APAF1 Antibody
-
中文名稱:APAF1兔多克隆抗體
-
貨號:CSB-PA257161
-
規格:¥1100
-
圖片:
-
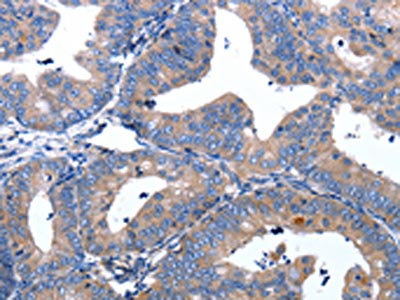
The image on the left is immunohistochemistry of paraffin-embedded Human cervical cancer tissue using CSB-PA257161(APAF1 Antibody) at dilution 1/25, on the right is treated with synthetic peptide. (Original magnification: ×200)
-
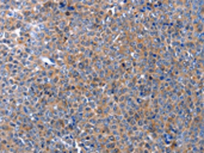
The image on the left is immunohistochemistry of paraffin-embedded Human ovarian cancer tissue using CSB-PA257161(APAF1 Antibody) at dilution 1/25, on the right is treated with synthetic peptide. (Original magnification: ×200)
-
-
其他:
產品詳情
-
Uniprot No.:
-
基因名:
-
別名:APAF 1 antibody; Apaf-1 antibody; APAF_HUMAN antibody; Apaf1 antibody; Apoptotic peptidase activating factor 1 antibody; Apoptotic protease activating factor 1 antibody; Apoptotic protease activating factor antibody; Apoptotic protease-activating factor 1 antibody; CED 4 antibody; CED4 antibody; KIAA0413 antibody
-
宿主:Rabbit
-
反應種屬:Human,Mouse,Rat
-
免疫原:Synthetic peptide of Human APAF1
-
免疫原種屬:Homo sapiens (Human)
-
標記方式:Non-conjugated
-
抗體亞型:IgG
-
純化方式:Antigen affinity purification
-
濃度:It differs from different batches. Please contact us to confirm it.
-
保存緩沖液:-20°C, pH7.4 PBS, 0.05% NaN3, 40% Glycerol
-
產品提供形式:Liquid
-
應用范圍:ELISA,IHC
-
推薦稀釋比:
Application Recommended Dilution ELISA 1:1000-1:10000 IHC 1:25-1:100 -
Protocols:
-
儲存條件:Upon receipt, store at -20°C or -80°C. Avoid repeated freeze.
-
貨期:Basically, we can dispatch the products out in 1-3 working days after receiving your orders. Delivery time maybe differs from different purchasing way or location, please kindly consult your local distributors for specific delivery time.
-
用途:For Research Use Only. Not for use in diagnostic or therapeutic procedures.
相關產品
靶點詳情
-
功能:Oligomeric Apaf-1 mediates the cytochrome c-dependent autocatalytic activation of pro-caspase-9 (Apaf-3), leading to the activation of caspase-3 and apoptosis. This activation requires ATP. Isoform 6 is less effective in inducing apoptosis.
-
基因功能參考文獻:
- APAF1 mutations cause recurrent folate-resistant neural tube defects. PMID: 29358613
- Study suggests a potential underlying molecular mechanism of apoptosis inhibition via APAF1 downregulation in human neuroblastoma BE(2)C cells with miRNA36133p overexpression. PMID: 30066861
- Down-regulation of Apaf-1 protein and the overexpression of Cyclin D1 and AQP-5 proteins possibly contribute to an aggressive serous ovarian carcinoma with a high risk of recurrence and poor response to the first-line chemotherapy. PMID: 30072015
- Results suggest that low levels of Apaf-1 as an adaptor protein might be considered as a possible regulatory barrier by which differentiating cells control cell death upon rise in ROS production and cytochrome c release from mitochondria. PMID: 29395479
- APAF-1 was found to be reduced in non-small-cell lung cancer tissue samples along with high expression of miR-484. PMID: 28982084
- miR-300 regulates the cellular sensitivity to ionizing radiation through targeting p53 and apaf1 in lung cancer cells. PMID: 28895780
- we sought to investigate mechanisms mediated by Hsp70 acetylation in relation to apoptotic and autophagic programmed cell death. Upon stress-induced apoptosis, Hsp70 acetylation inhibits apoptotic cell death, mediated by Hsp70 association with apoptotic protease-activating factor (Apaf)-1 and apoptosis-inducing factor (AIF), key modulators of caspase-dependent and -independent apoptotic pathways, respectively PMID: 28627586
- Knockdown of microRNA-27a increased the expression level of Apaf-1, enhancing the formation of Apaf-1-caspase-9 complex and subsequently promoting the TRAIL-induced apoptosis in colorectal cancer stem cells. Findings suggested that knockdown of microRNA-27a in colorectal cancer stem cells by the specific antioligonucleotides was potential to reverse the chemoresistance to TRAIL. PMID: 28423356
- Results indicate that the apoptotic protease-activating factor 1 (Apaf-1) apoptosome activates caspase-9 in part through sequestration of the inhibitory caspase recruitment domains (CARDs) domain. PMID: 28143931
- Authors found significant up-regulation of miR-221 and significant down-regulation of Apaf-1 expression in LSCC tissues compared to normal nearby laryngeal tissues. Significant associations between up-regulated miR-221 and down-regulated Apaf-1 expressions and clinical stage and lymph node (LN) metastasis were found. PMID: 28453462
- A significant correlation between changes in the levels of expression and methylation was detected for the three apoptosis-regulatory genes (APAF1, DAPK1, and BCL2). The results suggest that methylation play an important role in the regulation of the apoptosis system genes in breast cancer. PMID: 28429233
- Primary cells derived from patients with diffuse large B cell lymphomas show membrane raft sequestration of the apoptosome adaptor protein, Apaf-1, which may mediate drug resistance. PMID: 27863378
- Loss of APAF-1 expression is associated with early recurrence in stage I-III colorectal cancer, suggesting that APAF-1 may have clinical value as a predictive marker of early recurrence. PMID: 27480415
- the markers Ets-1 and APAF-1 relative to p53, Ki-67 and PTEN expression in colon adenomas/polyps, were investigated. PMID: 26743285
- Different selenium concentrations had varying effects on BAK1 and APAF1 levels. APAF1 may play an important role in the pathogenesis of KBD PMID: 26179084
- miR21 is transferred from cancer-associated adipocytes (CAAs) and fibroblasts (CAFs) to the cancer cells, where it suppresses ovarian cancer apoptosis and confers chemoresistance by binding to its direct novel target, APAF1. PMID: 27021436
- HDAC inhibitors can induce p53 acetylation at lysine 120, which in turn enhances mitochondrion-mediated apoptosis through transcriptional up-regulation of Apaf-1. PMID: 26851285
- Renal APAF1 expression is increased in diabetes and diabetic nephropathy. PMID: 27141571
- Inhibition of Caspase-9 restricted, while Apaf-1 promoted, Chlamydia pneumoniae infection in HEp-2, HeLa, and mouse epithelial fibroblast (MEF) cells. PMID: 26290316
- These results suggest that CED-4 forms a complex with ced-3 mRNA and delivers it to ribosomes for translation. PMID: 26740177
- The auto-assembly of truncated Apaf1 molecules disappeared after several hours without any enzyme activation. PMID: 25895636
- cytochrome c and the WD domains of Apaf-1 interact, with bifurcated salt bridges involved in apoptosome assembly PMID: 26014357
- NF-kappaB response element, located close to the p53RE#1, mediates APAF1 transcriptional repression by affecting interaction between KAISO and p53 PMID: 26183023
- This study suggested that miR-23a, acting as an oncogenic regulator by directly targeting APAF1 in pancreatic cancer, is a useful potential biomarker in diagnosis and treatment of pancreatic cancer. PMID: 25701323
- Our results indicate that the APAF1, BAX, and FLASH genes not only harbor frameshift mutations but also demonstrate mutational ITH, which together might play a role in the tumorigenesis of CRC with MSI-H by affecting the apoptosis of cancer cells. PMID: 25599959
- a role for Apaf1 at the mitochondria PMID: 24416260
- APAF-1 plays an important role in iron-induced erythroid apoptosis increase in myelodysplastic syndrome PMID: 24142530
- The inhibitory effect of Ab42 on the apoptotic pathway is associated with its interaction with procaspase-9 and consequent inhibition of Apaf-1 apoptosome assembly PMID: 24424093
- Apoptosis of HGC-27 cells induced by oridonin may be associated with differential expression of Apaf-1, caspase-3 and cytochrome c, which are highly dependent upon the mitochondrial pathway PMID: 23326121
- Amiloride modulates glioblastoma multiforme cell radiosensitivity involving the Akt phosphorylation and the alternative splicing of APAF1. PMID: 23822711
- Apaf-1 conformational changes during apoptosome assembly. PMID: 23521171
- Data indicate that the formation of cytochrome c-Apaf-1 apoptosome and the presence of Smac are absolutely required for PSAP-induced apoptosis. PMID: 23207240
- Both the silencing of miR-155 and the overexpression Apaf-1 greatly increased the sensitivity of A549 cells to cisplatin. PMID: 22996741
- The 5' untranslated region of Apaf-1 mRNA directs translation under apoptosis conditions via a 5' end-dependent scanning mechanism. PMID: 23085065
- Curcumin treatment of cancer cells led to Apaf-1 upregulation both at the protein and mRNA levels. Deficiency of Apaf-1 inhibits caspase activation and cell death. PMID: 22101335
- APAF-1, DAPK-1 and SPARC may have a role in progression and higher tumor stage of renal cell carcinoma in North Indian population PMID: 21922274
- Collectively, these results identify a novel locus of apoptosomal regulation wherein MAPK signalling promotes Rsk-catalysed Apaf-1 phosphorylation and consequent binding of 14-3-3varepsilon, resulting in decreased cellular responsiveness to cytochrome c. PMID: 22246185
- These results suggest that, in addition to the classical cytochrome c/Apaf-1-dependent pathway of caspase-9 activation, staurosporine can induce caspase-9 activation and apoptosis independently of the apoptosome. PMID: 21659556
- Results show a significant inverse correlation between GLUT1 expression and Apaf-1 expression in colorectal adenocarcinomas, and patients with GLUT1 expression demonstrate poor overall survival. PMID: 21528061
- in the absence of nucleotide such as ATP, direct association of procaspase-9 with Apaf-1 leads to defective molecular timer, and thus, inhibits apoptosome-mediated caspase activation PMID: 21297999
- Expression of Apaf-1 was up-regulated in MCF-7 cells treated with 5-Aza-CdR. PMID: 19662370
- Hypermethylation of APAF1 gene is associated with neuroblastoma. PMID: 21104989
- higher expression of APAF-1 is related to an undifferentiated state in the testicular germ cell tumor (TGCT) pathway. PMID: 20977544
- APAF-1 expression was significantly higher in low-risk, compared to high-risk myelodysplastic syndrome, according to IPSS (P < 0.0001), FAB (P = 0.0265), and cytogenetic risk (P = 0.0134). PMID: 20345447
- results show that the APAF1 variants associated with risk for MDD in the Utah pedigrees are very rare in Northern European and European-American populations PMID: 19455599
- Studies suggest that the apoptosome contains a 1:1 Apaf-1:caspase-9 stoichiometry. PMID: 19809088
- A drug targeting Apaf-1 allows protection from apoptosis as well as regeneration in the course of inflammation-induced tissue injury PMID: 19675677
- Apaf1 WD40 repeat domains form propellar-like structures that are important for procaspase 9 binding to the CARD domain. PMID: 11864614
- lack of role in caspase-9 activation in Sendai virus-infected cells PMID: 12021264
- APAF-1 is under transcriptional regulation of E2F-1 and initiates a caspase cascade PMID: 12149244
顯示更多
收起更多
-
亞細胞定位:Cytoplasm.
-
組織特異性:Ubiquitous. Highest levels of expression in adult spleen and peripheral blood leukocytes, and in fetal brain, kidney and lung. Isoform 1 is expressed in heart, kidney and liver.
-
數據庫鏈接:
Most popular with customers
-
-
YWHAB Recombinant Monoclonal Antibody
Applications: ELISA, WB, IHC, IF, FC
Species Reactivity: Human, Mouse, Rat
-
Phospho-YAP1 (S127) Recombinant Monoclonal Antibody
Applications: ELISA, WB, IHC
Species Reactivity: Human
-
-
-
-
-















