APOM Antibody
-
中文名稱:APOM兔多克隆抗體
-
貨號:CSB-PA001947LA01HU
-
規格:¥440
-
圖片:
-
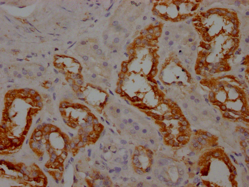
IHC image of CSB-PA001947LA01HU diluted at 1:100 and staining in paraffin-embedded human kidney tissue performed on a Leica BondTM system. After dewaxing and hydration, antigen retrieval was mediated by high pressure in a citrate buffer (pH 6.0). Section was blocked with 10% normal goat serum 30min at RT. Then primary antibody (1% BSA) was incubated at 4°C overnight. The primary is detected by a Goat anti-rabbit IgG labeled by HRP and visualized using 0.05% DAB.
-
-
其他:
產品詳情
-
產品名稱:Rabbit anti-Homo sapiens (Human) APOM Polyclonal antibody
-
Uniprot No.:
-
基因名:APOM
-
別名:Apolipoprotein M (Apo-M) (ApoM) (Protein G3a), APOM, G3A NG20
-
宿主:Rabbit
-
反應種屬:Human
-
免疫原:Recombinant Human Apolipoprotein M protein (1-188aa)
-
免疫原種屬:Homo sapiens (Human)
-
標記方式:Non-conjugated
本頁面中的產品,APOM Antibody (CSB-PA001947LA01HU),的標記方式是Non-conjugated。對于APOM Antibody,我們還提供其他標記。見下表:
-
克隆類型:Polyclonal
-
抗體亞型:IgG
-
純化方式:>95%, Protein G purified
-
濃度:It differs from different batches. Please contact us to confirm it.
-
保存緩沖液:Preservative: 0.03% Proclin 300
Constituents: 50% Glycerol, 0.01M PBS, pH 7.4 -
產品提供形式:Liquid
-
應用范圍:ELISA, IHC
-
推薦稀釋比:
Application Recommended Dilution IHC 1:100-1:500 -
Protocols:
-
儲存條件:Upon receipt, store at -20°C or -80°C. Avoid repeated freeze.
-
貨期:Basically, we can dispatch the products out in 1-3 working days after receiving your orders. Delivery time maybe differs from different purchasing way or location, please kindly consult your local distributors for specific delivery time.
-
用途:For Research Use Only. Not for use in diagnostic or therapeutic procedures.
相關產品
靶點詳情
-
功能:Probably involved in lipid transport. Can bind sphingosine-1-phosphate, myristic acid, palmitic acid and stearic acid, retinol, all-trans-retinoic acid and 9-cis-retinoic acid.
-
基因功能參考文獻:
- Obese patients showed significantly lower plasmatic ApoM levels than people with normal body weight, and ApoM level showed a strong correlation with CRP, TNF-alpha, and IL-6 levels, which indicated that ApoM might be regulated by these inflammatory factors. PMID: 30110274
- These results demonstrated that ApoM protein mass were clearly higher in the NSCLC tissues than in non-small cell lung cancer (NSCLC) tissues. Overexpression of ApoM could promote NSCLC cell proliferation and invasion in vitro and tumor growth in vivo, which might be via upregulating S1PR1 and activating the ERK1/2 and PI3K/AKT signaling pathways. PMID: 29750961
- results do not suggest a diagnostic role for ApoM plasma levels in patients with primary VTE. Moreover, the current study suggests that role of ApoM as a risk factor may differ for primary VTE and recurrent VTE in male patients. PMID: 28914078
- These S1P-induced enhancements in growth factors and chemotactic cytokines in retinal pigment epithelium cells were significantly inhibited by ApoM treatment. Additionally, in vivo experiments using a laser-induced choroidal neovascularization (CNV) murine model demonstrated that intravitreal ApoM injection significantly reduced the progression of CNV formation. PMID: 29301231
- The potential of mean force for sphingosine-1-phosphate unbinding from apoM reflected a large binding strength of more than 60 kJ/mol. This high unbinding free energy for sphingosine-1-phosphate underlines the observed specificity of the physiological effects of sphingosine-1-phosphate as it suggests that the spontaneous release of sphingosine-1-phosphate from apoM is unlikely. PMID: 27476912
- results demonstrated that lower APOM levels in SLE patients and correlated with disease activity. PMID: 28476116
- Sequenced the ApoM gene in recurrent venous thromboembolism (VTE) and identified six polymorphisms. ApoM rs805297 was significantly associated with higher risk of VTE recurrence in male but not in female patients. PMID: 27277397
- Single nucleotide polymorphism in ApoM gene is associated with chronic obstructive pulmonary disease. PMID: 28927745
- ApoM T-855C and T-778C polymorphisms were found to be associated with obesity by regulating HDL metabolism, and the T alleles of apoM T-778C were shown to be more strongly correlated. PMID: 28245483
- liver mRNA levels of apoM and apoA1 decreased strongly upon sepsis induction. PMID: 26990127
- 17beta-estradiol induced up-regulation of apoM in HepG2 cells is through an ER-alpha-dependent pathway involving ER-alpha binding element in the promoter of the apoM gene. PMID: 28359281
- A shift in ApoM/sphingosine 1-phosphate between HDL-particles in women with type 1 diabetes mellitus Is associated with impaired anti-inflammatory effects of the ApoM/S1P complex. PMID: 28385702
- ApoM-bound sphingosine-1-phosphate regulates adhesion molecule abundance, leukocyte-endothelial adhesion, and endothelial barrier function via sphingosine-1-phosphate receptor1. PMID: 27879252
- HDL-associated ApoM is anti-apoptotic by delivering sphingosine 1-phosphate to S1P1 and S1P3 receptors on vascular endothelium. PMID: 28179022
- Plasma apoM concentrations are higher in patients with hyperlipidaemia than in healthy controls. Low plasma apoM levels in patients with T2DM are likely caused by diabetes but are not induced by hyperlipidaemia. PMID: 27633510
- The polymorphism C-724del in the promoter region of the apoM gene could confer the risk of T2DM among eastern Han Chinese. Unfortunately, the lowing of plasma apoM levels of C-724del mutant allele carriers compared with the wide-type homozygotes carriers in T2DM patients was not statistically different in present study, so further researchs were needed by enlarging the sample PMID: 27576735
- ApoM rs805296 polymorphism may be a risk factor for developing coronary artery disease [meta-analysis] PMID: 26723879
- ApoM/HDL-C and apoM/apoA1 ratios could be used as indicators for identification of DN from healthy people and from T2DM patients. PMID: 28073663
- ApoM may be a biomarker of coronary artery disease. ApoM-855 T-->C substitution provides binding sites for AP-2alpha and reduces ApoM transcription activity PMID: 27841911
- Data indicate significant association between the single nucleotide polymorphism (SNP rs805296) of apolipoprotein M (ApoM) and the susceptibility to ankylosing spondylitis (AS) among Chinese Han population in Lanzhou. PMID: 27412944
- Serum apolipoprotein M was elevated in chronic obstructive pulmonary disease patients and increased gradually with chronic obstructive pulmonary disease severity. PMID: 27001252
- ApoM is excreted in the urine of children after cardiac surgery in children with acute kidney injury PMID: 26642098
- Hyperglycemia-induced downregulation of apolipoprotein M expression is not via the hexosamine pathway. PMID: 26377577
- ApoM is highly expressed in renal proximal tubule cells and is usually reabsorbed by giantin-associated proteins in a process, which is also affected in kidney disease. PMID: 25901639
- our findings present supportive evidence that ApoM is a regulator of human LRH-1 transcription, and further reveal the importance of ApoM as a critical regulator of bile acids metabolism PMID: 25987835
- -724 I/D polymorphism decreases the apoM promoter activity, down-regulates the apoM protein expression level, and increases the risk of myocardial infarction PMID: 25637426
- these findings demonstrated that apoM suppressed TNF-alpha-induced expression of ICAM-1 and VCAM-1 through inhibiting the activity of NF-kappaB. PMID: 26057873
- role of apoM in lipid metabolism and cardiometabolic diseases.(48-55) PMID: 25551802
- ApoM levels differ according to country of birth and are associated with IR and T2DM only in native-born Swedes, not Iraqis living in Sweden. PMID: 24984825
- Binary logistic regression analysis suggested that both apoM and apoAI mRNA may considered as independent risk factors for fetal macrosomia PMID: 25194312
- ApoM overexpression may have a potential role in improving insulin resistance in vivo and modulating apoM expression might be a future therapeutic strategy against insulin resistance in type 2 diabetes. PMID: 25144649
- Single nucleotide polymorphism in APOM is associated with lung cancer. PMID: 25187487
- the apolipoprotein M/HDL pathway may have a role in the pathogenesis of COPD and emphysema [meta-analysis] PMID: 23900982
- Decreased activities of apolipoprotein m promoter are associated with the susceptibility to coronary artery diseases. PMID: 24578614
- the functional single-nucleotide polymorphism APOM rs805297 G/T variant allele was associated with rheumatoid arthritis risk PMID: 23660425
- The apolipoprotein M rs805297 SNP is not associated with an increased risk for developing coronary artery disease, although it does independently correlate with dyslipidemia in Han Chinese individuals. PMID: 24341666
- Apolipoprotein M T-778C polymorphism is associated with serum lipid levels and the risk of coronary artery disease in the Chinese population. (Meta-analysis) PMID: 24040766
- Data indicate that palmitic acid induced suppression of apolipoprotein M (APOM) expression is mediated via the peroxisome proliferator-activated receptor beta/delta (PPARbeta/delta) pathway. PMID: 24508264
- The unique apoM/S1P-enriched plasma HDL may serve to deliver S1P to extrahepatic tissues for atheroprotection and may have other as yet unidentified functions. PMID: 24318881
- Apolipoprotein M as a chaperone for sphingosine-1-phosphate. [Review] PMID: 23652568
- Livers are involved in S1P dynamism, and it was suggested that apoM, produced from livers, increases circulating plasma S1P by augmenting the S1P output from livers and modifies extracellular S1P metabolism. PMID: 23664237
- Vascular endothelial growth factor downregulates apolipoprotein M expression PMID: 22877565
- Data support that the APOM C-1065A polymorphism is associated with increased risk for developing rheumatoid arthritis and dyslipidaemia in RA patients. PMID: 23190940
- The APOM gene rs707921 and rs707922 single nucleotide polymorphisms are associated with some serum lipid parameters. PMID: 23086303
- These data suggest that the plasma clearance of apoM, despite apoM primarily being associated with HDL, is influenced by LDL receptor-mediated clearance of apoB-containing particles. PMID: 22826357
- The present study demonstrated that apoM expression could be elevated by ABCA1 via the RXR/LXR pathway and LRH1 does not involve in the regulation of apoM by the activation of ABCA1, although the direct regulative pathway(s) between ABCA1 and apoM gene is still unknown yet. PMID: 22516753
- ApoM can bind oxidized phospholipids, increasing the antioxidant effect of HDL. PMID: 22204862
- Report plasma levels of sphingosine-1-phosphate and apolipoprotein M in patients with monogenic disorders of HDL metabolism. PMID: 21944699
- Single Nucleotide Polymorphism at the promoter region of the APOM gene is associated with rheumatoid arthritis. PMID: 21844665
- Raised ApoM levels in hepatitis B virus (HBV) infection may in turn suppress HBV replication PMID: 21875437
顯示更多
收起更多
-
亞細胞定位:Secreted. Note=Present in high density lipoprotein (HDL) and to a lesser extent in triglyceride-rich lipoproteins (TGRLP) and low density lipoproteins (LDL).
-
蛋白家族:Calycin superfamily, Lipocalin family
-
組織特異性:Plasma protein. Expressed in liver and kidney.
-
數據庫鏈接:
Most popular with customers
-
YWHAB Recombinant Monoclonal Antibody
Applications: ELISA, WB, IHC, IF, FC
Species Reactivity: Human, Mouse, Rat
-
Phospho-YAP1 (S127) Recombinant Monoclonal Antibody
Applications: ELISA, WB, IHC
Species Reactivity: Human
-
-
-
-
-
-















