APOL6 Antibody
-
中文名稱:APOL6兔多克隆抗體
-
貨號:CSB-PA545148
-
規格:¥1100
-
圖片:
-
The image on the left is immunohistochemistry of paraffin-embedded Human tonsil tissue using CSB-PA545148(APOL6 Antibody) at dilution 1/60, on the right is treated with synthetic peptide. (Original magnification: ×200)
-
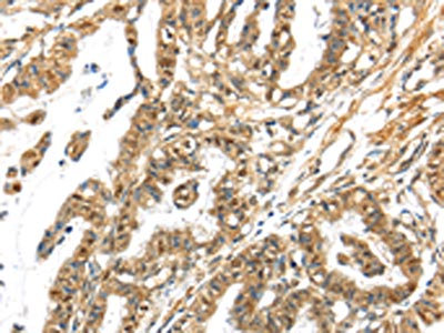
The image on the left is immunohistochemistry of paraffin-embedded Human thyroid cancer tissue using CSB-PA545148(APOL6 Antibody) at dilution 1/60, on the right is treated with synthetic peptide. (Original magnification: ×200)
-
-
其他:
產品詳情
-
Uniprot No.:
-
基因名:APOL6
-
別名:2310076O14Rik antibody; APOL VI antibody; ApoL-VI antibody; APOL6 antibody; APOL6_HUMAN antibody; Apolipoprotein L VI antibody; Apolipoprotein L; 6 antibody; Apolipoprotein L-VI antibody; Apolipoprotein L6 antibody; APOLVI antibody; DKFZp667M075 antibody; FLJ38562 antibody; FLJ90164 antibody; MGC57495 antibody
-
宿主:Rabbit
-
反應種屬:Human
-
免疫原:Synthetic peptide of Human APOL6
-
免疫原種屬:Homo sapiens (Human)
-
標記方式:Non-conjugated
-
抗體亞型:IgG
-
純化方式:Antigen affinity purification
-
濃度:It differs from different batches. Please contact us to confirm it.
-
保存緩沖液:-20°C, pH7.4 PBS, 0.05% NaN3, 40% Glycerol
-
產品提供形式:Liquid
-
應用范圍:ELISA,IHC
-
推薦稀釋比:
Application Recommended Dilution ELISA 1:2000-1:5000 IHC 1:50-1:200 -
Protocols:
-
儲存條件:Upon receipt, store at -20°C or -80°C. Avoid repeated freeze.
-
貨期:Basically, we can dispatch the products out in 1-3 working days after receiving your orders. Delivery time maybe differs from different purchasing way or location, please kindly consult your local distributors for specific delivery time.
-
用途:For Research Use Only. Not for use in diagnostic or therapeutic procedures.
相關產品
靶點詳情
-
功能:May affect the movement of lipids in the cytoplasm or allow the binding of lipids to organelles.
-
基因功能參考文獻:
- Polymorphisms in FABP2 and APOL6, located at the predicted miRNAs binding sites, are identified to contribute to susceptibility to MetS in the Chinese Han population. PMID: 23911300
- results suggest that ApoL6 regulates both apoptosis and autophagy in SMCs. IFNgamma-initiated, ApoL6-induced apoptosis in vascular cells may be an important factor causing plaque instability PMID: 21646352
- Apolipoprotein l6 is a novel proapoptotic Bcl-2 homology 3-only protein that induces mitochondria-mediated apoptosis in cancer cells PMID: 15671246
- APOL6 has been found only in humans PMID: 11374903
-
亞細胞定位:Cytoplasm.
-
蛋白家族:Apolipoprotein L family
-
組織特異性:Widely expressed; highly expressed in the uterus, fetal brain and spinal cord, also detected in heart, liver, lung, colon, spleen, thymus, prostate, placenta, adrenal gland, salivary and mammary gland.
-
數據庫鏈接:
Most popular with customers
-
-
-
-
-
-
-
-
VDAC1 Recombinant Monoclonal Antibody
Applications: ELISA, WB, IHC
Species Reactivity: Human, Mouse, Rat















