AP1M2 Antibody
-
中文名稱:AP1M2兔多克隆抗體
-
貨號:CSB-PA895771ESR1HU
-
規格:¥440
-
圖片:
-
Western blot
All lanes: AP1M2 antibody at 2μg/ml
Lane 1: Mouse small intestine tissue
Lane 2: Mouse kidney tisueSecondary
Goat polyclonal to rabbit IgG at 1/10000 dilution
Predicted band size: 48 kDa
Observed band size: 48 kDa -
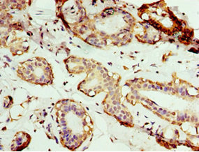
Immunohistochemistry of paraffin-embedded human breast cancer using CSB-PA895771ESR1HU at dilution of 1:100
-
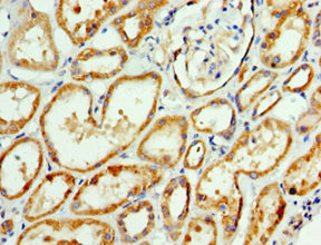
Immunohistochemistry of paraffin-embedded human kidney tissue using CSB-PA895771ESR1HU at dilution of 1:100
-
-
其他:
產品詳情
-
產品名稱:Rabbit anti-Homo sapiens (Human) AP1M2 Polyclonal antibody
-
Uniprot No.:
-
基因名:AP1M2
-
別名:Adaptor protein complex AP-1 mu-2 subunit antibody; Adaptor protein complex AP1 mu2 subunit antibody; Adaptor related protein complex 1 mu2 subunit antibody; Adaptor-related protein complex 1 mu-2 subunit antibody; AP mu chain family member mu1B antibody; AP-1 complex subunit mu-2 antibody; AP-mu chain family member mu1B antibody; AP1 complex subunit mu2 antibody; AP1M2 antibody; AP1M2_HUMAN antibody; AP47 2 antibody; Clathrin assembly protein complex 1 medium chain 2 antibody; Golgi adaptor HA1/AP1 adaptin mu-2 subunit antibody; Golgi adaptor HA1/AP1 adaptin mu2 subunit antibody; HA1 47 kDa subunit 2 antibody; HSMU1B antibody; MU 1B antibody; Mu adaptin 2 antibody; Mu-adaptin 2 antibody; Mu1B adaptin antibody; Mu1B-adaptin antibody
-
宿主:Rabbit
-
反應種屬:Human, Mouse
-
免疫原:Recombinant Human AP-1 complex subunit mu-2 protein (164-423AA)
-
免疫原種屬:Homo sapiens (Human)
-
標記方式:Non-conjugated
-
克隆類型:Polyclonal
-
抗體亞型:IgG
-
純化方式:Antigen Affinity Purified
-
濃度:It differs from different batches. Please contact us to confirm it.
-
保存緩沖液:PBS with 0.02% sodium azide, 50% glycerol, pH7.3.
-
產品提供形式:Liquid
-
應用范圍:ELISA, WB, IHC
-
推薦稀釋比:
Application Recommended Dilution WB 1:500-1:2000 IHC 1:20-1:200 -
Protocols:
-
儲存條件:Upon receipt, store at -20°C or -80°C. Avoid repeated freeze.
-
貨期:Basically, we can dispatch the products out in 1-3 working days after receiving your orders. Delivery time maybe differs from different purchasing way or location, please kindly consult your local distributors for specific delivery time.
-
用途:For Research Use Only. Not for use in diagnostic or therapeutic procedures.
相關產品
靶點詳情
-
功能:Subunit of clathrin-associated adaptor protein complex 1 that plays a role in protein sorting in the trans-Golgi network (TGN) and endosomes. The AP complexes mediate the recruitment of clathrin to membranes and the recognition of sorting signals within the cytosolic tails of transmembrane cargo molecules.
-
基因功能參考文獻:
- Variants in AP1M2 gene is associated with thrombosis. PMID: 26908601
- Results suggest that mu1B interacts with different classes of basolateral targeting signals in distinct ways. PMID: 12134076
- The AP1M2 gene was shown to effectively separate these two tumor(chromophobe renal cell carcinoma (RCC) and benign oncocytoma) groups by quantitative reverse transcription-PCR using fresh tissue samples, with similar trends seen on formalin-fixed tissues. PMID: 17145811
- PIPKIgamma also interacts with the mu subunits of clathrin adaptor protein (AP) complexes PMID: 17261850
- The mechanism of iron absorption from mineralized Soybean ferritin using Caco-2 cells via a mu2-dependent endocytosis mechanism is reported. PMID: 18356317
顯示更多
收起更多
-
亞細胞定位:Golgi apparatus. Cytoplasmic vesicle, clathrin-coated vesicle membrane; Peripheral membrane protein; Cytoplasmic side. Note=Component of the coat surrounding the cytoplasmic face of coated vesicles located at the Golgi complex.
-
蛋白家族:Adaptor complexes medium subunit family
-
數據庫鏈接:
Most popular with customers
-
-
YWHAB Recombinant Monoclonal Antibody
Applications: ELISA, WB, IHC, IF, FC
Species Reactivity: Human, Mouse, Rat
-
-
-
-
-
-















