APOBEC3D Antibody
-
中文名稱:APOBEC3D兔多克隆抗體
-
貨號:CSB-PA620593
-
規格:¥1100
-
圖片:
-
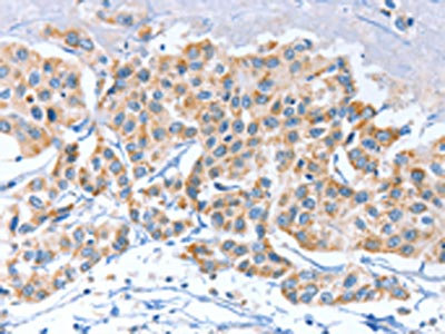
The image on the left is immunohistochemistry of paraffin-embedded Human breast cancer tissue using CSB-PA620593(APOBEC3D Antibody) at dilution 1/80, on the right is treated with synthetic peptide. (Original magnification: ×200)
-
The image on the left is immunohistochemistry of paraffin-embedded Human esophagus cancer tissue using CSB-PA620593(APOBEC3D Antibody) at dilution 1/80, on the right is treated with synthetic peptide. (Original magnification: ×200)
-
Gel: 12%SDS-PAGE, Lysate: 40 μg, Lane 1-4: Mouse thymus tissue, A549 cells, Lovo cells, K562 cells, Primary antibody: CSB-PA620593(APOBEC3D Antibody) at dilution 1/580, Secondary antibody: Goat anti rabbit IgG at 1/8000 dilution, Exposure time: 30 seconds
-
-
其他:
產品詳情
-
Uniprot No.:
-
基因名:
-
別名:A3D antibody; ABC3D_HUMAN antibody; APOBEC3D antibody; APOBEC3DE antibody; APOBEC3E antibody; Apolipoprotein B mRNA editing enzyme catalytic polypeptide like 3D antibody; Apolipoprotein B mRNA editing enzyme catalytic polypeptide like 3E pseudogene antibody; ARP6 antibody; bK150C2.9 antibody; BK150C2.9 protein antibody; DNA dC >dU editing enzyme APOBEC 3D antibody; DNA dC->dU-editing enzyme APOBEC-3D antibody; hCG_41704 antibody; HCG41704; isoform CRA_b antibody; Probable DNA dC->dU-editing enzyme APOBEC-3D antibody
-
宿主:Rabbit
-
反應種屬:Human,Mouse
-
免疫原:Synthetic peptide of Human APOBEC3D
-
免疫原種屬:Homo sapiens (Human)
-
標記方式:Non-conjugated
-
抗體亞型:IgG
-
純化方式:Antigen affinity purification
-
濃度:It differs from different batches. Please contact us to confirm it.
-
保存緩沖液:-20°C, pH7.4 PBS, 0.05% NaN3, 40% Glycerol
-
產品提供形式:Liquid
-
應用范圍:ELISA,WB,IHC
-
推薦稀釋比:
Application Recommended Dilution ELISA 1:2000-1:5000 WB 1:500-1:2000 IHC 1:50-1:200 -
Protocols:
-
儲存條件:Upon receipt, store at -20°C or -80°C. Avoid repeated freeze.
-
貨期:Basically, we can dispatch the products out in 1-3 working days after receiving your orders. Delivery time maybe differs from different purchasing way or location, please kindly consult your local distributors for specific delivery time.
-
用途:For Research Use Only. Not for use in diagnostic or therapeutic procedures.
相關產品
靶點詳情
-
功能:DNA deaminase (cytidine deaminase) which acts as an inhibitor of retrovirus replication and retrotransposon mobility via deaminase-dependent and -independent mechanisms. Exhibits antiviral activity against Vif-deficient HIV-1. After the penetration of retroviral nucleocapsids into target cells of infection and the initiation of reverse transcription, it can induce the conversion of cytosine to uracil in the minus-sense single-strand viral DNA, leading to G-to-A hypermutations in the subsequent plus-strand viral DNA. The resultant detrimental levels of mutations in the proviral genome, along with a deamination-independent mechanism that works prior to the proviral integration, together exert efficient antiretroviral effects in infected target cells. Selectively targets single-stranded DNA and does not deaminate double-stranded DNA or single- or double-stranded RNA. May inhibit the mobility of LTR and non-LTR retrotransposons.
-
亞細胞定位:Cytoplasm. Cytoplasm, P-body.
-
蛋白家族:Cytidine and deoxycytidylate deaminase family
-
組織特異性:Expressed in lymphoid organs. Also detected in non-lymphoid tissues including lung.
-
數據庫鏈接:
Most popular with customers
-
-
YWHAB Recombinant Monoclonal Antibody
Applications: ELISA, WB, IHC, IF, FC
Species Reactivity: Human, Mouse, Rat
-
Phospho-YAP1 (S127) Recombinant Monoclonal Antibody
Applications: ELISA, WB, IHC
Species Reactivity: Human
-
-
-
-
-















