ANXA13 Antibody
-
中文名稱:ANXA13兔多克隆抗體
-
貨號:CSB-PA558622
-
規格:¥1100
-
圖片:
-
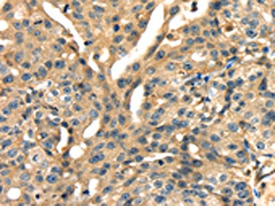
The image on the left is immunohistochemistry of paraffin-embedded Human gastic cancer tissue using CSB-PA558622(ANXA13 Antibody) at dilution 1/15, on the right is treated with fusion protein. (Original magnification: ×200)
-
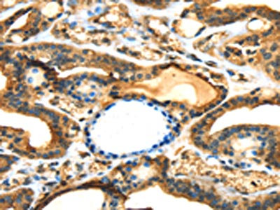
The image on the left is immunohistochemistry of paraffin-embedded Human thyroid cancer tissue using CSB-PA558622(ANXA13 Antibody) at dilution 1/15, on the right is treated with fusion protein. (Original magnification: ×200)
-
Gel: 8%SDS-PAGE, Lysate: 60 μg, Lane: Mouse small intestine tissue, Primary antibody: CSB-PA558622(ANXA13 Antibody) at dilution 1/400, Secondary antibody: Goat anti rabbit IgG at 1/8000 dilution, Exposure time: 2 minutes
-
-
其他:
產品詳情
-
Uniprot No.:
-
基因名:ANXA13
-
別名:Annexin A13 antibody; Annexin XIII antibody; Annexin; intestine-specific antibody; Annexin-13 antibody; ANX 13 antibody; ANX A13 antibody; ANX13 antibody; ANX13_HUMAN antibody; ANXA13 antibody; Intestine Specific Annexin antibody; Intestine-specific annexin antibody; ISA antibody; MGC150460 antibody
-
宿主:Rabbit
-
反應種屬:Human,Mouse
-
免疫原:Fusion protein of Human ANXA13
-
免疫原種屬:Homo sapiens (Human)
-
標記方式:Non-conjugated
-
抗體亞型:IgG
-
純化方式:Antigen affinity purification
-
濃度:It differs from different batches. Please contact us to confirm it.
-
保存緩沖液:-20°C, pH7.4 PBS, 0.05% NaN3, 40% Glycerol
-
產品提供形式:Liquid
-
應用范圍:ELISA,WB,IHC
-
推薦稀釋比:
Application Recommended Dilution ELISA 1:1000-1:2000 WB 1:200-1:1000 IHC 1:15-1:50 -
Protocols:
-
儲存條件:Upon receipt, store at -20°C or -80°C. Avoid repeated freeze.
-
貨期:Basically, we can dispatch the products out in 1-3 working days after receiving your orders. Delivery time maybe differs from different purchasing way or location, please kindly consult your local distributors for specific delivery time.
-
用途:For Research Use Only. Not for use in diagnostic or therapeutic procedures.
相關產品
靶點詳情
-
功能:Binds to membranes enriched in phosphatidylserine or phosphatidylglycerol in a calcium-dependent manner. Half-maximal membrane binding requires about 60 uM calcium. Does not bind to membranes that lack phospholipids with an acidic headgroup.; Binds to membranes enriched in phosphatidylserine or phosphatidylglycerol in a calcium-dependent manner, but requires higher calcium levels for membrane binding than isoform A. Half-maximal membrane binding requires about 320 uM calcium.
-
基因功能參考文獻:
- ANXA13 is associated with colorectal cancer cell invasion in vitro, and with lymph node metastasis and poor survival in colorectal cancer patients PMID: 28423508
- High ANXA13 expression is associated with Refractory Lupus Nephritis. PMID: 26110394
- Ectopic overexpression of Annexin A13 was likewise sufficient to sensitize malignant breast cancer cells to treatment with Rapamycin. PMID: 20701074
- The unique, conserved aspects of annexin A13 primary structure, gene organization, and genetic maps identify it as the probable common ancestor of all vertebrate annexins. PMID: 11961095
-
亞細胞定位:Apical cell membrane. Cell membrane; Lipid-anchor. Cytoplasmic vesicle.
-
蛋白家族:Annexin family
-
組織特異性:Detected in epithelial cells in colon and jejunum (at protein level). Detected in epithelial cells in jejunum.
-
數據庫鏈接:
Most popular with customers
-
-
YWHAB Recombinant Monoclonal Antibody
Applications: ELISA, WB, IHC, IF, FC
Species Reactivity: Human, Mouse, Rat
-
Phospho-YAP1 (S127) Recombinant Monoclonal Antibody
Applications: ELISA, WB, IHC
Species Reactivity: Human
-
-
-
-
-















