ARMC10 Antibody
-
中文名稱:ARMC10兔多克隆抗體
-
貨號:CSB-PA447195
-
規格:¥1100
-
圖片:
-
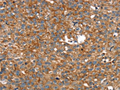
The image on the left is immunohistochemistry of paraffin-embedded Human breast cancer tissue using CSB-PA447195(ARMC10 Antibody) at dilution 1/30, on the right is treated with fusion protein. (Original magnification: ×200)
-
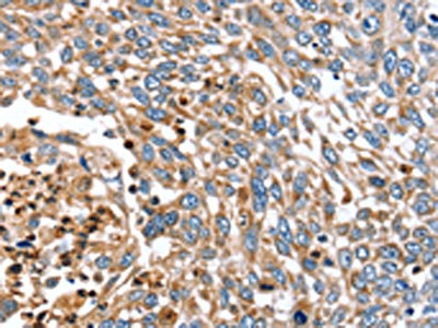
The image on the left is immunohistochemistry of paraffin-embedded Human lung cancer tissue using CSB-PA447195(ARMC10 Antibody) at dilution 1/30, on the right is treated with fusion protein. (Original magnification: ×200)
-
-
其他:
產品詳情
-
Uniprot No.:
-
基因名:ARMC10
-
別名:ARM10_HUMAN antibody; Armadillo repeat containing 10 antibody; Armadillo repeat containing protein 10 antibody; Armadillo repeat-containing protein 10 antibody; ARMC 10 antibody; ARMC10 antibody; FLJ37850 antibody; MGC3195 antibody; PNAS112 antibody; Specific splicing variant involved in hepatocarcinogenesis antibody; Splicing variant involved in hepatocarcinogenesis protein antibody; SVH antibody
-
宿主:Rabbit
-
反應種屬:Human
-
免疫原:Fusion protein of Human ARMC10
-
免疫原種屬:Homo sapiens (Human)
-
標記方式:Non-conjugated
-
抗體亞型:IgG
-
純化方式:Antigen affinity purification
-
濃度:It differs from different batches. Please contact us to confirm it.
-
保存緩沖液:-20°C, pH7.4 PBS, 0.05% NaN3, 40% Glycerol
-
產品提供形式:Liquid
-
應用范圍:ELISA,IHC
-
推薦稀釋比:
Application Recommended Dilution ELISA 1:2000-1:5000 IHC 1:25-1:100 -
Protocols:
-
儲存條件:Upon receipt, store at -20°C or -80°C. Avoid repeated freeze.
-
貨期:Basically, we can dispatch the products out in 1-3 working days after receiving your orders. Delivery time maybe differs from different purchasing way or location, please kindly consult your local distributors for specific delivery time.
-
用途:For Research Use Only. Not for use in diagnostic or therapeutic procedures.
相關產品
靶點詳情
-
功能:May play a role in cell survival and cell growth. May suppress the transcriptional activity of p53/TP53.
-
基因功能參考文獻:
- a novel gene SVH, up-regulated in hepatocellular carcinoma, was identified; four variants SVH-A, -B, -C, and -D, resulting from alternative splicing in the coding region of the SVH transcript, were observed and localized in the endoplasmic reticulum PMID: 12839973
-
亞細胞定位:Endoplasmic reticulum membrane; Single-pass membrane protein.
-
組織特異性:Expressed in all tissues tested with higher expression in placenta, liver, kidney, heart and brain.
-
數據庫鏈接:
Most popular with customers
-
-
YWHAB Recombinant Monoclonal Antibody
Applications: ELISA, WB, IHC, IF, FC
Species Reactivity: Human, Mouse, Rat
-
-
-
-
-
-















