ANXA8 Antibody
-
中文名稱:ANXA8兔多克隆抗體
-
貨號:CSB-PA441788
-
規格:¥1100
-
圖片:
-
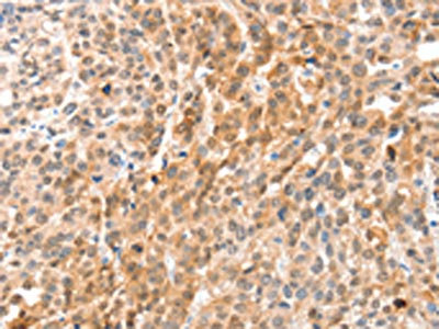
The image on the left is immunohistochemistry of paraffin-embedded Human esophagus cancer tissue using CSB-PA441788(ANXA8 Antibody) at dilution 1/35, on the right is treated with fusion protein. (Original magnification: ×200)
-
The image on the left is immunohistochemistry of paraffin-embedded Human cervical cancer tissue using CSB-PA441788(ANXA8 Antibody) at dilution 1/35, on the right is treated with fusion protein. (Original magnification: ×200)
-
Gel: 10%SDS-PAGE, Lysate: 40 μg, Lane: A549 cells, Primary antibody: CSB-PA441788(ANXA8 Antibody) at dilution 1/300, Secondary antibody: Goat anti rabbit IgG at 1/8000 dilution, Exposure time: 2 minutes
-
-
其他:
產品詳情
-
Uniprot No.:
-
基因名:ANXA8
-
別名:Annexin A8 antibody; Annexin VIII antibody; Annexin-8 antibody; ANX8 antibody; Anxa8 antibody; ANXA8_HUMAN antibody; VAC beta antibody; VAC-beta antibody; Vascular anticoagulant beta antibody; Vascular anticoagulant-beta antibody
-
宿主:Rabbit
-
反應種屬:Human,Mouse,Rat
-
免疫原:Fusion protein of Human ANXA8
-
免疫原種屬:Homo sapiens (Human)
-
標記方式:Non-conjugated
-
抗體亞型:IgG
-
純化方式:Antigen affinity purification
-
濃度:It differs from different batches. Please contact us to confirm it.
-
保存緩沖液:-20°C, pH7.4 PBS, 0.05% NaN3, 40% Glycerol
-
產品提供形式:Liquid
-
應用范圍:ELISA,WB,IHC
-
推薦稀釋比:
Application Recommended Dilution ELISA 1:2000-1:5000 WB 1:200-1:1000 IHC 1:50-1:100 -
Protocols:
-
儲存條件:Upon receipt, store at -20°C or -80°C. Avoid repeated freeze.
-
貨期:Basically, we can dispatch the products out in 1-3 working days after receiving your orders. Delivery time maybe differs from different purchasing way or location, please kindly consult your local distributors for specific delivery time.
-
用途:For Research Use Only. Not for use in diagnostic or therapeutic procedures.
相關產品
靶點詳情
-
功能:This protein is an anticoagulant protein that acts as an indirect inhibitor of the thromboplastin-specific complex, which is involved in the blood coagulation cascade.
-
基因功能參考文獻:
- These findings identify Anxa8 as a regulator of late endosomes/lysosomes cholesterol balance. PMID: 29306076
- We conclude that AnxA8 affects CD63/VEGFR2/beta1 integrin complex formation, leading to hyperactivation of the VEGF-A signal transduction pathway, and severely disturbed VEGF-A-driven angiogenic sprouting. PMID: 28060564
- Annexins A2 and A8 in endothelial cell exocytosis and the control of vascular homeostasis PMID: 27451994
- Increased annexin A8 expression is associated with poor prognosis in early-stage pancreatic cancer. PMID: 25268673
- High ANXA8 gene expression is associated with lymph node metastasis in oral squamous cell carcinoma. PMID: 26700817
- Annexin A8 controls leukocyte recruitment to activated endothelial cells via cell surface delivery of CD63. PMID: 24769558
- High ANXA8 expression is associated with pancreatic cancer. PMID: 23001853
- Define a distinct bone-dependent genetic program associated with terminal osteoclast differentiation and identified Anxa8 as a gene strongly induced late in osteoclast differentiation, regulating formation of the cell's characteristic actin ring. PMID: 21344395
- Annexin A8 is involved in mouse mammary gland involution and progression of human breast cancer PMID: 16203777
- binds Ca2+-dependently and with high specificity to phosphatidylinositol (4,5)-bisphosphate (PtdIns(4,5)P2) and is also capable of interacting with F-actin PMID: 16638567
- Data suggest that defective transport through the late endocytic pathway and imbalanced signaling in the absence of annexin A8 results from disturbed association of late endosomal membranes with actin and impaired endosome motility. PMID: 18923148
顯示更多
收起更多
-
蛋白家族:Annexin family
-
數據庫鏈接:
Most popular with customers
-
-
YWHAB Recombinant Monoclonal Antibody
Applications: ELISA, WB, IHC, IF, FC
Species Reactivity: Human, Mouse, Rat
-
Phospho-YAP1 (S127) Recombinant Monoclonal Antibody
Applications: ELISA, WB, IHC
Species Reactivity: Human
-
-
-
-
-















