeabilized using 0.2% Triton X-100 and blocked in 10% normal Goat Serum. The cells were then incubated with the antibody overnight at 4°C. The secondary antibody was Alexa Fluor 488-congugated AffiniPure Goat Anti-Rabbit IgG(H+L).
-
-
其他:
產品詳情
-
產品名稱:Rabbit anti-Homo sapiens (Human) ARPC4 Polyclonal antibody
-
Uniprot No.:
-
基因名:
-
別名:Actin related protein 2/3 complex subunit 4 antibody; Actin related protein 2/3 complex subunit 4 20 kD antibody; Actin related protein 2/3 complex subunit 4 20kDa antibody; Actin related protein 2/3 complex; 20-KD subunit antibody; Actin-related protein 2/3 complex subunit 4 antibody; ARC20 antibody; Arp2/3 complex 20 kDa subunit antibody; Arp2/3 protein complex subunit p20 antibody; ARPC 4 antibody; ARPC4 antibody; ARPC4_HUMAN antibody; MGC13544 antibody; OTTHUMP00000165252 antibody; OTTHUMP00000207520 antibody; p20 Arc antibody; p20-ARC antibody; p20ARC antibody
-
宿主:Rabbit
-
反應種屬:Human
-
免疫原:Recombinant Human Actin-related protein 2/3 complex subunit 4 protein (2-168AA)
-
免疫原種屬:Homo sapiens (Human)
-
標記方式:Non-conjugated
本頁面中的產品,ARPC4 Antibody (CSB-PA002130LA01HU),的標記方式是Non-conjugated。對于ARPC4 Antibody,我們還提供其他標記。見下表:
-
克隆類型:Polyclonal
-
抗體亞型:IgG
-
純化方式:>95%, Protein G purified
-
濃度:It differs from different batches. Please contact us to confirm it.
-
保存緩沖液:Preservative: 0.03% Proclin 300
Constituents: 50% Glycerol, 0.01M PBS, pH 7.4 -
產品提供形式:Liquid
-
應用范圍:ELISA, IHC, IF
-
推薦稀釋比:
Application Recommended Dilution IHC 1:200-1:500 IF 1:50-1:200 -
Protocols:
-
儲存條件:Upon receipt, store at -20°C or -80°C. Avoid repeated freeze.
-
貨期:Basically, we can dispatch the products out in 1-3 working days after receiving your orders. Delivery time maybe differs from different purchasing way or location, please kindly consult your local distributors for specific delivery time.
-
用途:For Research Use Only. Not for use in diagnostic or therapeutic procedures.
相關產品
靶點詳情
-
功能:Actin-binding component of the Arp2/3 complex, a multiprotein complex that mediates actin polymerization upon stimulation by nucleation-promoting factor (NPF). The Arp2/3 complex mediates the formation of branched actin networks in the cytoplasm, providing the force for cell motility. In addition to its role in the cytoplasmic cytoskeleton, the Arp2/3 complex also promotes actin polymerization in the nucleus, thereby regulating gene transcription and repair of damaged DNA. The Arp2/3 complex promotes homologous recombination (HR) repair in response to DNA damage by promoting nuclear actin polymerization, leading to drive motility of double-strand breaks (DSBs).
-
基因功能參考文獻:
- Expression of the ARPC4 severely affects mycobacterium tuberculosis growth and suppresses immunogenic response in murine macrophages PMID: 23894563
- we show cell line-specific differences in ARP2/3 complex subunit dependency on cell migratory potential, and suggest ARPC4 to be one of the key members of the ARP2/3 complex in pancreatic cancer. PMID: 23267127
- We show that coronin 3 similar to other coronins interacts with the Arp2/3-complex and cofilin indicating that this family in general is involved in regulating Arp2/3-mediated events. PMID: 17274980
-
亞細胞定位:Cytoplasm, cytoskeleton. Cell projection. Nucleus.
-
蛋白家族:ARPC4 family
-
數據庫鏈接:
Most popular with customers
-
YWHAB Recombinant Monoclonal Antibody
Applications: ELISA, WB, IHC, IF, FC
Species Reactivity: Human, Mouse, Rat
-
Phospho-YAP1 (S127) Recombinant Monoclonal Antibody
Applications: ELISA, WB, IHC
Species Reactivity: Human
-
-
-
-
-
-















