AQP7 Antibody
-
中文名稱:AQP7兔多克隆抗體
-
貨號:CSB-PA390632
-
規格:¥1100
-
圖片:
-
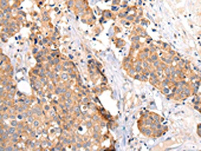
The image on the left is immunohistochemistry of paraffin-embedded Human liver cancer tissue using CSB-PA390632(AQP7 Antibody) at dilution 1/20, on the right is treated with synthetic peptide. (Original magnification: ×200)
-
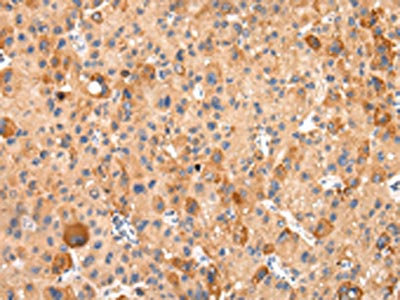
The image on the left is immunohistochemistry of paraffin-embedded Human breast cancer tissue using CSB-PA390632(AQP7 Antibody) at dilution 1/20, on the right is treated with synthetic peptide. (Original magnification: ×200)
-
-
其他:
產品詳情
-
Uniprot No.:
-
基因名:
-
宿主:Rabbit
-
反應種屬:Human
-
免疫原:Synthetic peptide of Human AQP7
-
免疫原種屬:Homo sapiens (Human)
-
標記方式:Non-conjugated
-
抗體亞型:IgG
-
純化方式:Antigen affinity purification
-
濃度:It differs from different batches. Please contact us to confirm it.
-
保存緩沖液:-20°C, pH7.4 PBS, 0.05% NaN3, 40% Glycerol
-
產品提供形式:Liquid
-
應用范圍:ELISA,IHC
-
推薦稀釋比:
Application Recommended Dilution ELISA 1:2000-1:5000 IHC 1:25-1:100 -
Protocols:
-
儲存條件:Upon receipt, store at -20°C or -80°C. Avoid repeated freeze.
-
貨期:Basically, we can dispatch the products out in 1-3 working days after receiving your orders. Delivery time maybe differs from different purchasing way or location, please kindly consult your local distributors for specific delivery time.
-
用途:For Research Use Only. Not for use in diagnostic or therapeutic procedures.
相關產品
靶點詳情
-
功能:Forms a channel that mediates water and glycerol transport across cell membranes at neutral pH. The channel is also permeable to urea. Plays an important role in body energy homeostasis under conditions that promote lipid catabolism, giving rise to glycerol and free fatty acids. Mediates glycerol export from adipocytes. After release into the blood stream, glycerol is used for gluconeogenesis in the liver to maintain normal blood glucose levels and prevent fasting hypoglycemia. Required for normal glycerol reabsorption in the kidney.
-
亞細胞定位:Cell membrane; Multi-pass membrane protein. Cytoplasm, cell cortex. Cytoplasmic vesicle membrane; Multi-pass membrane protein. Lipid droplet.
-
蛋白家族:MIP/aquaporin (TC 1.A.8) family
-
組織特異性:Detected in the sperm head (at protein level). Detected in white adipose tissue.
-
數據庫鏈接:
Most popular with customers
-
-
Phospho-YAP1 (S127) Recombinant Monoclonal Antibody
Applications: ELISA, WB, IHC
Species Reactivity: Human
-
-
-
-
-
-
VDAC1 Recombinant Monoclonal Antibody
Applications: ELISA, WB, IHC
Species Reactivity: Human, Mouse, Rat















