APOL2 Antibody
-
中文名稱:APOL2兔多克隆抗體
-
貨號:CSB-PA983797
-
規格:¥1100
-
圖片:
-
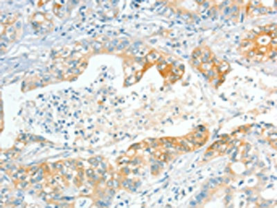
The image on the left is immunohistochemistry of paraffin-embedded Human cervical cancer tissue using CSB-PA983797(APOL2 Antibody) at dilution 1/80, on the right is treated with synthetic peptide. (Original magnification: ×200)
-
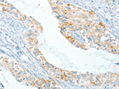
The image on the left is immunohistochemistry of paraffin-embedded Human gastric cancer tissue using CSB-PA983797(APOL2 Antibody) at dilution 1/80, on the right is treated with synthetic peptide. (Original magnification: ×200)
-
Gel: 10%SDS-PAGE, Lysate: 40 μg, Lane 1-2: Human fetal liver tissue, huvec cells, Primary antibody: CSB-PA983797(APOL2 Antibody) at dilution 1/725, Secondary antibody: Goat anti rabbit IgG at 1/8000 dilution, Exposure time: 40 seconds
-
-
其他:
產品詳情
-
Uniprot No.:
-
基因名:APOL2
-
別名:9830006J20Rik antibody; ApoL-II antibody; APOL2 antibody; APOL2_HUMAN antibody; APOL3 antibody; Apol8 antibody; ApoLII antibody; Apolipoprotein L 2 antibody; Apolipoprotein L; 2 antibody; Apolipoprotein L-II antibody; Apolipoprotein L2 antibody; Apolipoprotein LII antibody; ApolipoproteinL2 antibody
-
宿主:Rabbit
-
反應種屬:Human
-
免疫原:Synthetic peptide of Human APOL2
-
免疫原種屬:Homo sapiens (Human)
-
標記方式:Non-conjugated
-
抗體亞型:IgG
-
純化方式:Antigen affinity purification
-
濃度:It differs from different batches. Please contact us to confirm it.
-
保存緩沖液:-20°C, pH7.4 PBS, 0.05% NaN3, 40% Glycerol
-
產品提供形式:Liquid
-
應用范圍:ELISA,WB,IHC
-
推薦稀釋比:
Application Recommended Dilution ELISA 1:2000-1:10000 WB 1:500-1:2000 IHC 1:100-1:300 -
Protocols:
-
儲存條件:Upon receipt, store at -20°C or -80°C. Avoid repeated freeze.
-
貨期:Basically, we can dispatch the products out in 1-3 working days after receiving your orders. Delivery time maybe differs from different purchasing way or location, please kindly consult your local distributors for specific delivery time.
-
用途:For Research Use Only. Not for use in diagnostic or therapeutic procedures.
相關產品
靶點詳情
-
功能:May affect the movement of lipids in the cytoplasm or allow the binding of lipids to organelles.
-
基因功能參考文獻:
- Apolipoprotein L2 contains a BH3-like domain but it does not behave as a BH3-only protein. PMID: 24901046
- Results reveal a novel function for ApoL2 in conferring anti-apoptotic ability of human bronchial epithelium to the cytotoxic effects of IFN-gamma, in maintaining airway epithelial layer integrity. PMID: 20665705
- An association of APOL1, 2 and 4 with schizophrenia was establised. PMID: 18632255
- APOL2 has been found only in humans and African green monkeys PMID: 11944986
-
亞細胞定位:Cytoplasm.
-
蛋白家族:Apolipoprotein L family
-
組織特異性:Widely expressed; the highest levels are found in lung, thymus, pancreas, placenta, adult brain and prostate; also detected in spleen, liver, kidney, colon, small intestine, uterus, spinal cord, adrenal gland, salivary gland, trachea, mammary gland, skele
-
數據庫鏈接:
Most popular with customers
-
-
YWHAB Recombinant Monoclonal Antibody
Applications: ELISA, WB, IHC, IF, FC
Species Reactivity: Human, Mouse, Rat
-
Phospho-YAP1 (S127) Recombinant Monoclonal Antibody
Applications: ELISA, WB, IHC
Species Reactivity: Human
-
-
-
-
-















