APBB1 Antibody
-
中文名稱:APBB1兔多克隆抗體
-
貨號:CSB-PA001890ESR2HU
-
規格:¥440
-
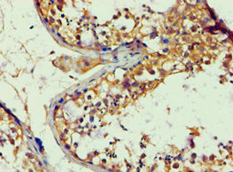
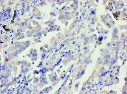
圖片:
-
其他:
產品詳情
-
產品名稱:Rabbit anti-Homo sapiens (Human) APBB1 Polyclonal antibody
-
Uniprot No.:
-
基因名:APBB1
-
別名:Adaptor protein FE65a2 antibody; Amyloid beta (A4) precursor protein binding family B member 1 antibody; Amyloid beta A4 precursor protein binding family B antibody; Amyloid beta A4 precursor protein binding family B member 1 antibody; Amyloid beta A4 precursor protein-binding family B member 1 antibody; Amyloid beta precursor protein binding family B member 1 antibody; APBB 1 antibody; APBB1 antibody; APBB1_HUMAN antibody; FE 65 antibody; Fe65 protein antibody; Protein Fe65 antibody; RIR antibody; stat like protein antibody
-
宿主:Rabbit
-
反應種屬:Human
-
免疫原:Recombinant Human Amyloid beta A4 precursor protein-binding family B member 1 protein (361-710AA)
-
免疫原種屬:Homo sapiens (Human)
-
標記方式:Non-conjugated
-
克隆類型:Polyclonal
-
抗體亞型:IgG
-
純化方式:Antigen Affinity Purified
-
濃度:It differs from different batches. Please contact us to confirm it.
-
保存緩沖液:PBS with 0.02% sodium azide, 50% glycerol, pH7.3.
-
產品提供形式:Liquid
-
應用范圍:ELISA, IHC
-
推薦稀釋比:
Application Recommended Dilution IHC 1:20-1:200 -
Protocols:
-
儲存條件:Upon receipt, store at -20°C or -80°C. Avoid repeated freeze.
-
貨期:Basically, we can dispatch the products out in 1-3 working days after receiving your orders. Delivery time maybe differs from different purchasing way or location, please kindly consult your local distributors for specific delivery time.
-
用途:For Research Use Only. Not for use in diagnostic or therapeutic procedures.
相關產品
靶點詳情
-
功能:Transcription coregulator that can have both coactivator and corepressor functions. Adapter protein that forms a transcriptionally active complex with the gamma-secretase-derived amyloid precursor protein (APP) intracellular domain. Plays a central role in the response to DNA damage by translocating to the nucleus and inducing apoptosis. May act by specifically recognizing and binding histone H2AX phosphorylated on 'Tyr-142' (H2AXY142ph) at double-strand breaks (DSBs), recruiting other pro-apoptosis factors such as MAPK8/JNK1. Required for histone H4 acetylation at double-strand breaks (DSBs). Its ability to specifically bind modified histones and chromatin modifying enzymes such as KAT5/TIP60, probably explains its transcription activation activity. Functions in association with TSHZ3, SET and HDAC factors as a transcriptional repressor, that inhibits the expression of CASP4. Associates with chromatin in a region surrounding the CASP4 transcriptional start site(s). Involved in hippocampal neurite branching and neuromuscular junction formation, as a result plays a role in spatial memory functioning. Plays a role in the maintenance of lens transparency. May play a role in muscle cell strength.
-
基因功能參考文獻:
- Fe65 is an adaptor protein involved in both processing and signaling of the Alzheimer-associated amyloid-beta precursor protein, APP. Here, the subcellular localization was further investigated using TAP-tagged Fe65 constructs expressed in human neuroblastoma cells. Our results indicate that PTB2 rather than the WW domain is important for the nuclear localization of Fe65. PMID: 28323844
- Fe65 Ser289 phosphorylation did not affect the transcriptional activity of the Fe65-APP complex, in contrast to the previously described Ser228 site. PMID: 27176072
- Our findings imply that APBB1 plays an important role in the maintenance of EMT-associated CSC-like properties and gamma-radiation resistance via activation of IGF1Rbeta/AKT/GSK3beta pathway in lung cancer cells, highlighting APBB1 as a potential target for therapeutic cancer treatment. PMID: 27836546
- Targeted enhancement of the signaling through the Fe65-cortactin pathway, by either HDAC6 inhibition or Tip60 activation, may lead to the development of new therapeutic drugs that are effective for patients with metastatic breast cancers. PMID: 26166158
- FE65 influences APP degradation via the proteasome, and phosphorylation of FE65 Ser(610) by SGK1 regulates binding of FE65 to APP, APP turnover and processing. PMID: 26188042
- A novel phosphorylation site was identified within Fe65 which mediates gene transcription. PMID: 25397632
- The SV2A/FE65 interaction might play a role in synaptic signal transduction. PMID: 24284412
- Data indicate that Fe65 is a positive estrogen receptor alpha (ERalpha) transcriptional regulator. PMID: 24619425
- FE65 interactions with BLM and MCM proteins may contribute to the neuronal cell cycle re-entry observed in brains affected by Alzheimer's disease. PMID: 23572515
- A ternary complex consisting of AICD, FE65, and TIP60 down-regulates Stathmin1. PMID: 22902274
- Both amyloid-beta precursor protein and Fe65 are co-localized in model Hirano bodies associated with Alzheimer's disease. PMID: 20133016
- Fe65 carries out different functions depending on its location in the regulation of Notch1 signaling. PMID: 22199353
- A novel FE65 isoform and the regulation of the splicing events leading to its production may contribute to elucidating neuronal specific roles of FE65 and its contribution to Alzheimer's disease pathology. PMID: 21824145
- Phosphorylation of LRP1 regulates the interaction with Fe65. PMID: 21968187
- Fe65 binds preferentially to low-density lipoprotein receptor-related protein (LRP) carboxyl terminus when phosphorylated at tyrosine-4507 and in complex with amyloid precursor protein (APP). PMID: 21650223
- Fe65 and Dab1 compete for binding to APP. Dab1 significantly decreased the amount of APP bound to LRP and the level of secreted APP and APP-CTF in LRP expressing cells PMID: 20568118
- reduced levels of Sp1 resulted in downregulation of endogenous FE65 mRNA and protein PMID: 20091743
- The data of this demonstrated that the induction of AICD/Fe65 or transgelin significantly alters actin dynamics and mitochondrial function in neuronal cells PMID: 20405578
- The transcriptional activity of the APP intracellular domain-Fe65 complex is inhibited by activation of the NF-kappaB pathway. PMID: 12653567
- Adjusting for age and sex, we found a slight risk associated with the deletion in intron 13 of the APBB1 gene for subjects less than 65 years. PMID: 12727304
- gamma-Secretase cleavage and binding to FE65 regulate the nuclear translocation of the intracellular C-terminal domain (ICD) of the APP family of proteins. PMID: 12779321
- APP and Fe65 mediate transactivation with low density lipoprotein receptor-related protein PMID: 12888553
- Abnormal accumulations of the amyloid-beta precursor protein associated with the aging cellular muscle fibers and appear to be the key pathogenic event in iclusion-body myositis. PMID: 14569203
- Alcadein and amyloid beta-protein precursor regulates FE65-dependent gene transactivation PMID: 15037614
- Fe65 is activated by the APP intracellular domain during transcriptional transactivation PMID: 15044485
- p65FE65 may be an intracellular mediator in a signaling cascade regulating alpha-secretion of APP PMID: 15647266
- The present work provides evidence that FE65 plays a role in the regulation of amyloid precursor protein processing in an in vivo transgenic mouse model. PMID: 15816856
- multiple interactions of AICD with FE65 and 14-3-3gamma modulate FE65-dependent gene transactivation PMID: 16223726
- FE65 is the key agent of Gal4DB-mediated transcriptional transactivation, whereas Tip60 is an FE65-associated repressor. PMID: 16332686
- Notch1 intracellular domain plays the role of a negative regulator in AICD signaling via the disruption of the AICD-Fe65-Tip60 trimeric complex. PMID: 17368826
- Nek6 binds to Fe65 through its (267)PPLP(270) motif; the protein-protein interaction between Nek6 and Fe65 regulates their subcellular localization and cell apoptosis PMID: 17512906
- We demonstrated that treatment with EGCG reduced the A beta levels by enhancing endogenous APP nonamyloidogenic proteolytic processing. PMID: 17590240
- Results describe the crystal structures of the human FE65 WW domain (residues 253-289) in the apo form and bound to the peptides PPPPPPLPP and PPPPPPPPPL, which correspond to human Mena residues 313-321 and 347-356, respectively. PMID: 17686488
- Fe65 regulation of APP proteolysis may be integrally associated with its nuclear signaling function, as all antecedent proteolytic steps prior to release of Fe65 from the membrane are fostered by the APP-Fe65 interaction PMID: 17855370
- APP-regulated FE65 plays an important role in the early stress response of cells and that FE65 deregulated from APP induces apoptosis. PMID: 18468999
- Thyroid cancers are characterized by APP upregulation, increased membrane targeting of the APP ectodomain and significantly increased mRNA levels of the APP scaffold proteins JIP1, ShcA and Fe65. PMID: 18480379
- crystallographic analysis of the human Fe65-phosphotyrosine domain PMID: 18550529
- Single nucleotide polymorphisms in APBB1 gene is associated with nicotine dependence. PMID: 18777128
- the beta-sheet edge in some natively folded amyloid oligomers is designed positively to prevent beta aggregation PMID: 18800165
- Study determined the crystal structure of the carboxy-terminal APP intracellular domain in complex with the C-terminal phosphotyrosine-binding (PTB) domain of Fe65; The unique interface involves the NPxY PTB-binding motif and two alpha helices. PMID: 18833287
- Dexras1 functions as a suppressor of FE65-APP-mediated transcription, and FE65 tyrosine 547 phosphorylation enhances FE65-APP-mediated transcription, at least in part, by modulating the interaction between FE65 and Dexras1 PMID: 18922798
- The protein-protein interaction between the WW domain of Fe65 and the putative binding motif of Nedd4-2 down-regulates Fe65 protein stability and subcellular localization through its ubiquitylation, to contribute to cell apoptosis. PMID: 19381069
顯示更多
收起更多
-
亞細胞定位:Cell membrane. Cytoplasm. Nucleus. Cell projection, growth cone. Nucleus speckle.
-
組織特異性:Highly expressed in brain; strongly reduced in post-mortem elderly subjects with Alzheimer disease.
-
數據庫鏈接:
Most popular with customers
-
-
YWHAB Recombinant Monoclonal Antibody
Applications: ELISA, WB, IHC, IF, FC
Species Reactivity: Human, Mouse, Rat
-
Phospho-YAP1 (S127) Recombinant Monoclonal Antibody
Applications: ELISA, WB, IHC
Species Reactivity: Human
-
-
-
-
-















