ANXA9 Antibody
-
中文名稱:ANXA9兔多克隆抗體
-
貨號:CSB-PA576592
-
規格:¥1100
-
圖片:
-
The image on the left is immunohistochemistry of paraffin-embedded Human thyroid cancer tissue using CSB-PA576592(ANXA9 Antibody) at dilution 1/30, on the right is treated with fusion protein. (Original magnification: ×200)
-
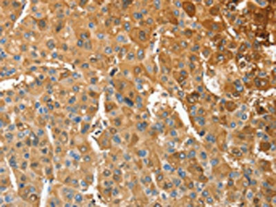
The image on the left is immunohistochemistry of paraffin-embedded Human liver cancer tissue using CSB-PA576592(ANXA9 Antibody) at dilution 1/30, on the right is treated with fusion protein. (Original magnification: ×200)
-
-
其他:
產品詳情
-
Uniprot No.:
-
基因名:ANXA9
-
別名:annexin 31 antibody; annexin 31; formerly antibody; Annexin A9 antibody; Annexin XXXI antibody; Annexin-31 antibody; Annexin-9 antibody; ANX31 antibody; ANX31; formerly antibody; ANXA9 antibody; ANXA9_HUMAN antibody; Pemphaxin antibody
-
宿主:Rabbit
-
反應種屬:Human
-
免疫原:Fusion protein of Human ANXA9
-
免疫原種屬:Homo sapiens (Human)
-
標記方式:Non-conjugated
-
抗體亞型:IgG
-
純化方式:Antigen affinity purification
-
濃度:It differs from different batches. Please contact us to confirm it.
-
保存緩沖液:-20°C, pH7.4 PBS, 0.05% NaN3, 40% Glycerol
-
產品提供形式:Liquid
-
應用范圍:ELISA,IHC
-
推薦稀釋比:
Application Recommended Dilution ELISA 1:1000-1:5000 IHC 1:50-1:200 -
Protocols:
-
儲存條件:Upon receipt, store at -20°C or -80°C. Avoid repeated freeze.
-
貨期:Basically, we can dispatch the products out in 1-3 working days after receiving your orders. Delivery time maybe differs from different purchasing way or location, please kindly consult your local distributors for specific delivery time.
-
用途:For Research Use Only. Not for use in diagnostic or therapeutic procedures.
相關產品
靶點詳情
-
功能:Low affinity receptor for acetylcholine known to be targeted by disease-causing pemphigus vulgaris antibodies in keratinocytes.
-
基因功能參考文獻:
- inhibiting ANXA9 in HCT116 cells, the activity and metastatic and invasion capacity of cells decreased significantly, and expression levels of ADAM metallopeptidase domain 17 and matrix metallopeptidase 9 were significantly downregulated, while the expression levels of tissue inhibitors of metalloproteinases1 and Ecadherin were upregulated (P<0.05). PMID: 29393380
- Annexin A9 and periplakin co-localise in the epidermis and annexin A9 is up-regulated in differentiating keratinocytes, but the epidermal annexin A9 expression does not require periplakin. PMID: 22841549
- examination of atypical properties PMID: 12832069
-
蛋白家族:Annexin family
-
組織特異性:Expressed in the stratified squamous skin epithelium, but not in epithelia of other types (at protein level).
-
數據庫鏈接:
Most popular with customers
-
-
YWHAB Recombinant Monoclonal Antibody
Applications: ELISA, WB, IHC, IF, FC
Species Reactivity: Human, Mouse, Rat
-
Phospho-YAP1 (S127) Recombinant Monoclonal Antibody
Applications: ELISA, WB, IHC
Species Reactivity: Human
-
-
-
-
-















