ARHGAP15 Antibody
-
中文名稱:ARHGAP15兔多克隆抗體
-
貨號:CSB-PA990163
-
規格:¥1100
-
圖片:
-
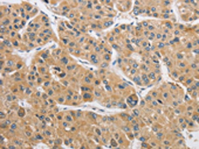
The image on the left is immunohistochemistry of paraffin-embedded Human thyroid cancer tissue using CSB-PA990163(ARHGAP15 Antibody) at dilution 1/50, on the right is treated with fusion protein. (Original magnification: ×200)
-
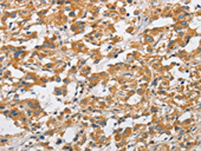
The image on the left is immunohistochemistry of paraffin-embedded Human liver cancer tissue using CSB-PA990163(ARHGAP15 Antibody) at dilution 1/50, on the right is treated with fusion protein. (Original magnification: ×200)
-
Gel: 8%SDS-PAGE, Lysate: 40 μg, Lane 1-2: Jurkat cells, 293T cells, Primary antibody: CSB-PA990163(ARHGAP15 Antibody) at dilution 1/500, Secondary antibody: Goat anti rabbit IgG at 1/8000 dilution, Exposure time: 2 minutes
-
-
其他:
產品詳情
-
Uniprot No.:
-
基因名:ARHGAP15
-
別名:ARHGAP15 antibody; BM-024 antibody; BM-030 antibody; BM-046 antibody; Rho GTPase-activating protein 15 antibody; ArhGAP15 antibody; Rho-type GTPase-activating protein 15 antibody
-
宿主:Rabbit
-
反應種屬:Human,Mouse,Rat
-
免疫原:Fusion protein of Human ARHGAP15
-
免疫原種屬:Homo sapiens (Human)
-
標記方式:Non-conjugated
-
抗體亞型:IgG
-
純化方式:Antigen affinity purification
-
濃度:It differs from different batches. Please contact us to confirm it.
-
保存緩沖液:-20°C, pH7.4 PBS, 0.05% NaN3, 40% Glycerol
-
產品提供形式:Liquid
-
應用范圍:ELISA,WB,IHC
-
推薦稀釋比:
Application Recommended Dilution ELISA 1:1000-1:2000 WB 1:200-1:1000 IHC 1:50-1:200 -
Protocols:
-
儲存條件:Upon receipt, store at -20°C or -80°C. Avoid repeated freeze.
-
貨期:Basically, we can dispatch the products out in 1-3 working days after receiving your orders. Delivery time maybe differs from different purchasing way or location, please kindly consult your local distributors for specific delivery time.
-
用途:For Research Use Only. Not for use in diagnostic or therapeutic procedures.
相關產品
靶點詳情
-
功能:GTPase activator for the Rho-type GTPases by converting them to an inactive GDP-bound state. Has activity toward RAC1. Overexpression results in an increase in actin stress fibers and cell contraction.
-
基因功能參考文獻:
- ARHGAP15 rs4662344-T ssociation with diverticular disease in Iceland and Denmark population. PMID: 28585551
- ARHGAP15 immunoreactivity correlated with decreased risk of recurrence and improved prognosis in breast carcinoma. ARHGA15 overexpression suppressed cell proliferation and migration of MCF-7 cells. PMID: 29534468
- FOXP3 can regulate the expression of ARHGAP15 and affects migration of glioma cells through the Rac1 signaling pathway PMID: 27862679
- ArhGAP15 plays a dual negative role in regulating small GTPase signaling, by acting at the level of the GTPase itself, as well interacting with its effector, Pak kinase. PMID: 23760270
- ARHGAP15 is associated with acute lung injury in mice PMID: 21297076
- a potential regulator of Rac1 PMID: 12650940
顯示更多
收起更多
-
亞細胞定位:Cytoplasm. Membrane; Peripheral membrane protein.
-
組織特異性:Expressed in lung, liver and lymphoid cells.
-
數據庫鏈接:
Most popular with customers
-
-
YWHAB Recombinant Monoclonal Antibody
Applications: ELISA, WB, IHC, IF, FC
Species Reactivity: Human, Mouse, Rat
-
Phospho-YAP1 (S127) Recombinant Monoclonal Antibody
Applications: ELISA, WB, IHC
Species Reactivity: Human
-
-
-
-
-















