APBA2 Antibody
-
中文名稱:APBA2兔多克隆抗體
-
貨號:CSB-PA782005
-
規格:¥1100
-
圖片:
-
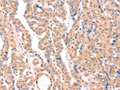
The image on the left is immunohistochemistry of paraffin-embedded Human liver cancer tissue using CSB-PA782005(APBA2 Antibody) at dilution 1/80, on the right is treated with synthetic peptide. (Original magnification: ×200)
-
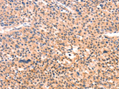
The image on the left is immunohistochemistry of paraffin-embedded Human thyroid cancer tissue using CSB-PA782005(APBA2 Antibody) at dilution 1/80, on the right is treated with synthetic peptide. (Original magnification: ×200)
-
-
其他:
產品詳情
-
Uniprot No.:
-
基因名:APBA2
-
別名:Adapter protein X11beta antibody; Amyloid beta A4 precursor protein-binding family A member 2 antibody; APBA2 antibody; APBA2_HUMAN antibody; D15S1518E antibody; HsT16821 antibody; LIN 10 antibody; MGC:14091 antibody; MGC99508 antibody; Mint 2 antibody; Mint-2 antibody; MINT2 antibody; Neuron-specific X11L protein antibody; Neuronal Munc18-1-interacting protein 2 antibody; Phosphotyrosine binding/interacting domain (PTB) bearing protein antibody; X11 beta antibody; X11 like protein antibody; X11l antibody
-
宿主:Rabbit
-
反應種屬:Human
-
免疫原:Synthetic peptide of Human APBA2
-
免疫原種屬:Homo sapiens (Human)
-
標記方式:Non-conjugated
-
抗體亞型:IgG
-
純化方式:Antigen affinity purification
-
濃度:It differs from different batches. Please contact us to confirm it.
-
保存緩沖液:-20°C, pH7.4 PBS, 0.05% NaN3, 40% Glycerol
-
產品提供形式:Liquid
-
應用范圍:ELISA,IHC
-
推薦稀釋比:
Application Recommended Dilution ELISA 1:2000-1:5000 IHC 1:100-1:300 -
Protocols:
-
儲存條件:Upon receipt, store at -20°C or -80°C. Avoid repeated freeze.
-
貨期:Basically, we can dispatch the products out in 1-3 working days after receiving your orders. Delivery time maybe differs from different purchasing way or location, please kindly consult your local distributors for specific delivery time.
-
用途:For Research Use Only. Not for use in diagnostic or therapeutic procedures.
相關產品
靶點詳情
-
功能:Putative function in synaptic vesicle exocytosis by binding to STXBP1, an essential component of the synaptic vesicle exocytotic machinery. May modulate processing of the amyloid-beta precursor protein (APP) and hence formation of APP-beta.
-
基因功能參考文獻:
- These results support the hypothesis that APBA2 gene expression in different areas of Alzheimer's patient's brains. PMID: 28164769
- Aberrant MINT2 methylation in body fluids may predict peritoneal micrometastasis for gastric cancer (GC) patients, which is a potential poor prognostic factor in GC. PMID: 24385013
- a significant difference was shown for APBA2 gene expression of peripheral lymphocytes between Chinese Han Tourette syndrome (TS) group and healthy controls idicating the APBA2 gene is a promising peripheral blood biomarker that discriminates between patients with TS and healthy subjects PMID: 23076970
- Amyloid beta A4 precursor protein-binding family A member 2 contains a potent neuronal promoter whose activity may be regulated by DNA methylation and glucocorticoid receptor [alpha], paired box protein 5. PMID: 22222501
- The co-occurrence of two nonsynonymous mutations in both affected siblings in a single family, each transmitted from a different unaffected parent, suggest a role for APBA2 mutations in rare individuals with ASD. PMID: 20029827
- APBA2 were genes activated in early endometrial endometrioid carcinoma (stages I-II). PMID: 20015385
- X11beta-mediated reduction in cerebral Abeta is associated with cognition and long-term potentiation in Alzheimer's disease APPswe transgenic mice. PMID: 19744962
- Interaction of transcriptional coactivators with Mint1 or Mint2 prevents nuclear localization and transactivation of the transduction network mediated by amyloid precursor protein. PMID: 20016085
- The APBA2 gene has been found to map to a more telomeric location in chromosome 15q13 than previously found, and is partially duplicated within the broader region located approximately 5 Mb distal to the intact locus. PMID: 12720574
- hXB51 isoforms regulate Abeta generation differently, either enhancing it by modifying the association of X11L with APP or suppressing it in an X11L-independent manner PMID: 12780348
- This protein, which is a member of the mammalian LIN-10 protein family and a possible regulator of Abeta production, elevated APP and APLP2 phosphorylation PMID: 14970211
- Comparative genome hybridization suggests a role for NRXN1 and APBA2 in schizophrenia. PMID: 17989066
- Phosphorylation of amino acids Ser236 and Ser238 in the X11L regulatory region are critical for increasing association of X11L and amyloid beta-protein precursor and are conserved in X11, a neuronal X11 family protein, but not in non-neuronal X11L2. PMID: 19222704
顯示更多
收起更多
-
組織特異性:Brain.
-
數據庫鏈接:
Most popular with customers
-
-
YWHAB Recombinant Monoclonal Antibody
Applications: ELISA, WB, IHC, IF, FC
Species Reactivity: Human, Mouse, Rat
-
Phospho-YAP1 (S127) Recombinant Monoclonal Antibody
Applications: ELISA, WB, IHC
Species Reactivity: Human
-
-
-
-
-















