ARFGAP1 Antibody
-
中文名稱:ARFGAP1兔多克隆抗體
-
貨號:CSB-PA232631
-
規格:¥1100
-
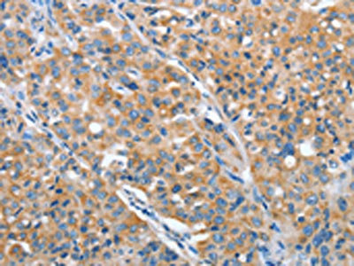
圖片:
-
The image on the left is immunohistochemistry of paraffin-embedded Human lung cancer tissue using CSB-PA232631(ARFGAP1 Antibody) at dilution 1/30, on the right is treated with fusion protein. (Original magnification: ×200)
-
Gel: 10%SDS-PAGE, Lysate: 40 μg, Lane 1-4: 293T cells, A549 cells, PC3 cells, NIH/3T3 cells, Primary antibody: CSB-PA232631(ARFGAP1 Antibody) at dilution 1/600, Secondary antibody: Goat anti rabbit IgG at 1/8000 dilution, Exposure time: 10 seconds
-
-
其他:
產品詳情
-
Uniprot No.:
-
基因名:
-
別名:ADP ribosylation factor 1 GTPase activating protein antibody; ADP ribosylation factor GTPase activating protein 1 antibody; ADP-ribosylation factor 1 GTPase-activating protein antibody; ADP-ribosylation factor GTPase-activating protein 1 antibody; ARF GAP 1 antibody; ARF1 directed GTPase activating protein antibody; ARF1 GAP antibody; ARF1-directed GTPase-activating protein antibody; ARF1GAP antibody; ARFG1_HUMAN antibody; Arfgap1 antibody; GAP protein antibody; HRIHFB2281 antibody
-
宿主:Rabbit
-
反應種屬:Human,Mouse
-
免疫原:Fusion protein of Human ARFGAP1
-
免疫原種屬:Homo sapiens (Human)
-
標記方式:Non-conjugated
-
抗體亞型:IgG
-
純化方式:Antigen affinity purification
-
濃度:It differs from different batches. Please contact us to confirm it.
-
保存緩沖液:-20°C, pH7.4 PBS, 0.05% NaN3, 40% Glycerol
-
產品提供形式:Liquid
-
應用范圍:ELISA,WB,IHC
-
推薦稀釋比:
Application Recommended Dilution ELISA 1:2000-1:10000 WB 1:1000-1:5000 IHC 1:25-1:100 -
Protocols:
-
儲存條件:Upon receipt, store at -20°C or -80°C. Avoid repeated freeze.
-
貨期:Basically, we can dispatch the products out in 1-3 working days after receiving your orders. Delivery time maybe differs from different purchasing way or location, please kindly consult your local distributors for specific delivery time.
-
用途:For Research Use Only. Not for use in diagnostic or therapeutic procedures.
相關產品
靶點詳情
-
功能:GTPase-activating protein (GAP) for the ADP ribosylation factor 1 (ARF1). Involved in membrane trafficking and /or vesicle transport. Promotes hydrolysis of the ARF1-bound GTP and thus, is required for the dissociation of coat proteins from Golgi-derived membranes and vesicles, a prerequisite for vesicle's fusion with target compartment. Probably regulates ARF1-mediated transport via its interaction with the KDELR proteins and TMED2. Overexpression induces the redistribution of the entire Golgi complex to the endoplasmic reticulum, as when ARF1 is deactivated. Its activity is stimulated by phosphoinosides and inhibited by phosphatidylcholine.
-
基因功能參考文獻:
- ARFGAP1 is found associated with lipid droplets at steady state in some but not all hepatocytes. PMID: 25397679
- ARFGAP1 is a host factor for Hepatitis C Virus RNA replication, and is hijacked by HCV NS5A to remove COPI cargo Sac1 from the site of HCV replication to maintain high levels of PI4P. PMID: 24623438
- ArfGAP1 is identified as the first GTPase activating protein (GAP) for leucine-rich repeat kinase 2 (LRRK2). PMID: 22423108
- role of ARFGAP1 in AP-2-regulated endocytosis has mechanistic parallels with its roles in COPI transport, as both its GAP activity and coat function contribute to promoting AP-2 transport PMID: 21499258
- The small GTPases of the Ras superfamily mediate numerous biological processes through their ability to cycle between an inactive GDP-bound and an active GTP-bound form. PMID: 15246431
- ArfGAP1 interacts with the Golgi through multiple hydrophobic motifs and that alternative modes of interaction may exist in tissue-specific ArfGAP1 isoforms. PMID: 16316994
- SMAP2 functions in the retrograde, early endosome-to-trans golig network pathway in a clathrin- and AP-1-dependent manner. PMID: 16571680
- coatomer is an allosteric regulator of Arf GAP1 PMID: 18541532
- Differential roles of ArfGAP1, ArfGAP2, and ArfGAP3 in COPI trafficking PMID: 19015319
- catalytic amounts of Arf1GAP1 significantly reduce the yield of purified COPI vesicles PMID: 19055691
- ArfGAP1, ArfGAP2, and ArfGAP3 have overlapping roles in regulating COPI function in Golgi-to-ER retrograde transport. PMID: 19299515
顯示更多
收起更多
-
亞細胞定位:Cytoplasm. Golgi apparatus.
-
數據庫鏈接:
Most popular with customers
-
-
YWHAB Recombinant Monoclonal Antibody
Applications: ELISA, WB, IHC, IF, FC
Species Reactivity: Human, Mouse, Rat
-
Phospho-YAP1 (S127) Recombinant Monoclonal Antibody
Applications: ELISA, WB, IHC
Species Reactivity: Human
-
-
-
-
-















