ARFRP1 Antibody
-
中文名稱:ARFRP1兔多克隆抗體
-
貨號:CSB-PA133087
-
規格:¥1100
-
圖片:
-
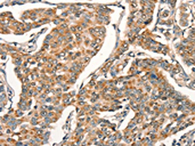
The image on the left is immunohistochemistry of paraffin-embedded Human breast cancer tissue using CSB-PA133087(ARFRP1 Antibody) at dilution 1/25, on the right is treated with synthetic peptide. (Original magnification: ×200)
-
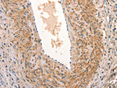
The image on the left is immunohistochemistry of paraffin-embedded Human cervical cancer tissue using CSB-PA133087(ARFRP1 Antibody) at dilution 1/25, on the right is treated with synthetic peptide. (Original magnification: ×200)
-
Gel: 8%SDS-PAGE, Lysate: 40 μg, Lane 1-4: 293T cells, human fetal liver tissue, human cervical cancer tissue, Human fetal muscle tissue, Primary antibody: CSB-PA133087(ARFRP1 Antibody) at dilution 1/800, Secondary antibody: Goat anti rabbit IgG at 1/8000 dilution, Exposure time: 40 seconds
-
-
其他:
產品詳情
-
Uniprot No.:
-
基因名:ARFRP1
-
別名:ADP ribosylation factor related protein 1 antibody; ADP-ribosylation factor-related protein 1 antibody; ARF related protein 1 antibody; ARF related protein antibody; ARF-related protein 1 antibody; ARFRP_HUMAN antibody; ARFRP1 antibody; ARL 18 antibody; ARL18 antibody; ARP 1 antibody; ARP antibody; ARP1 antibody; Helicase like protein NHL antibody; MGC6837 antibody; SCG10 like protein antibody
-
宿主:Rabbit
-
反應種屬:Human,Mouse,Rat
-
免疫原:Synthetic peptide of Human ARFRP1
-
免疫原種屬:Homo sapiens (Human)
-
標記方式:Non-conjugated
-
抗體亞型:IgG
-
純化方式:Antigen affinity purification
-
濃度:It differs from different batches. Please contact us to confirm it.
-
保存緩沖液:-20°C, pH7.4 PBS, 0.05% NaN3, 40% Glycerol
-
產品提供形式:Liquid
-
應用范圍:ELISA,WB,IHC
-
推薦稀釋比:
Application Recommended Dilution ELISA 1:2000-1:5000 WB 1:500-1:2000 IHC 1:25-1:100 -
Protocols:
-
儲存條件:Upon receipt, store at -20°C or -80°C. Avoid repeated freeze.
-
貨期:Basically, we can dispatch the products out in 1-3 working days after receiving your orders. Delivery time maybe differs from different purchasing way or location, please kindly consult your local distributors for specific delivery time.
-
用途:For Research Use Only. Not for use in diagnostic or therapeutic procedures.
相關產品
靶點詳情
-
功能:Trans-Golgi-associated GTPase that regulates protein sorting. Controls the targeting of ARL1 and its effector to the trans-Golgi. Required for the lipidation of chylomicrons in the intestine and required for VLDL lipidation in the liver.
-
基因功能參考文獻:
- Results provide evidence that ARFRP1 is required for HCV propagation through its interaction with NS5A protein. Also, ARFRP1 is involved in the regulation of lipid droplet (LD) growth in HCV-infected cells and, recruits SNAP23 to sites in close proximity to LDs. PMID: 27550144
- ARFRP1 shifted from a predominantly cis-Golgi and endosome-to-trans-Golgi network localization to localizing both Golgi and non-Golgi vesicular structures in hNaa30-depleted cells. PMID: 28356483
- One or more of 7 genes residing in a chromosome 20q13.3 CNV region appears to influence BMI. The strongest candidate is ARFRP1. PMID: 26881067
- Propose that Arfrp1 exposes a binding site on AP-1 that recognizes the Vangl2 sorting motif for capture into a transport vesicle destined for the proximal surface of a polarized epithelial cell. PMID: 23326640
- The GTPase ARFRP1 controls the lipidation of chylomicrons in the Golgi of the intestinal epithelium. PMID: 22505585
- Data show that ADP-ribosylation factor-related protein 1 (ARFRP1) is associated mainly with the trans-Golgi compartment and the trans-Golgi network (TGN) and is an essential regulatory factor for targeting of golgin-97 and golgin-245 onto Golgi membranes. PMID: 16129887
- These data suggest that lethality of Arfrp1 knockout embryos is due to a specific disruption of protein targeting, e.g., of ARL1 and Golgin-245, to the Golgi. PMID: 17127620
- Results show that ARL1 and ARFRP1 regulate retrograde transport of Shiga toxin to the TGN and anterograde transport of VSVG from the TGN, respectively. PMID: 19224922
顯示更多
收起更多
-
亞細胞定位:Golgi apparatus. Golgi apparatus, trans-Golgi network.
-
蛋白家族:Small GTPase superfamily, Arf family
-
組織特異性:Found in most tissues.
-
數據庫鏈接:
Most popular with customers
-
-
YWHAB Recombinant Monoclonal Antibody
Applications: ELISA, WB, IHC, IF, FC
Species Reactivity: Human, Mouse, Rat
-
Phospho-YAP1 (S127) Recombinant Monoclonal Antibody
Applications: ELISA, WB, IHC
Species Reactivity: Human
-
-
-
-
-















