APOC1 Antibody
-
中文名稱:APOC1兔多克隆抗體
-
貨號:CSB-PA001930NA01HU
-
規格:¥440
-
圖片:
-
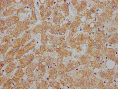
IHC image of CSB-PA001930NA01HU diluted at 1:200 and staining in paraffin-embedded human liver tissue performed on a Leica BondTM system. After dewaxing and hydration, antigen retrieval was mediated by high pressure in a citrate buffer (pH 6.0). Section was blocked with 10% normal goat serum 30min at RT. Then primary antibody (1% BSA) was incubated at 4°C overnight. The primary is detected by a Goat anti-rabbit IgG labeled by HRP and visualized using 0.05% DAB.
-
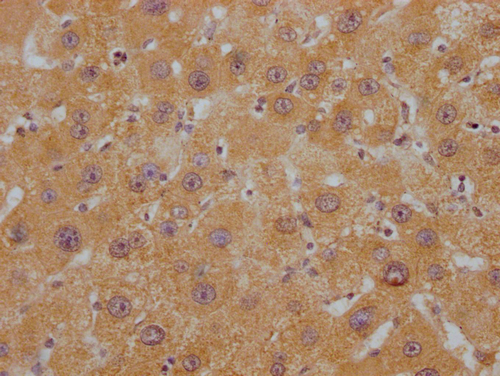
IHC image of CSB-PA001930NA01HU diluted at 1:200 and staining in paraffin-embedded human liver cancer performed on a Leica BondTM system. After dewaxing and hydration, antigen retrieval was mediated by high pressure in a citrate buffer (pH 6.0). Section was blocked with 10% normal goat serum 30min at RT. Then primary antibody (1% BSA) was incubated at 4°C overnight. The primary is detected by a Goat anti-rabbit IgG labeled by HRP and visualized using 0.05% DAB.
-
-
其他:
產品詳情
-
產品名稱:Rabbit anti-Homo sapiens (Human) APOC1 Polyclonal antibody
-
Uniprot No.:
-
基因名:
-
別名:Apolipoprotein C-I (Apo-CI) (ApoC-I) (Apolipoprotein C1) [Cleaved into: Truncated apolipoprotein C-I], APOC1
-
宿主:Rabbit
-
反應種屬:Human
-
免疫原:Recombinant Human Apolipoprotein C-I protein (35-48aa)
-
免疫原種屬:Homo sapiens (Human)
-
標記方式:Non-conjugated
本頁面中的產品,APOC1 Antibody (CSB-PA001930NA01HU),的標記方式是Non-conjugated。對于APOC1 Antibody,我們還提供其他標記。見下表:
-
克隆類型:Polyclonal
-
抗體亞型:IgG
-
純化方式:>95%, Protein G purified
-
濃度:It differs from different batches. Please contact us to confirm it.
-
保存緩沖液:Preservative: 0.03% Proclin 300
Constituents: 50% Glycerol, 0.01M PBS, pH 7.4 -
產品提供形式:Liquid
-
應用范圍:ELISA, IHC
-
推薦稀釋比:
Application Recommended Dilution IHC 1:100-1:500 -
Protocols:
-
儲存條件:Upon receipt, store at -20°C or -80°C. Avoid repeated freeze.
-
貨期:Basically, we can dispatch the products out in 1-3 working days after receiving your orders. Delivery time maybe differs from different purchasing way or location, please kindly consult your local distributors for specific delivery time.
-
用途:For Research Use Only. Not for use in diagnostic or therapeutic procedures.
相關產品
靶點詳情
-
功能:Inhibitor of lipoprotein binding to the low density lipoprotein (LDL) receptor, LDL receptor-related protein, and very low density lipoprotein (VLDL) receptor. Associates with high density lipoproteins (HDL) and the triacylglycerol-rich lipoproteins in the plasma and makes up about 10% of the protein of the VLDL and 2% of that of HDL. Appears to interfere directly with fatty acid uptake and is also the major plasma inhibitor of cholesteryl ester transfer protein (CETP). Binds free fatty acids and reduces their intracellular esterification. Modulates the interaction of APOE with beta-migrating VLDL and inhibits binding of beta-VLDL to the LDL receptor-related protein.
-
基因功能參考文獻:
- PPARgamma knockdown resulted in increased levels of TOMM40, APOE and APOC1 -mRNAs, showing the strongest impact on APOE transcript levels. PMID: 28065845
- Collectively, these findings suggest that apoC1 and apoE have redundant functions in the hepatitis C virus (HCV) infection and morphogenesis. PMID: 30130702
- the relationship between two variants of apoC1 and the risk of polycystic ovary syndrome, evaluated the genotypic effects on clinical, hormonal and metabolic indexes and plasma platelet-activating factor acetylhydrolase (PAF-AH) activity, was investigated. PMID: 29636060
- Performance metrics were used to select SNPs in stage 1, which were then genotyped to another dataset (stage 2). Four SNPs (CPXM2 rs2362967, APOC1 rs4420638, ZNF521 rs7230380, and rs12965520) were identified for LOAD by both traditional P-values (without correcting for multiple tests) and performance metrics. PMID: 27805002
- ApoC-I polymorphism might be one of the genetic factors of longevity in Bama; the ApoC-I rs4420638 and rs584007 SNPs are associated with serum triglycerides and high-density lipoprotein-cholesterol levels in the longevous population PMID: 28486432
- Among white women, three single nucleotide polymorphisms (SNPs) (rs2075650 [TOMM40], rs4420638 [APOC1], and rs429358 [APOE]) were significantly associated with survival to 90 years after correction for multiple testing (p < .001); rs4420638 and rs429358 were also significantly associated with healthy aging (p = .02). In African American women, no SNP was associated with longevity. In Hispanic women, 7 SNPs in linkage dise PMID: 27707806
- APOC1 expression induces glomerulosclerosis, potentially by increasing the cytokine response in macrophages. PMID: 27976371
- apoC-I inhibited in situ LPL activity in adipocytes in both a concentration- and time-dependent manner. There was no change in postprandial WAT apoC-I secretion. WAT apoC-I secretion may inhibit WAT LPL activity and promote delayed chylomicron clearance in overweight and obese subjects PMID: 27040450
- People with allelic variation in four genes related to cardiovascular diseases and metabolism were more likely to die: apolipoprotein (APO)C1 GG and AG carriers, APOE varepsilon4 carriers, insulin-degrading enzyme (IDE) TC carriers, and phosphatidylinositol 3-kinase (PI3KCB) GG carriers. PMID: 27806189
- Common single-nucleotide polymorphism in the APOC1/APOE region, previously found to be associated with protective levels of cholesterol and lower cardiovascular risk, may be associated with ideal health. PMID: 27179730
- These findings indicated that variants in TOMM40/APOE/APOC1 region might be associated with human longevity. Further studies are needed to identify the causal genetic variants influencing human longevity. PMID: 26657933
- These results suggest that ApoC-I peptides may be a potential diagnostic biomarker and therapeutic approach for breast cancer. PMID: 27052600
- APOC1 SNP is associated with the A beta-42 levels in CSF. PMID: 26576771
- This sbioinformatics analysis explored the shared genetic etiology underlying Type 2 Diabetes and Alzheimer's Disease on SNP level, gene level, and pathway level. Six SNPs on APOC1 gene. PMID: 26639962
- The endogenous retroviral promoters (LTRs) of the human endothelin B receptor (EDNRB) and apolipoprotein C1 (APOC1) genes have high sequence identity but differ in activity and tissue specificity. PMID: 12805445
- The ability of apoC1 to inhibit CETP activity is impaired in patients with diabetes. Glycation of apoC1 leads to a change in its electrostatic properties that might account, at least in part, for a loss of constitutive CETP inhibition and an increase in plasma CETP activity in patients with diabetes. PMID: 24574346
- APOE e4 allele status is associated with dementia and severity of Alzheimer's disease pathologic features in Parkinson disease. PMID: 24582705
- Data indicate that apolipoprotein C-I (APOC1) rs11568822 polymorphism was associated with increased Alzheimer's disease (AD) risk in Caucasians, Asians and Caribbean Hispanics, but not in African Americans. PMID: 24498013
- results suggest that peptide-lipid interactions drive alpha-helix binding to and retention on lipoproteins PMID: 23670531
- apoC-I and apoC-III inhibit lipolysis by displacing LPL from lipid emulsion particles. We also propose a role for these apolipoproteins in the irreversible inactivation of LPL by factors such as angptl4. PMID: 24121499
- Following regression analysis adjusted by collection center, gender, duration of diabetes, and average HbA1c, two SNPs were significantly associated with DN. rs4420638 in the APOC1 region and rs1532624 in CETP. PMID: 23555584
- Linkage disequilibrium between APOC1 and TOMM40 is found in patients with primary progressive aphasia but not in controls or patients with frontotemporal dementia. PMID: 22710912
- High concentrations of ApoCI are associated with increased triglycerides and decreased visceral fat mass in men with metabolic syndrome X. PMID: 18835943
- Increased white adipose tissue apoC-I secretion in obese women is associated with delayed postprandial dietary fat clearance mediated by increased triglyceride rich apoC-I. PMID: 22995522
- The plasma level of apoC-I was significantly increased in obese individuals compared with healthy individuals. PMID: 22404376
- apoC1 as a CETP inhibitor no longer operates on cholesterol redistribution in high-risk patients with dyslipidemia PMID: 22474067
- The observed increase in apoC-I interface affinity due to higher degrees of apoC-I-palmitoyloleoylphosphatidylcholine/triolein/water interactions may explain how apoC-I can displace larger apolipoproteins, such as apoE, from lipoproteins. PMID: 22264166
- our approach, which is applicable to any set of interval scale traits that is heritable and exhibits evidence of phenotypic clustering, identified three new loci in or near APOC1, BRAP, and PLCG1, which were associated with multiple phenotype domains. PMID: 22022282
- Results describe the association of ACE and APOC1 gene polymorphisms with susceptibility to Alzheimer's disease and dementia in general, both alone and combined with the APOE gene. PMID: 21533863
- variants in LPL, OASL and TOMM40/APOE-C1-C2-C4 genes are associated with multiple cardiovascular-related traits PMID: 21943158
- Serum levels of apoC-I and apoC-III combined with other clinical parameters can serve as a basis for the formulation of a diagnostic score for stomach cancer patients PMID: 21267442
- New isoforms of apoC-I, were detected in the cohort of individuals with coronary artery disease using mass spectrometry while the expected apoC-I isoforms were absent. PMID: 21187063
- This study examines the association between APOE/C1/C4/C2 gene cluster variation using tagging single nucleotide polymorphisms and plasma lipid concentration along with risk of coronary heart disease in a prospective cohort. PMID: 20498921
- data show that apoCI genotype is associated with serum levels of triglycerides and CRP, confirming the role of apoCI in lipid metabolism and suggesting that it also influences inflammation PMID: 20580041
- From genetic association studies in Canadian Oji-Cree subjects, APOC1 T45S polymorphism may be linked to obesity, adipocyte regulation, body fat, waist circumference, hyperglycemia, and plasma leptin and apolipoprotein C-I levels. PMID: 19812053
- Apolipoprotein C-I reduces cholesteryl esters selective uptake from LDL and HDL by binding to HepG2 cells and lipoproteins PMID: 19761869
- ApoC-I may have an important role in glucose and lipid metabolism and may be useful for early demonstration of metabolic abnormality in women with polycystic ovary syndrome. PMID: 19368908
- ApoE e4 and APOC1 A alleles have a better association with Alzheimer disease than ApoE e4 alone. PMID: 20145290
- Results identified haptoglobin alpha-1, apolipoprotein C-I and apolipoprotein C-III as candidate biomarkers in PTC. PMID: 19785722
- Cholesteryl ester transfer protein is the sole major determinant of cholesteryl ester transfer in normolipidemic rabbit plasma as a result of the inability of rabbit apoCI to change HDL electronegativity. PMID: 19417222
- APOC1 might be an additional susceptibility gene for late onset Alzheimer disease. PMID: 11825674
- regulated expression of gene cluster in macrophages PMID: 12032151
- Thermal unfolding of discoidal complexes of apolipoprotein (apo) C-1 with dimyristoyl phosphatidylcholine (DMPC) reveals a novel mechanism of lipoprotein stabilization that is based on kinetics rather than thermodynamics. PMID: 12044170
- Effects of mutations in apolipoprotein C-1 on the reconstitution and kinetic stability of discoidal lipoproteins. PMID: 12705839
- The effect of APOC1 genes on brain MRI measures were studied in subjects with age-associated memory impairment. The effects of APOC1 on hippocampal volumes appeared to be more robust than those of the APOE polymorphism. PMID: 12736801
- overexpression of APOC1 prevents rosiglitazone-induced peripheral fatty acid uptake leading to severe hepatic steatosis PMID: 14523051
- overexpression of apoCI does not represent a suitable method for decreasing total CE transfer activity in CETP/apoCI transgenic mice, owing to an hyperlipidaemia-mediated effect on CETP gene expression PMID: 15339254
- apoC-I is a potent inhibitor of LPL-mediated triglyceride lipolysis PMID: 15576844
- role of apolipoprotein C1 in the infection process of hepatitis C virus PMID: 15767578
- Results suggested that both apoE and apoCI on chromosome 19 were the susceptibility loci for coronary artery disease, their linkage disequilibrium should be responsible for the development of coronary artery disease . PMID: 15793777
顯示更多
收起更多
-
亞細胞定位:Secreted.
-
蛋白家族:Apolipoprotein C1 family
-
組織特異性:Synthesized mainly in liver and to a minor degree in intestine. Also found in the lung and spleen.
-
數據庫鏈接:
Most popular with customers
-
-
YWHAB Recombinant Monoclonal Antibody
Applications: ELISA, WB, IHC, IF, FC
Species Reactivity: Human, Mouse, Rat
-
Phospho-YAP1 (S127) Recombinant Monoclonal Antibody
Applications: ELISA, WB, IHC
Species Reactivity: Human
-
-
-
-
-















